• 文献检索
  • 文档翻译
  • 深度研究
  • 学术资讯
  • Suppr Zotero 插件Zotero 插件
  • 邀请有礼
  • 套餐&价格
  • 历史记录
应用&插件
Suppr Zotero 插件Zotero 插件浏览器插件Mac 客户端Windows 客户端微信小程序
定价
高级版会员购买积分包购买API积分包
服务
文献检索文档翻译深度研究API 文档MCP 服务
关于我们
关于 Suppr公司介绍联系我们用户协议隐私条款
关注我们

Suppr 超能文献

核心技术专利:CN118964589B侵权必究
粤ICP备2023148730 号-1Suppr @ 2026

文献检索

告别复杂PubMed语法,用中文像聊天一样搜索,搜遍4000万医学文献。AI智能推荐,让科研检索更轻松。

立即免费搜索

文件翻译

保留排版,准确专业,支持PDF/Word/PPT等文件格式,支持 12+语言互译。

免费翻译文档

深度研究

AI帮你快速写综述,25分钟生成高质量综述,智能提取关键信息,辅助科研写作。

立即免费体验

阿尔茨海默病患者白质高信号负荷与脑区容积测定之间的相关性

The Correlation Between White Matter Hyperintensity Burden and Regional Brain Volumetry in Patients With Alzheimer's Disease.

作者信息

Cao Zhiyu, Mai Yingren, Fang Wenli, Lei Ming, Luo Yishan, Zhao Lei, Liao Wang, Yu Qun, Xu Jiaxin, Ruan Yuting, Xiao Songhua, Mok Vincent C T, Shi Lin, Liu Jun

机构信息

Department of Neurology, Sun Yat-sen Memorial Hospital, Sun Yat-sen University, Guangzhou, China.

BrainNow Research Institute, Shenzhen, China.

出版信息

Front Hum Neurosci. 2022 Jun 14;16:760360. doi: 10.3389/fnhum.2022.760360. eCollection 2022.

DOI:10.3389/fnhum.2022.760360
PMID:35774484
原文链接:https://pmc.ncbi.nlm.nih.gov/articles/PMC9237397/
Abstract

BACKGROUND

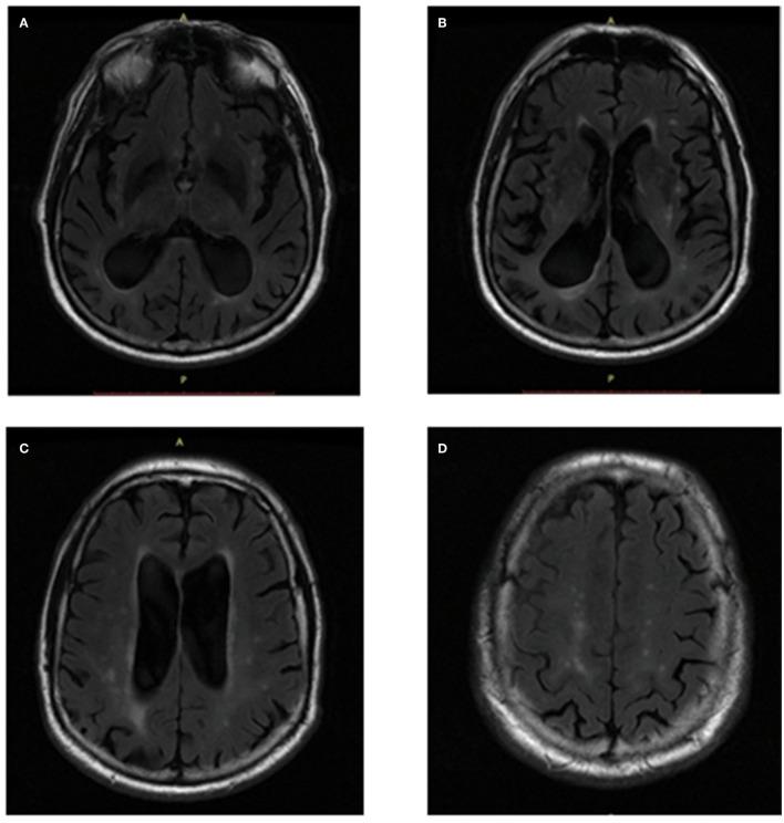
White matter hyperintensities (WMHs) and regional brain lobe atrophy coexist in the brain of patients with Alzheimer's disease (AD), but the association between them in patients with AD still lacks comprehensive investigation and solid imaging data support.

