• 文献检索
  • 文档翻译
  • 深度研究
  • 学术资讯
  • Suppr Zotero 插件Zotero 插件
  • 邀请有礼
  • 套餐&价格
  • 历史记录
应用&插件
Suppr Zotero 插件Zotero 插件浏览器插件Mac 客户端Windows 客户端微信小程序
定价
高级版会员购买积分包购买API积分包
服务
文献检索文档翻译深度研究API 文档MCP 服务
关于我们
关于 Suppr公司介绍联系我们用户协议隐私条款
关注我们

Suppr 超能文献

核心技术专利:CN118964589B侵权必究
粤ICP备2023148730 号-1Suppr @ 2026

文献检索

告别复杂PubMed语法,用中文像聊天一样搜索,搜遍4000万医学文献。AI智能推荐,让科研检索更轻松。

立即免费搜索

文件翻译

保留排版,准确专业,支持PDF/Word/PPT等文件格式,支持 12+语言互译。

免费翻译文档

深度研究

AI帮你快速写综述,25分钟生成高质量综述,智能提取关键信息,辅助科研写作。

立即免费体验

病例报告:可切除的ALK阳性非小细胞肺癌患者对新辅助阿来替尼治疗的病理完全缓解

Case Report: Pathological Complete Response to Neoadjuvant Alectinib in a Patient With Resectable ALK-Positive Non-Small Cell Lung Cancer.

作者信息

Hu Yan, Ren Siying, Wang Ruoyao, Han Wei, Xiao Peng, Wang Li, Yu Fenglei, Liu Wenliang

机构信息

Department of Thoracic Surgery, The Second Xiangya Hospital of Central South University, Hunan Key Laboratory of Early Diagnosis and Precision Treatment of Lung Cancer, The Second Xiangya Hospital of Central South University, Changsha, China.

Department of Respiratory and Critical Care Medicine, The Second Xiangya Hospital of Central South University, Research Unit of Respiratory Disease, Central South University, Hunan Diagnosis and Treatment Center of Respiratory Disease, Changsha, China.

出版信息

Front Pharmacol. 2022 Jul 6;13:816683. doi: 10.3389/fphar.2022.816683. eCollection 2022.

DOI:10.3389/fphar.2022.816683
PMID:35873553
原文链接:https://pmc.ncbi.nlm.nih.gov/articles/PMC9299059/
Abstract

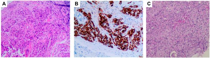
Alectinib, a highly selective inhibitor of ALK, is currently used in the first-line setting of untreated advanced ALK-positive NSCLC and in the second-line setting of crizotinib-resistant ALK-positive NSCLC. Despite promising efficacy and tolerability in the treatment of advanced ALK-positive NSCLC, the activity of alectinib as neoadjuvant therapy in resectable ALK-positive NSCLC remains to be investigated. Herein, we report a case of a 58-year-old female patient presented to our hospital with hemoptysis for 1 month. Contrast-enhanced computerized tomography (CT) of the chest showed an approximately 4.2 × 3.4 cm mass in the right hilum with localized obstructive pneumonia in the right lower lobe and multiple enlarged lymph nodes in the right hilum and mediastinum. Serum oncological markers results showed elevated levels of CA19-9, CEA, CA125, and CA242. Bronchoscopic biopsy of the mass showed poorly differentiated pulmonary adenocarcinoma and immunohistochemical testing results confirmed ALK positivity. Neoadjuvant alectinib was given at a dosage of 600 mg twice per day for two cycles (56 days), achieving a partial response of the disease with 90% shrinkage of the mass at the subsequent whole-body positron emission tomography. Repeat serum oncological markers results showed that only CA125 was elevated, but lower than before therapy. A bilobectomy of the right middle and lower lobes and systemic lymphadectomy under video-assisted thoracoscopic approach was successfully performed 7 days after the last dose of alectinib. Postoperative pathology showed pathological complete response (pCR). The patient experienced an uneventful postoperative course and continued to receive alectinib and did not report any specific discomfort at her 8-month follow-up. Thoracoabdominal CT at 8 months postoperatively showed no recurrence and repeated examination of serum oncological markers were negative. We report a case of resectable ALK-positive NSCLC treated with neoadjuvant aletinib achieving pCR. Our case highlights the feasibility of alectinib as neoadjuvant therapy for the treatment of resectable ALK-positive NSCLC. Undoubtedly, the safety and efficacy of this novel treatment modality needs to be explored in future large clinical trials.

