Suppr超能文献

三尖瓣反流管理中起搏导线拔除:一例病例报告

Pacing lead extraction in the management of tricuspid regurgitation: a case report.

作者信息

Khor Lynn, Madan Kedar, Lee Choon Huat, Ng Martin K C

机构信息

Macquarie University Hospital, 3 Technology Place, Macquarie University, Sydney, NSW 2109, Australia.

Cardiology Department, Nepean Hospital, Derby Street, Kingswood, NSW 2747, Australia.

出版信息

Eur Heart J Case Rep. 2022 May 17;6(7):ytac170. doi: 10.1093/ehjcr/ytac170. eCollection 2022 Jul.

Abstract

BACKGROUND

Patients with a cardiac implantable electronic device (CIED)-induced tricuspid regurgitation (TR) have an increased mortality and morbidity. However, the impact of CIED-lead extraction and its indications are not well-defined.

CASE SUMMARY

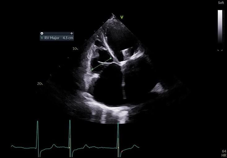
A 69-year-old woman presented with recurrent hospital admissions for right heart failure refractory to medical therapy, on the background of a single-chamber permanent pacemaker (Biotronik) implanted 6 years ago for tachycardia-bradycardia syndrome. Transoesophageal echocardiography identified severe TR which was predominantly CIED-induced from a lead impingement of the posterior tricuspid valve (TV) leaflet preventing adequate leaflet coaptation. This had progressed to cause a degree of secondary functional TR. The patient underwent pacing lead extraction followed by epicardial lead placement via minithoracotomy, with significant symptomatic and echographic improvement of TR.

DISCUSSION

CIED-induced TR from a lead impingement of TV leaflets carries the highest risk of TR and its consequences. This case illustrates the significance of the relationship between CIED-leads and the TV, which impacts management strategy. We recommend a mechanistic approach and incorporating CIED-lead interaction with the TV apparatus as the underlying principle in developing future management guidelines for CIED-induced TR.

摘要

背景

心脏植入式电子设备(CIED)引起的三尖瓣反流(TR)患者的死亡率和发病率增加。然而,CIED导线拔除的影响及其指征尚不明确。

病例摘要

一名69岁女性因右心衰竭反复住院,药物治疗无效,6年前因心动过速-心动过缓综合征植入单腔永久起搏器(百多力)。经食管超声心动图检查发现严重TR,主要由CIED引起,因导线压迫三尖瓣(TV)后叶,导致瓣叶无法充分对合。这已发展为一定程度的继发性功能性TR。患者接受了起搏导线拔除,随后通过小切口开胸进行心外膜导线植入,TR的症状和超声心动图表现有显著改善。

讨论

TV瓣叶受导线压迫引起的CIED相关TR发生TR及其后果的风险最高。本病例说明了CIED导线与TV之间关系的重要性,这会影响管理策略。我们建议采用一种机制性方法,并将CIED导线与TV装置的相互作用作为制定未来CIED相关TR管理指南的基本原则。

https://cdn.ncbi.nlm.nih.gov/pmc/blobs/b0df/9295692/98c54270a066/ytac170f1.jpg

文献检索

告别复杂PubMed语法,用中文像聊天一样搜索,搜遍4000万医学文献。AI智能推荐,让科研检索更轻松。

立即免费搜索

文件翻译

保留排版,准确专业,支持PDF/Word/PPT等文件格式,支持 12+语言互译。

免费翻译文档

深度研究

AI帮你快速写综述,25分钟生成高质量综述,智能提取关键信息,辅助科研写作。

立即免费体验