Suppr超能文献

使用Pipeline Flex-Shield栓塞装置的超短期双重抗血小板治疗未破裂脑动脉瘤

Ultra-Short-Term Dual Antiplatelet Therapy in Treating Unruptured Brain Aneurysm With the Pipeline Flex-Shield Embolization Device.

作者信息

Delora Adam, Ezzeldin Obadah, Ali Uzma, El-Ghanem Mohammad, Ezzeldin Mohamad

机构信息

Emergency Medicine, HCA Houston Kingwood/University of Houston College of Medicine, Kingwood, USA.

Radiology, University of Texas Medical Branch, Galveston, USA.

出版信息

Cureus. 2022 May 31;14(5):e25516. doi: 10.7759/cureus.25516. eCollection 2022 May.

Abstract

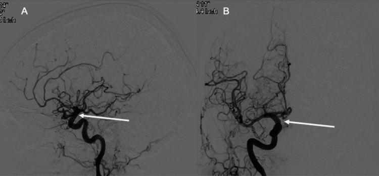
Ruptured cerebral aneurysms can cause significant morbidity and mortality. Endoluminal devices to treat aneurysms such as the Pipeline™ Flex Embolization Device with Shield Technology (PFES) (Medtronic, Dublin, Ireland) integrate phosphorylcholine on the surface of the device in order to reduce platelet adherence that causes periprocedural thromboembolic events and subsequent long-term intrastent stenosis. In addition to the Shield Technology, patients are commonly placed on dual antiplatelet therapy (DAPT) for six months to reduce thromboembolic events and subsequent long-term intrastent stenosis. There is a strong positive correlation between the length of DAPT use and bleeding. Here, we present a case of a 66-year-old female with a right supraclinoid internal carotid artery (ICA) aneurysm treated with a PFES who was placed on dual antiplatelet therapy for the first 31 days postoperative and subsequently maintained on aspirin (ASA) 81 mg monotherapy. At two months, a follow-up diagnostic cerebral angiogram showed complete occlusion of the aneurysm with a patent stent. Our case sets the stage for further research into the optimal length of dual antiplatelet therapy required in PFES to prevent short and long-term thromboembolic events. This report indicates that it may be safe for patients with PFES to intermittently halt the use of DAPT to manage bleeding complications or perform surgery.

摘要

破裂的脑动脉瘤可导致严重的发病率和死亡率。用于治疗动脉瘤的腔内装置,如带有护盾技术的Pipeline™ Flex栓塞装置(PFES)(美敦力公司,爱尔兰都柏林),在装置表面整合了磷酸胆碱,以减少导致围手术期血栓栓塞事件和随后长期支架内狭窄的血小板粘附。除了护盾技术外,患者通常还需接受六个月的双联抗血小板治疗(DAPT),以减少血栓栓塞事件和随后的长期支架内狭窄。DAPT使用时间长短与出血之间存在很强的正相关性。在此,我们报告一例66岁女性,其右侧床突上段颈内动脉(ICA)动脉瘤采用PFES治疗,术后前31天接受双联抗血小板治疗,随后维持阿司匹林(ASA)81mg单药治疗。两个月时,随访诊断性脑血管造影显示动脉瘤完全闭塞,支架通畅。我们的病例为进一步研究PFES预防短期和长期血栓栓塞事件所需的最佳双联抗血小板治疗时长奠定了基础。本报告表明,对于使用PFES的患者,间歇性停用DAPT以处理出血并发症或进行手术可能是安全的。

https://cdn.ncbi.nlm.nih.gov/pmc/blobs/897e/9245062/752a23ae9efb/cureus-0014-00000025516-i01.jpg

文献检索

告别复杂PubMed语法,用中文像聊天一样搜索,搜遍4000万医学文献。AI智能推荐,让科研检索更轻松。

立即免费搜索

文件翻译

保留排版,准确专业,支持PDF/Word/PPT等文件格式,支持 12+语言互译。

免费翻译文档

深度研究

AI帮你快速写综述,25分钟生成高质量综述,智能提取关键信息,辅助科研写作。

立即免费体验