• 文献检索
  • 文档翻译
  • 深度研究
  • 学术资讯
  • Suppr Zotero 插件Zotero 插件
  • 邀请有礼
  • 套餐&价格
  • 历史记录
应用&插件
Suppr Zotero 插件Zotero 插件浏览器插件Mac 客户端Windows 客户端微信小程序
定价
高级版会员购买积分包购买API积分包
服务
文献检索文档翻译深度研究API 文档MCP 服务
关于我们
关于 Suppr公司介绍联系我们用户协议隐私条款
关注我们

Suppr 超能文献

核心技术专利:CN118964589B侵权必究
粤ICP备2023148730 号-1Suppr @ 2026

文献检索

告别复杂PubMed语法,用中文像聊天一样搜索,搜遍4000万医学文献。AI智能推荐,让科研检索更轻松。

立即免费搜索

文件翻译

保留排版,准确专业,支持PDF/Word/PPT等文件格式,支持 12+语言互译。

免费翻译文档

深度研究

AI帮你快速写综述,25分钟生成高质量综述,智能提取关键信息,辅助科研写作。

立即免费体验

病例报告:具有G114V突变和一个八肽重复序列缺失的遗传性克雅氏病,表现为额颞叶痴呆的模仿症。

Case Report: Genetic Creutzfeldt-Jakob Disease With a G114V Mutation and One Octapeptide Repeat Deletion as a Mimic of Frontotemporal Dementia.

作者信息

Lin Xue, Xu Yichen, Zhen Zhen, Xiao Kang, Chen Xu, Yang Jigang, Guan Hongzhi, Shi Qi, Dong Xiaoping, Wang Jiawei, Guo Yanjun

机构信息

Department of Neurology, Beijing Tongren Hospital, Capital Medical University, Beijing, China.

Department of Neurology, Beijing Puren Hospital, Beijing, China.

出版信息

Front Neurol. 2022 Jun 24;13:888309. doi: 10.3389/fneur.2022.888309. eCollection 2022.

DOI:10.3389/fneur.2022.888309
PMID:35812092
原文链接:https://pmc.ncbi.nlm.nih.gov/articles/PMC9263511/
Abstract

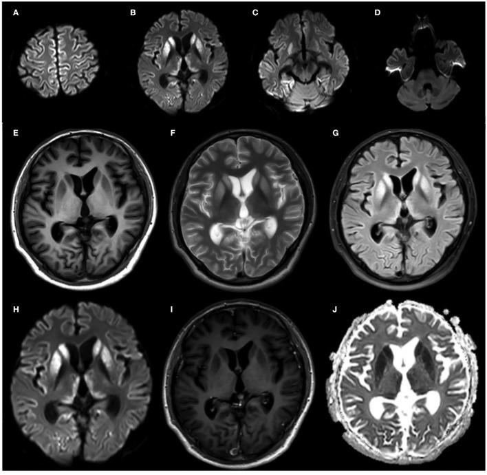
Genetic Creutzfeldt-Jakob disease (gCJD) characterized by mutations in the prion protein (PrP) gene () contributes to approximately 10-15% of the overall human prion diseases. Here, we report a rare mutation in the gene in a Han-Chinese family. A 36-year-old man initiated with anxiety and depression followed by progressive dementia, cogwheel-like rigidity combined with tremors, and he was diagnosed with frontotemporal lobar dementia in the first 2 years. The disease progression was relatively slow, and the patient developed into akinetic mutism in 4 years. To characterize the disease, following the pedigree studies, neuropsychological examination, neuroimaging studies, real-time quaking-induced conversion (RT-QuIC) examination, and so on were conducted. We eventually identified a rare mutation of G114V combined with one octapeptide repeats deletion (1-ORPD) in the PrP in the patient by DNA sequencing. In addition, the same mutation and deletion were subsequently identified in the patient's mother without any syndromes. His maternal grandmother had a late onset of the disease in her 60s. Given that 1-OPRD has never been reported in human prion disease before, our first report that both G114V mutation and 1-OPRD appear in the family would forward our understanding of the etiological mechanisms of the gCJD.

