• 文献检索
  • 文档翻译
  • 深度研究
  • 学术资讯
  • Suppr Zotero 插件Zotero 插件
  • 邀请有礼
  • 套餐&价格
  • 历史记录
应用&插件
Suppr Zotero 插件Zotero 插件浏览器插件Mac 客户端Windows 客户端微信小程序
定价
高级版会员购买积分包购买API积分包
服务
文献检索文档翻译深度研究API 文档MCP 服务
关于我们
关于 Suppr公司介绍联系我们用户协议隐私条款
关注我们

Suppr 超能文献

核心技术专利:CN118964589B侵权必究
粤ICP备2023148730 号-1Suppr @ 2026

文献检索

告别复杂PubMed语法,用中文像聊天一样搜索,搜遍4000万医学文献。AI智能推荐,让科研检索更轻松。

立即免费搜索

文件翻译

保留排版,准确专业,支持PDF/Word/PPT等文件格式,支持 12+语言互译。

免费翻译文档

深度研究

AI帮你快速写综述,25分钟生成高质量综述,智能提取关键信息,辅助科研写作。

立即免费体验

高能钝性头部损伤后后交通动脉损伤及症状性血管痉挛:病例说明

Posterior communicating artery injury and symptomatic vasospasm after high-energy blunt head injury: illustrative case.

作者信息

Omar Nidal B, Chagoya Gustavo, Marotta Dario, Elsayed Galal, Harrigan Mark R

机构信息

Department of Neurosurgery, University of Alabama at Birmingham, Birmingham, Alabama; and.

Alabama College of Osteopathic Medicine, Dothan, Alabama.

出版信息

J Neurosurg Case Lessons. 2021 Feb 22;1(8):CASE2053. doi: 10.3171/CASE2053.

DOI:10.3171/CASE2053
PMID:35855314
原文链接:https://pmc.ncbi.nlm.nih.gov/articles/PMC9241346/
Abstract

BACKGROUND

Most of the published literature pertaining to blunt traumatic cerebrovascular injury (BCVI) is focused on extracranial arterial injury. Studies of intracranial arterial injury are relatively uncommon.

OBSERVATIONS

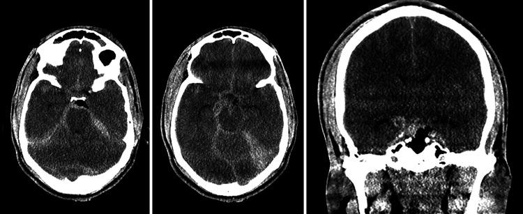
The clinical course of a patient who sustained an injury to the right posterior communicating artery followed by infarction due to vasospasm after severe traumatic brain injury is presented, along with a focused literature review.

LESSONS

Intracranial BCVI is uncommon, and this report may serve to raise awareness of BCVI management and the importance of recognizing symptomatic vasospasm due to BCVI.

