• 文献检索
  • 文档翻译
  • 深度研究
  • 学术资讯
  • Suppr Zotero 插件Zotero 插件
  • 邀请有礼
  • 套餐&价格
  • 历史记录
应用&插件
Suppr Zotero 插件Zotero 插件浏览器插件Mac 客户端Windows 客户端微信小程序
定价
高级版会员购买积分包购买API积分包
服务
文献检索文档翻译深度研究API 文档MCP 服务
关于我们
关于 Suppr公司介绍联系我们用户协议隐私条款
关注我们

Suppr 超能文献

核心技术专利:CN118964589B侵权必究
粤ICP备2023148730 号-1Suppr @ 2026

文献检索

告别复杂PubMed语法,用中文像聊天一样搜索,搜遍4000万医学文献。AI智能推荐,让科研检索更轻松。

立即免费搜索

文件翻译

保留排版,准确专业,支持PDF/Word/PPT等文件格式,支持 12+语言互译。

免费翻译文档

深度研究

AI帮你快速写综述,25分钟生成高质量综述,智能提取关键信息,辅助科研写作。

立即免费体验

β-hCG超过39,000 mIU/mL的间质部妊娠的保守治疗:一例报告

Conservative Management of Interstitial Pregnancy With Beta-hCG of Over 39,000 mIU/mL: A Case Report.

作者信息

Mayuga Tom J, Antonios Amir, Hutchins Shanna, Saint-Louis Hedwige

机构信息

Family Medicine, WellStar Atlanta Medical Center, Atlanta, USA.

Family Medicine, Ross University School of Medicine, Atlanta, USA.

出版信息

Cureus. 2022 Jun 17;14(6):e26027. doi: 10.7759/cureus.26027. eCollection 2022 Jun.

DOI:10.7759/cureus.26027
PMID:35859969
原文链接:https://pmc.ncbi.nlm.nih.gov/articles/PMC9288656/
Abstract

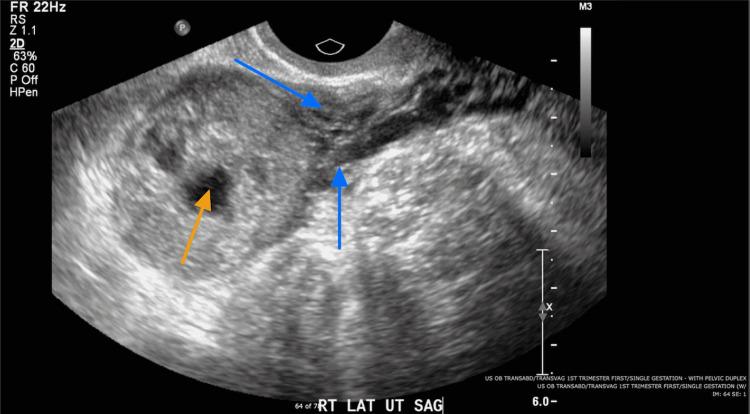
Interstitial ectopic pregnancy can be a life-threatening condition as the myometrial tissue around the gestational sac is thin. Furthermore, the interstitial aspect of the fallopian tubes is highly vascularized. Thus, a rupture in this area can result in catastrophic hemorrhage, hemoperitoneum, and shock. Therefore, surgical management is often the preferred mode of therapy. This report identifies the successful medical management of a patient with interstitial ectopic pregnancy with β-hCG of more than 39,000 utilizing methotrexate.

摘要

间质部异位妊娠可能是一种危及生命的情况,因为妊娠囊周围的子宫肌层组织很薄。此外,输卵管间质部血管高度丰富。因此,该区域的破裂可导致灾难性出血、腹腔积血和休克。所以,手术治疗通常是首选的治疗方式。本报告确定了一名间质部异位妊娠患者,其β - 人绒毛膜促性腺激素超过39000,使用甲氨蝶呤进行药物治疗成功的案例。

https://cdn.ncbi.nlm.nih.gov/pmc/blobs/8a6b/9288656/e2737bb5f76c/cureus-0014-00000026027-i03.jpg
https://cdn.ncbi.nlm.nih.gov/pmc/blobs/8a6b/9288656/4d4605f246aa/cureus-0014-00000026027-i01.jpg
https://cdn.ncbi.nlm.nih.gov/pmc/blobs/8a6b/9288656/113a1f31e489/cureus-0014-00000026027-i02.jpg
https://cdn.ncbi.nlm.nih.gov/pmc/blobs/8a6b/9288656/e2737bb5f76c/cureus-0014-00000026027-i03.jpg
https://cdn.ncbi.nlm.nih.gov/pmc/blobs/8a6b/9288656/4d4605f246aa/cureus-0014-00000026027-i01.jpg
https://cdn.ncbi.nlm.nih.gov/pmc/blobs/8a6b/9288656/113a1f31e489/cureus-0014-00000026027-i02.jpg
https://cdn.ncbi.nlm.nih.gov/pmc/blobs/8a6b/9288656/e2737bb5f76c/cureus-0014-00000026027-i03.jpg

