Suppr超能文献

自微乳药物传递系统(SNEDDS)介导的百里醌口服生物利用度的改善:优化、表征、药代动力学和肝毒性研究。

Self-nanoemulsifying drug delivery system (SNEDDS) mediated improved oral bioavailability of thymoquinone: optimization, characterization, pharmacokinetic, and hepatotoxicity studies.

机构信息

University Institute of Pharma Sciences, Chandigarh University, Ajitgarh, Punjab, India.

School of Pharmaceutical Sciences, Shoolini University of Biotechnology and Management Sciences, Solan, 173 212, India.

出版信息

Drug Deliv Transl Res. 2023 Jan;13(1):292-307. doi: 10.1007/s13346-022-01193-8. Epub 2022 Jul 13.

Abstract

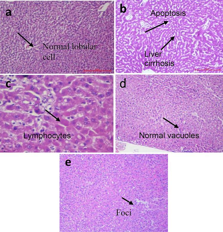
Thymoquinone (TQ) is an antioxidant, anti-inflammatory, and hepatoprotective compound obtained from the black seed oil of Nigella sativa. However, high hydrophobicity, instability at higher pH levels, photosensitivity, and low oral bioavailability hinder its delivery to the target tissues. A self-nanoemulsifying drug delivery system (SNEDDS) was fabricated using the microemulsification technique to address these issues. Its physicochemical properties, thermodynamic stability studies, drug release kinetics, in vivo pharmacokinetics, and hepatoprotective activity were evaluated. The droplet size was in the nano-range (< 90 nm). Zeta potential was measured to be -11.35 mV, signifying the high stability of the oil droplets. In vivo pharmacokinetic evaluation showed a fourfold increase in the bioavailability of TQ-SNEDDS over pure TQ. Furthermore, in a PCM-induced animal model, TQ-SNEDDS demonstrated significant (p < 0.05) hepatoprotective activity compared to pure TQ and silymarin. Reduction in liver biomarker enzymes and histopathological examinations of liver sections further supported the results. In this study, SNEDDS was demonstrated to be an improved oral delivery method for TQ, since it potentiates hepatotoxicity and enhances bioavailability.

摘要

姜酮(TQ)是一种抗氧化剂、抗炎剂和保肝化合物,从黑种草籽油(Nigella sativa)中提取得到。然而,高疏水性、较高 pH 值水平下的不稳定性、光敏感性和低口服生物利用度阻碍了其向靶组织的输送。使用微乳液技术制备了自微乳药物传递系统(SNEDDS)来解决这些问题。对其物理化学性质、热力学稳定性研究、药物释放动力学、体内药代动力学和保肝活性进行了评价。液滴尺寸处于纳米范围(<90nm)。测量到的 Zeta 电位为-11.35mV,表明油滴具有高稳定性。体内药代动力学评价表明,TQ-SNEDDS 的生物利用度比纯 TQ 提高了四倍。此外,在 PCM 诱导的动物模型中,与纯 TQ 和水飞蓟素相比,TQ-SNEDDS 表现出显著的(p<0.05)保肝活性。肝生物标志物酶的减少和肝切片的组织病理学检查进一步支持了这些结果。在这项研究中,SNEDDS 被证明是 TQ 的一种改进的口服递送方法,因为它增强了肝毒性并提高了生物利用度。

https://cdn.ncbi.nlm.nih.gov/pmc/blobs/6f24/9726673/cf89a0bc1374/13346_2022_1193_Fig1_HTML.jpg

文献检索

告别复杂PubMed语法,用中文像聊天一样搜索,搜遍4000万医学文献。AI智能推荐,让科研检索更轻松。

立即免费搜索

文件翻译

保留排版,准确专业,支持PDF/Word/PPT等文件格式,支持 12+语言互译。

免费翻译文档

深度研究

AI帮你快速写综述,25分钟生成高质量综述,智能提取关键信息,辅助科研写作。

立即免费体验