Suppr超能文献

复杂冠根折的保守治疗:即刻美学修复

Conservative Management of Complicated Crown-Root Fracture: An Immediate Esthetic Rehabilitation.

作者信息

Rajnekar Rutuja, Mankar Nikhil, Nikhade Pradnya, Chandak Manoj, Burde Karuna

机构信息

Conservative Dentistry and Endodontics, Sharad Pawar Dental College and Hospital, Datta Meghe Institute of Medical Sciences (Deemed to be University), Wardha, IND.

Public Health Dentistry, Saraswati-Dhanwantari Dental College & Hospital, Parbhani, IND.

出版信息

Cureus. 2022 Jun 3;14(6):e25627. doi: 10.7759/cureus.25627. eCollection 2022 Jun.

Abstract

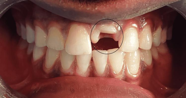
Among the various types of dental trauma, crown-root fractures are one of the most challenging to treat and require a multidisciplinary approach. This paper reports a case of a complicated crown-root fracture of maxillary left central incisor with esthetic, functional complications. An 18-year-old male patient presented to the department immediately after suffering trauma with a complicated crown-root fracture on tooth 21. As per the treatment, the patient had undergone endodontic therapy followed by flap reflection. Post flap reflection, a glass fiber post was luted, and the fractured fragment was reattached. By this approach, in the same appointment, the cervical margin can be exposed with appropriate isolation followed by a reattachment procedure. Reattaching the fragment is a viable option as it can be done immediately, provides better esthetics, restores function, and is less complicated than the conventional approach. A good prognosis is dependent on patient cooperation with the understanding of the treatment limitations. The article discusses a successful case of complicated crown-root fracture treated with the reattachment of a tooth fragment. Eighteen months of clinical and radiographic evaluation revealed that the clinical protocol was effective, as the tooth was functional, asymptomatic, and esthetic.

摘要

在各类牙外伤中,冠根折是治疗难度最大的情况之一,需要多学科联合治疗。本文报告一例上颌左侧中切牙复杂冠根折伴美观和功能并发症的病例。一名18岁男性患者在牙外伤后立即就诊,其21号牙发生复杂冠根折。按照治疗方案,患者先接受了根管治疗,随后进行了翻瓣术。翻瓣术后,粘结了玻璃纤维桩,并重新附着了骨折碎片。通过这种方法,在同一次就诊中,可以在适当隔离的情况下暴露颈部边缘,然后进行重新附着操作。重新附着碎片是一种可行的选择,因为它可以立即进行,美观效果更好,能恢复功能,且比传统方法更简单。良好的预后取决于患者对治疗局限性的理解并配合治疗。本文讨论了一例通过重新附着牙碎片成功治疗复杂冠根折的病例。18个月的临床和影像学评估显示,该临床方案是有效的,因为患牙功能正常、无症状且美观。

https://cdn.ncbi.nlm.nih.gov/pmc/blobs/1b33/9249066/3a3ef34173cb/cureus-0014-00000025627-i01.jpg

文献AI研究员

20分钟写一篇综述,助力文献阅读效率提升50倍。

立即体验

用中文搜PubMed

大模型驱动的PubMed中文搜索引擎

马上搜索

文档翻译

学术文献翻译模型,支持多种主流文档格式。

立即体验