相似文献

1
Conservative Management of Interstitial Pregnancy With Beta-hCG of Over 39,000 mIU/mL: A Case Report.β-hCG超过39,000 mIU/mL的间质部妊娠的保守治疗:一例报告
Cureus. 2022 Jun 17;14(6):e26027. doi: 10.7759/cureus.26027. eCollection 2022 Jun.
2
Ectopic pregnancy.异位妊娠
Clin Obstet Gynecol. 1985 Jun;28(2):365-74. doi: 10.1097/00003081-198528020-00014.
3
Multidosing Intramuscular Administration of Methotrexate in Interstitial Pregnancy With Very High Levels of β-hCG: A Case Report and Review of the Literature.甲氨蝶呤多剂量肌内注射治疗β-hCG水平极高的间质部妊娠:一例报告并文献复习
Front Endocrinol (Lausanne). 2018 Jul 10;9:363. doi: 10.3389/fendo.2018.00363. eCollection 2018.
4
Conservative Treatment of Interstitial Ectopic Pregnancy with the Combination of Mifepristone and Methotrexate: Our Experience and Review of the Literature.米非司酮联合甲氨蝶呤保守治疗输卵管间质部妊娠:我们的经验及文献复习。
Biomed Res Int. 2020 Aug 1;2020:8703496. doi: 10.1155/2020/8703496. eCollection 2020.
5
Successful treatment of advanced interstitial pregnancy with methotrexate and hysteroscopy. A case report.甲氨蝶呤联合宫腔镜成功治疗晚期间质部妊娠:一例病例报告
J Reprod Med. 1998 Aug;43(8):719-22.
6
Management options for interstitial ectopic pregnancies: A case series.间质部异位妊娠的管理方案:病例系列
Pak J Med Sci. 2017 Mar-Apr;33(2):476-482. doi: 10.12669/pjms.332.12093.
7
Successful conservative treatment of a cervical ectopic pregnancy at 13 weeks.13周宫颈异位妊娠的成功保守治疗
Clin Exp Obstet Gynecol. 2016;43(2):291-3.
8
Conservative management of a viable cervical ectopic pregnancy with systemic and multiple local methotrexate injections. A case report.经全身和多次局部甲氨蝶呤注射保守治疗有活力的宫颈异位妊娠。病例报告。
Eur J Contracept Reprod Health Care. 2022 Jun;27(3):265-268. doi: 10.1080/13625187.2022.2026325. Epub 2022 Feb 7.
9
Rupture of ectopic pregnancy with negative serum beta-hCG leading to hemorrhagic shock.
Obstet Gynecol. 2009 Feb;113(2 Pt 2):537-539. doi: 10.1097/AOG.0b013e318190a2bb.
10
Conservative medical and surgical management of interstitial ectopic pregnancy.间质部异位妊娠的保守药物及手术治疗
Fertil Steril. 1999 Aug;72(2):207-15. doi: 10.1016/s0015-0282(99)00242-3.

本文引用的文献

1
ACOG Practice Bulletin No. 193: Tubal Ectopic Pregnancy.美国妇产科医师学会实践公告第 193 号:输卵管妊娠。
Obstet Gynecol. 2018 Mar;131(3):e91-e103. doi: 10.1097/AOG.0000000000002560.
2
Interstitial ectopic pregnancy: conservative surgical management.间质部异位妊娠:保守性手术治疗
JSLS. 2014 Apr-Jun;18(2):197-203. doi: 10.4293/108680813X13753907292836.
3
The optimal cutoff serum level of human chorionic gonadotropin for efficacy of methotrexate treatment in women with extrauterine pregnancy.血清人绒毛膜促性腺激素水平最佳截断值对异位妊娠患者甲氨蝶呤治疗效果的影响。
Int J Gynaecol Obstet. 2012 Feb;116(2):101-4. doi: 10.1016/j.ijgo.2011.09.023. Epub 2011 Nov 17.
4
Interstitial ectopic pregnancy: A rare and difficult clinicosonographic diagnosis.间质部异位妊娠:一种罕见且临床超声诊断困难的情况。
J Hum Reprod Sci. 2008 Jul;1(2):81-2. doi: 10.4103/0974-1208.44116.
5
Establishing a human chorionic gonadotropin cutoff to guide methotrexate treatment of ectopic pregnancy: a systematic review.确定人绒毛膜促性腺激素临界值以指导甲氨蝶呤治疗异位妊娠:一项系统评价
Fertil Steril. 2007 Mar;87(3):481-4. doi: 10.1016/j.fertnstert.2006.10.007. Epub 2006 Dec 14.
6
The conservative management of interstitial pregnancy.间质部妊娠的保守治疗
BJOG. 2004 Nov;111(11):1283-8. doi: 10.1111/j.1471-0528.2004.00442.x.
7
Interstitial pregnancy: results generated from the Society of Reproductive Surgeons Registry.间质部妊娠:生殖外科医生协会登记处得出的结果
Obstet Gynecol. 2004 Jan;103(1):47-50. doi: 10.1097/01.AOG.0000109218.24211.79.
8
Expectant management of interstitial pregnancy.
Ultrasound Obstet Gynecol. 1994 May 1;4(3):238-40. doi: 10.1046/j.1469-0705.1994.04030238.x.
9
Predictors of treatment failure for ectopic pregnancy treated with single-dose methotrexate.单剂量甲氨蝶呤治疗异位妊娠失败的预测因素
Fertil Steril. 2000 Nov;74(5):877-80. doi: 10.1016/s0015-0282(00)01547-8.
10
Ectopic pregnancy--United States, 1990-1992.异位妊娠——美国,1990 - 1992年
MMWR Morb Mortal Wkly Rep. 1995 Jan 27;44(3):46-8.