摘要

遗传性克雅氏病(gCJD)以朊蛋白(PrP)基因突变()为特征,约占人类朊病毒病总数的10%-15%。在此,我们报告一个汉族家庭中该基因的罕见突变。一名36岁男性起初出现焦虑和抑郁,随后发展为进行性痴呆、齿轮样强直伴震颤,最初两年被诊断为额颞叶痴呆。疾病进展相对缓慢,4年后患者发展为运动不能性缄默症。为明确该疾病,在进行系谱研究、神经心理学检查、神经影像学研究、实时震颤诱导转化(RT-QuIC)检查等之后,我们最终通过DNA测序在患者的PrP中鉴定出一种罕见的G114V突变并伴有一个八肽重复序列缺失(1-ORPD)。此外,随后在患者无症状的母亲身上也发现了相同的突变和缺失。他的外祖母在60多岁时发病较晚。鉴于此前人类朊病毒病中从未报道过1-OPRD,我们首次报道该家庭中同时出现G114V突变和1-OPRD,这将增进我们对gCJD病因机制的理解。

https://cdn.ncbi.nlm.nih.gov/pmc/blobs/e370/9263511/63346c622a0f/fneur-13-888309-g0005.jpg
https://cdn.ncbi.nlm.nih.gov/pmc/blobs/e370/9263511/a5b1000d59ca/fneur-13-888309-g0001.jpg
https://cdn.ncbi.nlm.nih.gov/pmc/blobs/e370/9263511/aa2f9ffd023f/fneur-13-888309-g0002.jpg
https://cdn.ncbi.nlm.nih.gov/pmc/blobs/e370/9263511/56ea64afc51f/fneur-13-888309-g0003.jpg
https://cdn.ncbi.nlm.nih.gov/pmc/blobs/e370/9263511/6b474ff629aa/fneur-13-888309-g0004.jpg
https://cdn.ncbi.nlm.nih.gov/pmc/blobs/e370/9263511/63346c622a0f/fneur-13-888309-g0005.jpg
https://cdn.ncbi.nlm.nih.gov/pmc/blobs/e370/9263511/a5b1000d59ca/fneur-13-888309-g0001.jpg
https://cdn.ncbi.nlm.nih.gov/pmc/blobs/e370/9263511/aa2f9ffd023f/fneur-13-888309-g0002.jpg
https://cdn.ncbi.nlm.nih.gov/pmc/blobs/e370/9263511/56ea64afc51f/fneur-13-888309-g0003.jpg
https://cdn.ncbi.nlm.nih.gov/pmc/blobs/e370/9263511/6b474ff629aa/fneur-13-888309-g0004.jpg
https://cdn.ncbi.nlm.nih.gov/pmc/blobs/e370/9263511/63346c622a0f/fneur-13-888309-g0005.jpg

相似文献

1
Case Report: Genetic Creutzfeldt-Jakob Disease With a G114V Mutation and One Octapeptide Repeat Deletion as a Mimic of Frontotemporal Dementia.病例报告:具有G114V突变和一个八肽重复序列缺失的遗传性克雅氏病,表现为额颞叶痴呆的模仿症。
Front Neurol. 2022 Jun 24;13:888309. doi: 10.3389/fneur.2022.888309. eCollection 2022.
2
The First Sporadic Creutzfeldt-Jakob Disease Case with a Rare Molecular Subtype VV1 and 1-Octapeptide Repeat Deletion in .首例散发型 Creutzfeldt-Jakob 病伴罕见分子亚型 VV1 和 1 个寡肽重复缺失的病例报道。
Viruses. 2021 Oct 14;13(10):2061. doi: 10.3390/v13102061.
3
First European case of Creutzfeldt-Jakob disease with a PRNP G114V mutation.首例具有 PRNP G114V 突变的欧洲克雅氏病病例。
Cortex. 2019 Aug;117:407-413. doi: 10.1016/j.cortex.2018.08.014. Epub 2018 Sep 1.
4
Octapeptide repeat alteration mutations of the prion protein gene in clinically diagnosed Alzheimer's disease and frontotemporal dementia.在临床诊断的阿尔茨海默病和额颞叶痴呆患者中,朊蛋白基因的八肽重复序列改变突变。
Clin Genet. 2023 Sep;104(3):350-355. doi: 10.1111/cge.14354. Epub 2023 May 6.
5
Global transcriptional profiling of the postmortem brain of a patient with G114V genetic Creutzfeldt-Jakob disease.G114V 基因突变型克雅氏病患者死后大脑的全转录组谱分析。
Int J Mol Med. 2013 Mar;31(3):676-88. doi: 10.3892/ijmm.2013.1239. Epub 2013 Jan 10.
6
Creutzfeldt-Jakob disease associated with a T188K homozygous mutation in the prion protein gene: a case report and review of the literature.朊病毒蛋白基因 T188K 纯合突变相关克雅氏病:病例报告及文献复习。
Prion. 2022 Dec;16(1):14-18. doi: 10.1080/19336896.2022.2031719.
7
[Inherited Creutzfeldt-Jakob disease with four-octapeptide repeat insertional mutation in the prion gene].[朊病毒基因中存在四个八肽重复插入突变的遗传性克雅氏病]
Rinsho Shinkeigaku. 2021 May 19;61(5):314-318. doi: 10.5692/clinicalneurol.cn-001558. Epub 2021 Apr 17.
8
Creutzfeldt-Jakob disease associated with a V203I homozygous mutation in the prion protein gene.与朊蛋白基因V203I纯合突变相关的克雅氏病
Prion. 2014;8(5):336-8. doi: 10.4161/19336896.2014.971569.
9
Rapidly progressive dementia syndrome associated with a novel four extra repeat mutation in the prion protein gene.与朊蛋白基因中一种新的四个额外重复突变相关的快速进展性痴呆综合征。
J Neurol Neurosurg Psychiatry. 2002 Jun;72(6):788-91. doi: 10.1136/jnnp.72.6.788.
10
Human prion disease with a G114V mutation and epidemiological studies in a Chinese family: a case series.携带G114V突变的人类朊病毒病及一个中国家系的流行病学研究:病例系列
J Med Case Rep. 2008 Oct 17;2:331. doi: 10.1186/1752-1947-2-331.

