Elmanar Ryan, Atmaja M Hidayat Surya
Radiology Resident, Radiology Department, Faculty of Medicine, Universitas Airlangga - Dr. Soetomo Academic General Hospital, Jalan Mayjen. Prof. Dr. Moestopo 47, Surabaya, East Java, 60131, Indonesia.
Abdominal Radiologist, Radiology Department, Faculty of Medicine, Universitas Airlangga - Dr. Soetomo Academic General Hospital, Jalan Mayjen. Prof. Dr. Moestopo 47, Surabaya, East Java, 60131, Indonesia.
Radiol Case Rep. 2022 Jul 10;17(9):3302-3307. doi: 10.1016/j.radcr.2022.06.014. eCollection 2022 Sep.
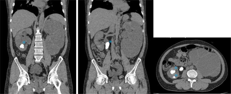
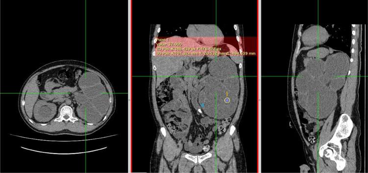
Pyonephrosis is hydronephrosis accompanied by a bacterial infection in the kidney, causing suppurative destruction of the renal parenchyma; this condition is an emergency and usually associated with stones or chronic urinary tract infections. Urinalysis is typically inaccurate for establishing the diagnosis, as bacteriuria may not manifest due to ureteral obstruction. We reported a 55-year-old male patient with flanks pain and an account of stone expulsion. Based on history taking, physical examination, radiology examinations, and percutaneous nephrotomy, we concluded a diagnosis of pyonephrosis causing by as known as Group B Streptococcus. While both US and CT scan guided the early diagnosis, CT was more accurate as it is able to capture the renal function and the underlying cause of obstruction. Pyonephrosis was described as having a pus collection in the pelvicalyceal system, cortex thinning, and the appearance of stones. Pyonephrosis is a rare emergency, and many clinicians find it challenging to recognize since the presentations are frequently nonspecific. In order to prevent renal failure and the spread of bacteremia that entails life-threatening urosepsis, acquiring imaging knowledge (sonography and CT) and other findings are indispensable in determining this entity.
脓肾是指肾积水伴有肾脏细菌感染,导致肾实质化脓性破坏;这种情况是一种急症,通常与结石或慢性尿路感染有关。由于输尿管梗阻,尿分析对于确立诊断通常不准确,因为可能不会出现菌尿。我们报告了一名55岁男性患者,有胁腹疼痛并曾排出结石。基于病史采集、体格检查、影像学检查以及经皮肾造瘘术,我们诊断为由B族链球菌引起的脓肾。虽然超声和CT扫描均有助于早期诊断,但CT更准确,因为它能够了解肾功能及潜在的梗阻原因。脓肾表现为肾盂肾盏系统有积脓、皮质变薄以及结石表现。脓肾是一种罕见的急症,由于其表现常常不具有特异性,许多临床医生发现难以识别。为了预防肾衰竭以及可能导致危及生命的尿脓毒症的菌血症扩散,掌握影像学知识(超声和CT)以及其他检查结果对于明确该病症必不可少。