摘要

背景

大多数已发表的关于钝性创伤性脑血管损伤(BCVI)的文献都集中在颅外动脉损伤。颅内动脉损伤的研究相对较少。

观察

本文介绍了一名患者的临床病程,该患者在严重创伤性脑损伤后右侧后交通动脉受伤,随后因血管痉挛发生梗死,并进行了重点文献综述。

经验教训

颅内BCVI并不常见,本报告可能有助于提高对BCVI管理的认识以及认识到BCVI所致症状性血管痉挛的重要性。

https://cdn.ncbi.nlm.nih.gov/pmc/blobs/4bde/9241346/991876ad8600/CASE2053f5.jpg
https://cdn.ncbi.nlm.nih.gov/pmc/blobs/4bde/9241346/9ca1815a4802/CASE2053f1.jpg
https://cdn.ncbi.nlm.nih.gov/pmc/blobs/4bde/9241346/90159f9de166/CASE2053f2.jpg
https://cdn.ncbi.nlm.nih.gov/pmc/blobs/4bde/9241346/c1362b593bc7/CASE2053f3.jpg
https://cdn.ncbi.nlm.nih.gov/pmc/blobs/4bde/9241346/7e994bdaac42/CASE2053f4.jpg
https://cdn.ncbi.nlm.nih.gov/pmc/blobs/4bde/9241346/991876ad8600/CASE2053f5.jpg
https://cdn.ncbi.nlm.nih.gov/pmc/blobs/4bde/9241346/9ca1815a4802/CASE2053f1.jpg
https://cdn.ncbi.nlm.nih.gov/pmc/blobs/4bde/9241346/90159f9de166/CASE2053f2.jpg
https://cdn.ncbi.nlm.nih.gov/pmc/blobs/4bde/9241346/c1362b593bc7/CASE2053f3.jpg
https://cdn.ncbi.nlm.nih.gov/pmc/blobs/4bde/9241346/7e994bdaac42/CASE2053f4.jpg
https://cdn.ncbi.nlm.nih.gov/pmc/blobs/4bde/9241346/991876ad8600/CASE2053f5.jpg

相似文献

1
Posterior communicating artery injury and symptomatic vasospasm after high-energy blunt head injury: illustrative case.高能钝性头部损伤后后交通动脉损伤及症状性血管痉挛:病例说明
J Neurosurg Case Lessons. 2021 Feb 22;1(8):CASE2053. doi: 10.3171/CASE2053.
2
Risk factors for traumatic blunt cerebrovascular injury diagnosed by computed tomography angiography in the pediatric population: a retrospective cohort study.计算机断层血管造影诊断儿童创伤性钝性脑血管损伤的危险因素:一项回顾性队列研究。
J Neurosurg Pediatr. 2015 Jun;15(6):599-606. doi: 10.3171/2014.11.PEDS14397. Epub 2015 Mar 6.
3
Blunt cerebrovascular injuries in severe traumatic brain injury: incidence, risk factors, and evolution.严重创伤性脑损伤中的钝性脑血管损伤:发生率、危险因素和演变。
J Neurosurg. 2017 Jul;127(1):16-22. doi: 10.3171/2016.4.JNS152600. Epub 2016 Jul 29.
4
Traumatic brain injury and intracranial hemorrhage-induced cerebral vasospasm: a systematic review.创伤性脑损伤和颅内出血引起的脑血管痉挛:系统评价。
Neurosurg Focus. 2017 Nov;43(5):E14. doi: 10.3171/2017.8.FOCUS17431.
5
Extent of collateralization predicting symptomatic cerebral vasospasm among pediatric patients: correlations among angiography, transcranial Doppler ultrasonography, and clinical findings.小儿患者中侧支循环程度对症状性脑血管痉挛的预测作用:血管造影、经颅多普勒超声及临床发现之间的相关性
J Neurosurg Pediatr. 2015 Mar;15(3):282-90. doi: 10.3171/2014.9.PEDS14313. Epub 2015 Jan 2.
6
The identification of a subgroup of children with traumatic subarachnoid hemorrhage at low risk of neuroworsening.识别神经功能恶化低风险的创伤性蛛网膜下腔出血儿童亚组。
J Neurosurg Pediatr. 2018 Nov 1;22(5):559-566. doi: 10.3171/2018.5.PEDS18140. Epub 2018 Aug 10.
7
Proximal arterial diameters on CT angiography and digital subtraction angiography correlate both at admission and in the vasospasm period after aneurysmal subarachnoid hemorrhage.在动脉瘤性蛛网膜下腔出血患者入院时以及血管痉挛期,CT血管造影和数字减影血管造影所显示的近端动脉直径具有相关性。
Acta Neurochir Suppl. 2015;120:171-5. doi: 10.1007/978-3-319-04981-6_29.
8
Which Patients Receive Diagnostic Angiography? An EAST Multicenter Study Analysis of Internal Carotid Artery Blunt Cerebrovascular Injury.哪些患者接受诊断性血管造影?EAST 多中心研究分析颈内动脉钝性脑血管损伤。
Am Surg. 2023 Dec;89(12):5183-5190. doi: 10.1177/00031348221138083. Epub 2022 Nov 23.
9
A comparison of digital subtraction angiography and computed tomography angiography for the diagnosis of penetrating cerebrovascular injury.数字减影血管造影与计算机断层血管造影在穿透性脑血管损伤诊断中的比较。
Neurosurg Focus. 2019 Nov 1;47(5):E16. doi: 10.3171/2019.8.FOCUS19495.
10
Molsidomine for the prevention of vasospasm-related delayed ischemic neurological deficits and delayed brain infarction and the improvement of clinical outcome after subarachnoid hemorrhage: a single-center clinical observational study.莫西赛利预防蛛网膜下腔出血后血管痉挛相关的迟发性缺血性神经功能缺损和迟发性脑梗死及改善临床结局:一项单中心临床观察性研究
J Neurosurg. 2016 Jan;124(1):51-8. doi: 10.3171/2014.12.JNS13846. Epub 2015 Jul 10.