OBJECTIVE

We explored whether WMHs can promote the pathological process of AD by aggravating atrophy in specific brain regions and tried to explain the regional specificity of these relationships.

METHODS

A sample of 240 adults including 180 normal controls (NCs) and 80 cases with AD were drawn from the ADNI database. T1-weighted magnetic resonance imaging (MRI) and T2-weighted fluid-attenuated MRI of the participants were downloaded and were analyzed using AccuBrain to generate the quantitative ratio of WMHs (WMHr, WMH volumes corrected by intracranial volume) and regional brain atrophy. We also divided WMHr into periventricular WMHr (PVWMHr) and deep WMHr (DWMHr) for the purpose of this study. The Cholinergic Pathways Hyperintensities Scale (CHIPS) scores were conducted by two evaluators. Independent -test, Mann-Whitney test, or χ test were used to compare the demographic characteristics, and Spearman correlation coefficient values were used to determine the association between WMHs and different regions of brain atrophy.

RESULTS

Positive association between WMHr and quantitative medial temporal lobe atrophy (QMTA) ( = 0.281, = 0.011), temporal lobe atrophy ( = 0.285, = 0.011), and insular atrophy ( = 0.406, < 0.001) was found in the AD group before Bonferroni correction. PVWMHr contributed to these correlations. By separately analyzing the relationship between PVWMHr and brain atrophy, we found that there were still positive correlations after correction in QMTA ( = 0.325, = 0.003), temporal lobe atrophy ( = 0.298, = 0.007), and insular atrophy ( = 0.429, < 0.001) in AD group.

CONCLUSION

WMH severity tends to be associated with regional brain atrophy in patients with AD, especially with medial temporal lobe, temporal lobe, and insular lobe atrophy. PVWMHs were devoted to these correlations.

摘要

背景

白质高信号(WMHs)与区域脑叶萎缩在阿尔茨海默病(AD)患者脑中并存,但二者在AD患者中的关联仍缺乏全面研究及可靠的影像学数据支持。

目的

我们探讨WMHs是否会通过加重特定脑区萎缩来促进AD的病理进程,并试图解释这些关系的区域特异性。

方法

从ADNI数据库中抽取240名成年人样本,包括180名正常对照(NCs)和80例AD患者。下载参与者的T1加权磁共振成像(MRI)和T2加权液体衰减反转恢复序列(FLAIR)MRI,并使用AccuBrain进行分析,以生成WMHs的定量比率(WMHr,WMH体积经颅内体积校正)和区域脑萎缩情况。为本研究目的,我们还将WMHr分为脑室周围WMHr(PVWMHr)和深部WMHr(DWMHr)。由两名评估者进行胆碱能通路高信号量表(CHIPS)评分。采用独立样本t检验、曼-惠特尼U检验或χ²检验比较人口统计学特征,使用斯皮尔曼相关系数值确定WMHs与不同脑区萎缩之间的关联。

结果

在进行Bonferroni校正前,AD组中发现WMHr与内侧颞叶定量萎缩(QMTA)(r = 0.281,P = 0.011)、颞叶萎缩(r = 表 0.285,P = 0.011)和岛叶萎缩(r = 0.406,P < 0.001)呈正相关。PVWMHr促成了这些相关性。通过分别分析PVWMHr与脑萎缩之间的关系,我们发现在AD组中,校正后QMTA(r = 0.325,P = 0.003)、颞叶萎缩(r = 0.298,P = 0.007)和岛叶萎缩(r = 0.429,P < 0.001)仍呈正相关。

结论

AD患者的WMH严重程度往往与区域脑萎缩相关,尤其是与内侧颞叶、颞叶和岛叶萎缩相关。PVWMHs促成了这些相关性。

https://cdn.ncbi.nlm.nih.gov/pmc/blobs/4b1a/9237397/d005d38d0441/fnhum-16-760360-g0003.jpg
https://cdn.ncbi.nlm.nih.gov/pmc/blobs/4b1a/9237397/f5f28cbe00d3/fnhum-16-760360-g0001.jpg
https://cdn.ncbi.nlm.nih.gov/pmc/blobs/4b1a/9237397/041b8f5cfa75/fnhum-16-760360-g0002.jpg
https://cdn.ncbi.nlm.nih.gov/pmc/blobs/4b1a/9237397/d005d38d0441/fnhum-16-760360-g0003.jpg
https://cdn.ncbi.nlm.nih.gov/pmc/blobs/4b1a/9237397/f5f28cbe00d3/fnhum-16-760360-g0001.jpg
https://cdn.ncbi.nlm.nih.gov/pmc/blobs/4b1a/9237397/041b8f5cfa75/fnhum-16-760360-g0002.jpg
https://cdn.ncbi.nlm.nih.gov/pmc/blobs/4b1a/9237397/d005d38d0441/fnhum-16-760360-g0003.jpg

