Suppr超能文献

口哨阴囊:开放性阴囊伤口中纵隔气肿的一种罕见表现。

Whistling Scrotum: An Unusual Presentation of Pneumomediastinum in the Setting of an Open Scrotal Wound.

机构信息

Department of Internal Medicine, Wright Patterson Air Force Base, Dayton, OH, USA.

Department of Internal Medicine, Wright State University, Dayton, OH, USA.

出版信息

Am J Case Rep. 2022 Jul 13;23:e936441. doi: 10.12659/AJCR.936441.

Abstract

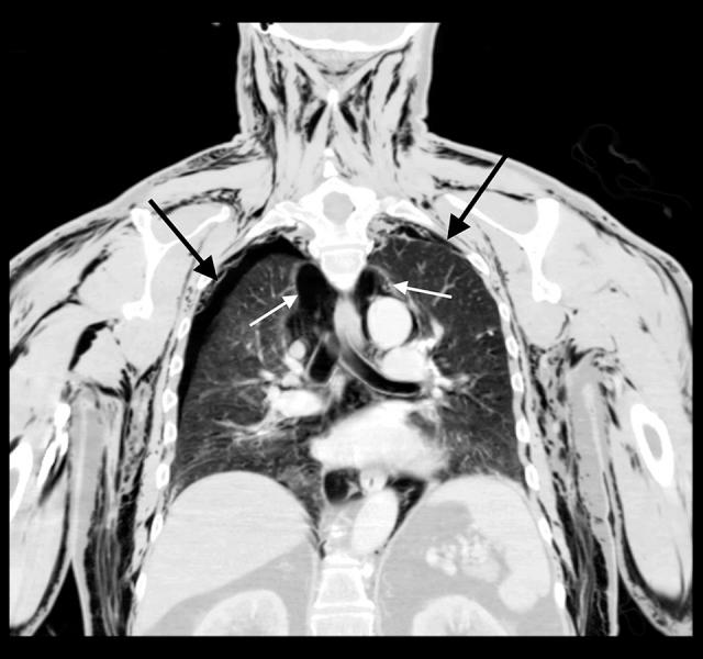
BACKGROUND Pneumoscrotum is a rare clinical occurrence in which air accumulates in the scrotum. The origin of air is primarily from trauma, but spontaneous pneumoscrotum can develop from gastrointestinal or pulmonary sources. Physical examination of pneumoscrotum typically includes crepitus of the perineal region and scrotal swelling and associated findings depending on the origin of the free air. However, pneumoscrotum in the setting of a scrotal wound, which allows air to pass freely outside the body, has not been previously documented in the literature. CASE REPORT A 72-year-old man who recently underwent a scrotal incision and drainage for recurrent epididymitis presented to a local emergency room with chief concerns of "whistling scrotum" and dyspnea. The chest CT revealed bilateral pneumothoraces, pneumomediastinum, and excessive subcutaneous emphysema throughout his abdomen, perineum, and scrotum. His scrotum had a dehiscent wound without any gross edema or air trapping contained within the scrotum. He received bilateral chest tubes and subcutaneous air drains with complete resolution of his pneumothoraces. The pneumoscrotum and associated subcutaneous emphysema of the perineum and thighs resolved after a prolonged period, and necessitated additional scrotal surgery. CONCLUSIONS Prompt evaluation for source control is necessary with pneumoscrotum, as the source likely requires immediate stabilization or surgical intervention. This case report describes a unique presentation of a common entity (pneumothorax) within pulmonology/critical care in a patient with an open scrotal wound from a recent scrotal procedure, which allowed the air to escape from his abdominal compartment, and resulted in his "scrotal whistling." It is unclear how the air passing through the scrotum affected the patient's presentation, such as allowing more air to build up in the subcutaneous tissues versus developing critical illness.

摘要

背景

气肿性阴囊是一种罕见的临床病症,其特征为阴囊内积聚空气。空气的来源主要是创伤,但自发性气肿性阴囊可由胃肠道或肺部来源引起。气肿性阴囊的体格检查通常包括会阴部的捻发音和阴囊肿胀,并根据自由气体的来源出现相关发现。然而,在阴囊伤口的情况下,空气可以自由地通过身体外部,这种情况以前在文献中没有被记录过。

病例报告

一名 72 岁的男性最近因复发性附睾炎接受了阴囊切开引流术,他因“哨子阴囊”和呼吸困难到当地急诊室就诊。胸部 CT 显示双侧气胸、纵隔气肿和整个腹部、会阴和阴囊过度皮下气肿。他的阴囊有一个裂开的伤口,阴囊内没有明显的肿胀或空气滞留。他接受了双侧胸腔引流管和皮下空气引流管治疗,气胸完全缓解。阴囊气肿和会阴及大腿的相关皮下气肿在长时间后才得到解决,并且需要进行额外的阴囊手术。

结论

气肿性阴囊需要及时进行病因控制评估,因为病因可能需要立即稳定或手术干预。本病例报告描述了一个在近期阴囊手术后阴囊伤口开放的患者中,肺部/重症监护常见实体(气胸)的独特表现,这使空气从腹部间隙逸出,并导致他的“阴囊哨声”。目前尚不清楚通过阴囊逸出的空气如何影响患者的表现,例如允许更多的空气积聚在皮下组织中,而不是发展为危急病症。

https://cdn.ncbi.nlm.nih.gov/pmc/blobs/f6b4/9288850/286fd77b8741/amjcaserep-23-e936441-g001.jpg

文献AI研究员

20分钟写一篇综述,助力文献阅读效率提升50倍。

立即体验

用中文搜PubMed

大模型驱动的PubMed中文搜索引擎

马上搜索

文档翻译

学术文献翻译模型,支持多种主流文档格式。

立即体验