摘要

阿来替尼是一种高度选择性的ALK抑制剂,目前用于未经治疗的晚期ALK阳性非小细胞肺癌(NSCLC)的一线治疗以及克唑替尼耐药的ALK阳性NSCLC的二线治疗。尽管阿来替尼在治疗晚期ALK阳性NSCLC方面具有令人鼓舞的疗效和耐受性,但其作为可切除的ALK阳性NSCLC新辅助治疗的活性仍有待研究。在此,我们报告一例58岁女性患者,因咯血1个月就诊于我院。胸部增强计算机断层扫描(CT)显示右肺门有一个约4.2×3.4 cm的肿块,右下叶有局限性阻塞性肺炎,右肺门和纵隔有多个肿大淋巴结。血清肿瘤标志物结果显示CA19-9、癌胚抗原(CEA)、CA125和CA242水平升高。肿块的支气管镜活检显示为低分化肺腺癌,免疫组化检测结果证实ALK阳性。给予阿来替尼新辅助治疗,剂量为600 mg,每日两次,共两个周期(56天),在随后的全身正电子发射断层扫描中疾病获得部分缓解,肿块缩小90%。重复血清肿瘤标志物结果显示只有CA125升高,但低于治疗前。在最后一剂阿来替尼7天后,成功通过电视辅助胸腔镜手术进行了右中、下叶双叶切除术和系统性淋巴结清扫术。术后病理显示病理完全缓解(pCR)。患者术后恢复顺利,继续接受阿来替尼治疗,在8个月的随访中未报告任何特殊不适。术后8个月的胸腹部CT显示无复发,血清肿瘤标志物复查为阴性。我们报告一例接受阿来替尼新辅助治疗达到pCR的可切除ALK阳性NSCLC病例。我们的病例突出了阿来替尼作为可切除ALK阳性NSCLC新辅助治疗的可行性。毫无疑问,这种新型治疗方式的安全性和有效性需要在未来的大型临床试验中进行探索。

https://cdn.ncbi.nlm.nih.gov/pmc/blobs/a26b/9299059/22c513d156de/fphar-13-816683-g003.jpg
https://cdn.ncbi.nlm.nih.gov/pmc/blobs/a26b/9299059/7e93d2df8f43/fphar-13-816683-g001.jpg
https://cdn.ncbi.nlm.nih.gov/pmc/blobs/a26b/9299059/ec7c114db4ec/fphar-13-816683-g002.jpg
https://cdn.ncbi.nlm.nih.gov/pmc/blobs/a26b/9299059/22c513d156de/fphar-13-816683-g003.jpg
https://cdn.ncbi.nlm.nih.gov/pmc/blobs/a26b/9299059/7e93d2df8f43/fphar-13-816683-g001.jpg
https://cdn.ncbi.nlm.nih.gov/pmc/blobs/a26b/9299059/ec7c114db4ec/fphar-13-816683-g002.jpg
https://cdn.ncbi.nlm.nih.gov/pmc/blobs/a26b/9299059/22c513d156de/fphar-13-816683-g003.jpg

相似文献

1
Case Report: Pathological Complete Response to Neoadjuvant Alectinib in a Patient With Resectable ALK-Positive Non-Small Cell Lung Cancer.病例报告:可切除的ALK阳性非小细胞肺癌患者对新辅助阿来替尼治疗的病理完全缓解
Front Pharmacol. 2022 Jul 6;13:816683. doi: 10.3389/fphar.2022.816683. eCollection 2022.
2
Phase II, Open-label, Single-arm, Multicenter Study to Assess the Activity and Safety of Alectinib as Neoadjuvant Treatment in Surgically Resectable Stage III ALK-positive NSCLC: ALNEO Trial.Ⅱ期、开放标签、单臂、多中心研究,评估阿来替尼作为可手术切除 III 期 ALK 阳性 NSCLC 的新辅助治疗的疗效和安全性:ALNEO 试验。
Clin Lung Cancer. 2021 Sep;22(5):473-477. doi: 10.1016/j.cllc.2021.02.014. Epub 2021 Feb 24.
3
Pathological complete response to long-course neoadjuvant alectinib in lung adenocarcinoma with EML4-ALK rearrangement: report of two cases and systematic review of case reports.EML4-ALK重排的肺腺癌对长疗程新辅助阿来替尼的病理完全缓解:2例报告及病例报告的系统评价
Front Oncol. 2023 Jun 20;13:1120511. doi: 10.3389/fonc.2023.1120511. eCollection 2023.
4
Pathological complete response to neoadjuvant alectinib in unresectable anaplastic lymphoma kinase positive non-small cell lung cancer: A case report.不可切除的间变性淋巴瘤激酶阳性非小细胞肺癌对新辅助阿来替尼的病理完全缓解:一例报告
World J Clin Cases. 2023 Aug 6;11(22):5322-5328. doi: 10.12998/wjcc.v11.i22.5322.
5
Left total pneumonectomy performed after alectinib treatment for anaplastic lymphoma kinase-positive lung adenocarcinoma: a case report.阿来替尼治疗间变性淋巴瘤激酶阳性肺腺癌后行左全肺切除术:一例报告
Chin Clin Oncol. 2023 Dec;12(6):70. doi: 10.21037/cco-23-111.
6
Feasibility and Safety of Neoadjuvant Alectinib in Pulmonary Invasive Mucinous Adenocarcinoma with ALK Rearrangement: Case Report and Literature Review.新辅助阿来替尼治疗ALK重排的肺浸润性黏液腺癌的可行性和安全性:病例报告及文献综述
Onco Targets Ther. 2021 Oct 21;14:5107-5113. doi: 10.2147/OTT.S334213. eCollection 2021.
7
Pathological complete response to neoadjuvant lorlatinib in a patient with stage IIIA -positive non-small cell lung cancer: a case report.III A期阳性非小细胞肺癌患者对新辅助洛拉替尼的病理完全缓解:一例报告
Transl Lung Cancer Res. 2024 Jul 30;13(7):1742-1748. doi: 10.21037/tlcr-24-112. Epub 2024 Jul 11.
8
Safety and activity of alectinib against systemic disease and brain metastases in patients with crizotinib-resistant ALK-rearranged non-small-cell lung cancer (AF-002JG): results from the dose-finding portion of a phase 1/2 study.克唑替尼耐药的间变性淋巴瘤激酶(ALK)重排非小细胞肺癌(NSCLC)患者中艾乐替尼针对全身疾病和脑转移的安全性和活性:一项 1/2 期研究剂量探索部分的结果。
Lancet Oncol. 2014 Sep;15(10):1119-28. doi: 10.1016/S1470-2045(14)70362-6. Epub 2014 Aug 18.
9
Perioperative alectinib in a patient with locally advanced anaplastic lymphoma kinase positive non-small cell lung cancer (NSCLC): a case report.局部晚期间变性淋巴瘤激酶阳性非小细胞肺癌(NSCLC)患者围手术期使用阿来替尼:一例报告
Transl Cancer Res. 2021 Aug;10(8):3856-3863. doi: 10.21037/tcr-21-642.
10
Case Report: ALK rearranged locally advanced lung adenocarcinoma showing inconsistent radiographic findings and pathological responses during neoadjuvant alectinib therapy.病例报告:间变性淋巴瘤激酶(ALK)重排的局部晚期肺腺癌在新辅助阿来替尼治疗期间表现出不一致的影像学表现和病理反应。
Front Pharmacol. 2023 Aug 17;14:1140894. doi: 10.3389/fphar.2023.1140894. eCollection 2023.