相似文献

1
The Correlation Between White Matter Hyperintensity Burden and Regional Brain Volumetry in Patients With Alzheimer's Disease.阿尔茨海默病患者白质高信号负荷与脑区容积测定之间的相关性
Front Hum Neurosci. 2022 Jun 14;16:760360. doi: 10.3389/fnhum.2022.760360. eCollection 2022.
2
The Relationship of White Matter Hyperintensities with Depressive Symptoms and Daily Living Activities in Early-Stage Alzheimer's Disease Patients.早期阿尔茨海默病患者白质高信号与抑郁症状及日常生活活动的关系
Noro Psikiyatr Ars. 2013 Dec;50(4):360-363. doi: 10.4274/Npa.y6603. Epub 2013 Dec 1.
3
Independent and additive contribution of white matter hyperintensities and Alzheimer's disease pathology to basal forebrain cholinergic system degeneration.白质高信号和阿尔茨海默病病理学对基底前脑胆碱能系统退化的独立和附加贡献。
Neuroimage Clin. 2023;39:103477. doi: 10.1016/j.nicl.2023.103477. Epub 2023 Jul 17.
4
White matter hyperintensities on MRI in dementia with Lewy bodies, Parkinson's disease with dementia, and Alzheimer's disease.MRI 上痴呆路易体病、痴呆帕金森病和阿尔茨海默病的脑白质高信号。
J Neurol Sci. 2018 Feb 15;385:99-104. doi: 10.1016/j.jns.2017.12.018. Epub 2017 Dec 19.
5
Effect of white matter hyperintensities on cortical cerebral blood volume using perfusion MRI.利用灌注磁共振成像研究白质高信号对皮质脑血容量的影响。
Neuroimage. 2004 Apr;21(4):1350-6. doi: 10.1016/j.neuroimage.2003.11.015.
6
Regional white matter hyperintensities in posterior cortical atrophy and logopenic progressive aphasia.后部皮质萎缩和命名性流畅性失语症的区域性脑白质高信号。
Neurobiol Aging. 2022 Nov;119:46-55. doi: 10.1016/j.neurobiolaging.2022.07.008. Epub 2022 Jul 28.
7
Effect of white matter hyperintensity on medial temporal lobe atrophy in Alzheimer's disease.脑白质高信号对阿尔茨海默病患者海马体萎缩的影响。
Eur Neurol. 2013;69(4):229-35. doi: 10.1159/000345999. Epub 2013 Jan 19.
8
Association of white matter hyperintensity measurements on brain MR imaging with cognitive status, medial temporal atrophy, and cardiovascular risk factors.脑 MRI 上的脑白质高信号测量与认知状态、海马体萎缩和心血管危险因素的关系。
AJNR Am J Neuroradiol. 2009 Nov;30(10):1870-6. doi: 10.3174/ajnr.A1693. Epub 2009 Jul 30.
9
Regional distribution of white matter hyperintensities in vascular dementia, Alzheimer's disease and healthy aging.血管性痴呆、阿尔茨海默病及健康老龄化中脑白质高信号的区域分布
Dement Geriatr Cogn Disord. 2004;18(2):180-8. doi: 10.1159/000079199. Epub 2004 Jun 21.
10
White matter hyperintensities are associated with grey matter atrophy and cognitive decline in Alzheimer's disease and frontotemporal dementia.脑白质高信号与阿尔茨海默病和额颞叶痴呆的灰质萎缩和认知能力下降有关。
Neurobiol Aging. 2022 Mar;111:54-63. doi: 10.1016/j.neurobiolaging.2021.11.007. Epub 2021 Dec 3.

引用本文的文献

1
Effects of strategic white matter hyperintensities of cholinergic pathways on basal forebrain volume in patients with amyloid-negative neurocognitive disorders.胆碱能通路的策略性脑白质高信号对淀粉样阴性神经认知障碍患者基底前脑体积的影响。
Alzheimers Res Ther. 2024 Aug 15;16(1):185. doi: 10.1186/s13195-024-01536-2.
2
Cerebrovascular lesion loads and accelerated brain aging: insights into the cognitive spectrum.脑血管病变负荷与脑加速衰老:对认知谱的见解
Front Dement. 2024 Jun 21;3:1380015. doi: 10.3389/frdem.2024.1380015. eCollection 2024.
3
Cerebrovascular pathology mediates associations between hypoxemia during rapid eye movement sleep and medial temporal lobe structure and function in older adults.