本文引用的文献

1
Diffuse Traumatic Subarachnoid Hemorrhage Mimicking Aneurysmal Bleeding Secondary to Ophthalmic Artery Avulsion: Case Report and Review of the Literature.弥漫性外伤性蛛网膜下腔出血误诊为眼动脉离断所致的动脉瘤性出血:病例报告及文献复习。
World Neurosurg. 2020 Nov;143:513-517. doi: 10.1016/j.wneu.2020.07.011. Epub 2020 Jul 9.
2
Low Glasgow Coma Score in Traumatic Intracranial Hemorrhage Predicts Development of Cerebral Vasospasm.创伤性颅内出血患者格拉斯哥昏迷评分低预示着脑血管痉挛的发生。
World Neurosurg. 2018 Dec;120:e68-e71. doi: 10.1016/j.wneu.2018.07.143. Epub 2018 Jul 25.
3
Traumatic subarachnoid hemorrhage related to ophthalmic artery avulsion: a case report.
与眼动脉撕脱相关的创伤性蛛网膜下腔出血:一例报告
Acta Neurochir (Wien). 2018 May;160(5):913-917. doi: 10.1007/s00701-018-3486-z. Epub 2018 Feb 14.
4
Optic nerve injury-associated blunt cerebrovascular injury: Three case reports.视神经损伤相关的钝性脑血管损伤:三例报告
Medicine (Baltimore). 2017 Nov;96(45):e8523. doi: 10.1097/MD.0000000000008523.
5
Delayed massive epistaxis from traumatic intracranial aneurysm after blunt facial injury.钝性面部损伤后创伤性颅内动脉瘤导致的延迟性大量鼻出血。
Acute Med Surg. 2016 Sep 4;4(1):131-134. doi: 10.1002/ams2.239. eCollection 2017 Jan.
6
Subarachnoid hemorrhage secondary to ophthalmic artery avulsion.
J Neurol Sci. 2015 Nov 15;358(1-2):477-8. doi: 10.1016/j.jns.2015.08.1546. Epub 2015 Sep 2.
7
Traumatic intracranial aneurysm in blunt trauma.钝性创伤所致创伤性颅内动脉瘤
Brain Inj. 2015;29(5):601-6. doi: 10.3109/02699052.2015.1004559. Epub 2015 Mar 19.
8
Traumatic enucleation with avulsion of the ophthalmic artery resulting in aneurysm-like subarachnoid hemorrhage.外伤性眼球摘除伴眼动脉撕脱导致动脉瘤样蛛网膜下腔出血。
J Neurosurg. 2009 Oct;111(4):653-7. doi: 10.3171/2009.2.17687.
9
Traumatic intracranial aneurysm: a brief review.创伤性颅内动脉瘤:简要综述。
J Clin Neurosci. 2008 Jun;15(6):609-12. doi: 10.1016/j.jocn.2007.11.006. Epub 2008 Apr 18.
10
Cerebral vasospasm following post-traumatic subarachnoid hemorrhage evaluated by transcranial Doppler ultrasonography.经颅多普勒超声评估创伤后蛛网膜下腔出血后的脑血管痉挛
J Neurol Sci. 1993 Oct;119(1):1-7. doi: 10.1016/0022-510x(93)90185-2.