引用本文的文献

1
An atypical case of Creutzfeldt-Jakob disease mimicking frontotemporal dementia: genotypic influence and clinical implications.一例疑似额颞叶痴呆的克雅氏病非典型病例:基因型影响及临床意义
BMC Geriatr. 2025 Aug 11;25(1):613. doi: 10.1186/s12877-025-06290-0.
2
Neurosyphilis Initially Misdiagnosed as Behavioral Variant Frontotemporal Dementia: Life-Changing Differential Diagnosis.神经梅毒最初被误诊为行为变异型额颞叶痴呆:改变人生的鉴别诊断。
J Alzheimers Dis Rep. 2023 Sep 26;7(1):1077-1083. doi: 10.3233/ADR-230107. eCollection 2023.

本文引用的文献

1
Validation and Application of Skin RT-QuIC to Patients in China with Probable CJD.皮肤实时震颤诱导转化(RT - QuIC)在中国疑似克雅氏病(CJD)患者中的验证与应用
Pathogens. 2021 Dec 19;10(12):1642. doi: 10.3390/pathogens10121642.
2
Clinical and Laboratory Features of Three Rare Chinese V210I gCJD Patients.三名罕见的中国V210I型克雅氏病患者的临床和实验室特征
Pathogens. 2020 Sep 28;9(10):800. doi: 10.3390/pathogens9100800.
3
A patient with spastic paralysis finally diagnosed as V180I genetic Creutzfeldt-Jakob disease 9 years after onset.
一位痉挛性瘫痪患者,发病 9 年后最终诊断为 V180I 基因突变的克雅氏病。
Prion. 2020 Dec;14(1):226-231. doi: 10.1080/19336896.2020.1823179.
4
The N-Terminal Polybasic Region of Prion Protein Is Crucial in Prion Pathogenesis Independently of the Octapeptide Repeat Region.朊病毒蛋白的 N 端多碱性区在朊病毒发病机制中至关重要,与八肽重复区无关。
Mol Neurobiol. 2020 Feb;57(2):1203-1216. doi: 10.1007/s12035-019-01804-5. Epub 2019 Nov 9.
5
First European case of Creutzfeldt-Jakob disease with a PRNP G114V mutation.首例具有 PRNP G114V 突变的欧洲克雅氏病病例。
Cortex. 2019 Aug;117:407-413. doi: 10.1016/j.cortex.2018.08.014. Epub 2018 Sep 1.
6
Impaired transmissibility of atypical prions from genetic CJD.遗传性克雅氏病中非典型朊病毒的传播能力受损。
Neurol Genet. 2018 Aug 7;4(4):e253. doi: 10.1212/NXG.0000000000000253. eCollection 2018 Aug.
7
Twenty-year-old African American woman with prion disease associated with the G114V variant.一名20岁患有与G114V变异相关的朊病毒病的非裔美国女性。
Neurol Genet. 2018 Mar 22;4(2):e229. doi: 10.1212/NXG.0000000000000229. eCollection 2018 Apr.
8
Prion Protein Devoid of the Octapeptide Repeat Region Delays Bovine Spongiform Encephalopathy Pathogenesis in Mice.缺乏八肽重复区域的朊病毒蛋白可延缓小鼠牛海绵状脑病的发病进程。
J Virol. 2017 Dec 14;92(1). doi: 10.1128/JVI.01368-17. Print 2018 Jan 1.
9
RT-QuIC Assays for Prion Disease Detection and Diagnostics.用于朊病毒疾病检测与诊断的实时无细胞感染性检测法
Methods Mol Biol. 2017;1658:185-203. doi: 10.1007/978-1-4939-7244-9_14.
10
Genetic prion disease: Experience of a rapidly progressive dementia center in the United States and a review of the literature.遗传性朊病毒病:美国一家快速进展性痴呆中心的经验及文献综述
Am J Med Genet B Neuropsychiatr Genet. 2017 Jan;174(1):36-69. doi: 10.1002/ajmg.b.32505.