本文引用的文献

1
Microvascular degeneration occurs before plaque onset and progresses with age in 3xTg AD mice.微血管退化发生在斑块形成之前,并随着 3xTg AD 小鼠的年龄增长而进展。
Neurobiol Aging. 2021 Sep;105:115-128. doi: 10.1016/j.neurobiolaging.2021.04.019. Epub 2021 Apr 30.
2
Cortical Thickness and Its Association with Clinical Cognitive and Neuroimaging Markers in Cerebral Amyloid Angiopathy.皮质厚度及其与脑淀粉样血管病临床认知和神经影像学标志物的关系。
J Alzheimers Dis. 2021;81(4):1663-1671. doi: 10.3233/JAD-210138.
3
3D Compressed Convolutional Neural Network Differentiates Neuromyelitis Optical Spectrum Disorders From Multiple Sclerosis Using Automated White Matter Hyperintensities Segmentations.
脑血管病理学介导了老年人快速眼动睡眠期间低氧血症与内侧颞叶结构和功能之间的关联。
bioRxiv. 2024 Jan 28:2024.01.28.577469. doi: 10.1101/2024.01.28.577469.
4
Vascular contributions to Alzheimer's disease.血管对阿尔茨海默病的影响。
Transl Res. 2023 Apr;254:41-53. doi: 10.1016/j.trsl.2022.12.003. Epub 2022 Dec 15.
5
The role of magnetic resonance imaging in the diagnosis and prognosis of dementia.磁共振成像在痴呆症的诊断和预后中的作用。
Biomol Biomed. 2023 Mar 16;23(2):209-224. doi: 10.17305/bjbms.2022.8085.
3D压缩卷积神经网络利用自动白质高信号分割技术区分视神经脊髓炎谱系障碍与多发性硬化症。
Front Physiol. 2020 Dec 23;11:612928. doi: 10.3389/fphys.2020.612928. eCollection 2020.
4
Interaction of Age and Self-reported Physical Sports Activity on White Matter Hyperintensity Volume in Healthy Older Adults.年龄与自我报告的体育活动对健康老年人脑白质高信号体积的相互作用
Front Aging Neurosci. 2020 Nov 2;12:576025. doi: 10.3389/fnagi.2020.576025. eCollection 2020.
5
White matter hyperintensities and risks of cognitive impairment and dementia: A systematic review and meta-analysis of 36 prospective studies.白质高信号与认知障碍和痴呆风险:36项前瞻性研究的系统评价和荟萃分析
Neurosci Biobehav Rev. 2021 Jan;120:16-27. doi: 10.1016/j.neubiorev.2020.11.007. Epub 2020 Nov 11.
6
Cholinergic White Matter Lesions, AD-Signature Cortical Thickness, and Change in Cognition: The Northern Manhattan Study.胆碱能性白质病变、AD 特征性皮质厚度与认知变化:北方曼哈顿研究。
J Gerontol A Biol Sci Med Sci. 2020 Jul 13;75(8):1508-1515. doi: 10.1093/gerona/glz279.
7
White matter hyperintensities and CSF Alzheimer disease biomarkers in preclinical Alzheimer disease.临床前阿尔茨海默病的脑白质高信号与脑脊液阿尔茨海默病生物标志物。
Neurology. 2020 Mar 3;94(9):e950-e960. doi: 10.1212/WNL.0000000000008864. Epub 2019 Dec 30.
8
Associations of White Matter Hyperintensities with Cognitive Decline: A Longitudinal Study.脑白质高信号与认知衰退的相关性:一项纵向研究。
J Alzheimers Dis. 2020;73(2):759-768. doi: 10.3233/JAD-191005.
9
Alzheimer Disease: An Update on Pathobiology and Treatment Strategies.阿尔茨海默病:病理生物学与治疗策略的最新研究进展。
Cell. 2019 Oct 3;179(2):312-339. doi: 10.1016/j.cell.2019.09.001. Epub 2019 Sep 26.
10
Risk estimation before progression to mild cognitive impairment and Alzheimer's disease: an AD resemblance atrophy index.进展为轻度认知障碍和阿尔茨海默病之前的风险评估:一种阿尔茨海默病相似性萎缩指数。
Aging (Albany NY). 2019 Aug 29;11(16):6217-6236. doi: 10.18632/aging.102184.