Suppr超能文献

新冠肺炎大流行期间偶然发现的腹膜后副神经节瘤:病例报告。

An incidental finding of retroperitoneal paraganglioma during the coronavirus disease 2019 pandemic: a case report.

机构信息

Department of Surgical Oncology, Salah Azaiez Institute, Boulevard du 9 Avril 1938, 1006, Tunis, Tunisia.

Faculty of Medicine, University of Tunis El Manar, Tunis, Tunisia.

出版信息

J Med Case Rep. 2022 Jul 21;16(1):300. doi: 10.1186/s13256-022-03513-5.

Abstract

BACKGROUND

Extra-adrenal paraganglioma of the retroperitoneum is a very rare neoplasm arising from cells of the primitive neural crest. Although paragangliomas are considered benign and are often found incidentally, they have the potential to metastasize.

CASE PRESENTATION

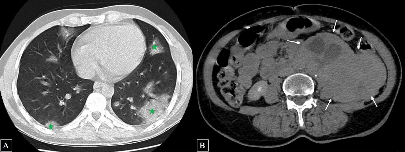
We report the case of a 68-year-old Caucasian woman with an incidental diagnosis of retroperitoneal paraganglioma that was discovered on chest computed tomography performed for high suspicion of coronavirus disease 2019 pneumonia. The patient showed no metastasis and was successfully treated by complete surgical removal of the tumor.

CONCLUSION

As the diagnosis of paragangliomas is often delayed because of absent clinical symptoms, they represent a significant diagnostic challenge. Although surgery may exacerbate coronavirus disease 2019 infection, surgical resection of this tumor is prioritized, given its malignancy potential, and it must be performed as soon as no infection is detected.

摘要

背景

腹膜后副神经节瘤是一种非常罕见的肿瘤,起源于原始神经嵴细胞。虽然副神经节瘤被认为是良性的,并且经常是偶然发现的,但它们有转移的潜力。

病例介绍

我们报告了一例 68 岁白人女性的病例,她在因高度怀疑 2019 年冠状病毒病肺炎而行胸部计算机断层扫描时偶然诊断出腹膜后副神经节瘤。该患者没有转移,通过成功地完全切除肿瘤进行了治疗。

结论

由于缺乏临床症状,副神经节瘤的诊断常常被延误,因此这给诊断带来了巨大的挑战。尽管手术可能会加重 2019 年冠状病毒病感染,但鉴于该肿瘤的恶性潜能,优先考虑进行手术切除,而且必须在没有感染时尽快进行。

https://cdn.ncbi.nlm.nih.gov/pmc/blobs/0de9/9306198/763e0239a040/13256_2022_3513_Fig1_HTML.jpg

文献检索

告别复杂PubMed语法,用中文像聊天一样搜索,搜遍4000万医学文献。AI智能推荐,让科研检索更轻松。

立即免费搜索

文件翻译

保留排版,准确专业,支持PDF/Word/PPT等文件格式,支持 12+语言互译。

免费翻译文档

深度研究

AI帮你快速写综述,25分钟生成高质量综述,智能提取关键信息,辅助科研写作。

立即免费体验