Suppr超能文献

阻塞性睡眠呼吸暂停对角膜基底神经丛和视网膜神经纤维层的影响差异。

Differential effects of obstructive sleep apnea on the corneal subbasal nerve plexus and retinal nerve fiber layer.

机构信息

Department of Ophthalmology, The University of Texas Southwestern Medical Center, Dallas, TX, United States of America.

Department of Internal Medicine, Clinical Center for Sleep and Breathing Disorders, The University of Texas Southwestern Medical Center, Dallas, TX, United States of America.

出版信息

PLoS One. 2022 Jun 30;17(6):e0266483. doi: 10.1371/journal.pone.0266483. eCollection 2022.

Abstract

PURPOSE

Obstructive sleep apnea (OSA) is an established independent risk factor for peripheral neuropathy. Macro and microvascular changes have been documented in OSA, including high levels of potent vasoconstrictors. In diabetes, vasoconstriction has been identified as an underlying risk factor for corneal neuropathy. This study sought to establish a potential relationship between OSA and corneal nerve morphology and sensitivity, and to determine whether changes in corneal nerves may be reflective of OSA severity.

DESIGN

Single center cross-sectional study.

METHODS

Sixty-seven patients were stratified into two groups: those with OSA and healthy controls. Groups were matched for age, sex, race, smoking, and dry eye status. Outcome measures included serologies, a dilated fundus exam, dry eye testing, anthropometric parameters, corneal sensitivity, subbasal nerve plexus morphology, retinal nerve fiber layer (RNFL) thickness, and the use of questionnaires to assess symptoms of dry eye disease, risk of OSA, and continuous positive airway pressure (CPAP) compliance.

RESULTS

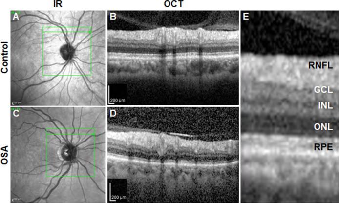
No significant differences were observed in corneal nerve morphology, sensitivity, or the number of dendritic cells. In the OSA test group, RNFL thinning was noted in the superior and inferior regions of the optic disc and peripapillary region. A greater proportion of participants in the OSA group required a subsequent evaluation for glaucoma than in the control. In those with OSA, an increase in the apnea hypopnea index was associated with an increase in optic nerve cupping.

CONCLUSIONS

OSA does not exert a robust effect on corneal nerves. OSA is however, associated with thinning of the RNFL. Participants with glaucomatous optic nerve changes and risk factors for OSA should be examined as uncontrolled OSA may exacerbate glaucoma progression.

摘要

目的

阻塞性睡眠呼吸暂停(OSA)是周围神经病变的一个既定独立危险因素。OSA 存在宏观和微观血管变化,包括高水平的强效血管收缩剂。在糖尿病中,血管收缩被认为是角膜神经病变的一个潜在危险因素。本研究旨在确定 OSA 与角膜神经形态和敏感性之间的潜在关系,并确定角膜神经的变化是否反映 OSA 的严重程度。

设计

单中心横断面研究。

方法

67 名患者分为两组:OSA 组和健康对照组。两组在年龄、性别、种族、吸烟和干眼症状况方面相匹配。研究结果包括血清学检查、眼底散瞳检查、干眼症检查、人体测量参数、角膜敏感性、基底神经丛形态、视网膜神经纤维层(RNFL)厚度,以及使用问卷评估干眼疾病症状、OSA 风险和持续气道正压(CPAP)依从性。

结果

角膜神经形态、敏感性或树突状细胞数量无显著差异。在 OSA 测试组中,视神经盘上下区域和视盘周围区域的 RNFL 变薄。与对照组相比,OSA 组中有更多的患者需要进一步评估青光眼。在 OSA 患者中,呼吸暂停低通气指数的增加与视神经杯状加深相关。

结论

OSA 对角膜神经没有显著影响。然而,OSA 与 RNFL 变薄有关。应检查有青光眼视神经改变和 OSA 危险因素的患者,因为未控制的 OSA 可能会加剧青光眼的进展。

https://cdn.ncbi.nlm.nih.gov/pmc/blobs/7ea6/9246161/72cb23a1c769/pone.0266483.g001.jpg

文献AI研究员

20分钟写一篇综述,助力文献阅读效率提升50倍。

立即体验

用中文搜PubMed

大模型驱动的PubMed中文搜索引擎

马上搜索

文档翻译

学术文献翻译模型,支持多种主流文档格式。

立即体验