引用本文的文献

1
Case Report: A novel ELMOD3-ALK and EML4-ALK double-fusion responses to neoadjuvant alectinib in a lung adenocarcinoma patient.病例报告:一名肺腺癌患者中新型ELMOD3-ALK和EML4-ALK双融合对新辅助阿来替尼的反应
Front Pharmacol. 2025 Apr 14;16:1515826. doi: 10.3389/fphar.2025.1515826. eCollection 2025.
2
Ensartinib as a neoadjuvant therapy for stage IIIA non-small cell lung cancer patients with EML4-ALK fusion: a case report and literature review.恩莎替尼作为伴有EML4-ALK融合的IIIA期非小细胞肺癌患者的新辅助治疗:一例报告及文献综述
Front Oncol. 2025 Feb 25;15:1474997. doi: 10.3389/fonc.2025.1474997. eCollection 2025.
3

本文引用的文献

1
Pathological complete response to neoadjuvant ceritinib of a crizotinib-resistant, stage IIIB non-small cell lung cancer with ALK rearrangement: A case report.ALK 重排的克唑替尼耐药 IIIB 期非小细胞肺癌新辅助塞瑞替尼治疗达到病理完全缓解:1 例报告。
Thorac Cancer. 2021 Jul;12(14):2130-2133. doi: 10.1111/1759-7714.14045. Epub 2021 Jun 9.
2
Phase II, Open-label, Single-arm, Multicenter Study to Assess the Activity and Safety of Alectinib as Neoadjuvant Treatment in Surgically Resectable Stage III ALK-positive NSCLC: ALNEO Trial.Ⅱ期、开放标签、单臂、多中心研究,评估阿来替尼作为可手术切除 III 期 ALK 阳性 NSCLC 的新辅助治疗的疗效和安全性:ALNEO 试验。
Clin Lung Cancer. 2021 Sep;22(5):473-477. doi: 10.1016/j.cllc.2021.02.014. Epub 2021 Feb 24.
3
Alectinib in Early-Stage Anaplastic Lymphoma Kinase-Positive Non-Small Cell Lung Cancer: Current Evidence and Future Challenges.
阿来替尼用于早期间变性淋巴瘤激酶阳性非小细胞肺癌:当前证据与未来挑战
Cancers (Basel). 2024 Jul 22;16(14):2610. doi: 10.3390/cancers16142610.
4
Pathological complete response to neoadjuvant alectinib in unresectable anaplastic lymphoma kinase positive non-small cell lung cancer: A case report.不可切除的间变性淋巴瘤激酶阳性非小细胞肺癌对新辅助阿来替尼的病理完全缓解:一例报告
World J Clin Cases. 2023 Aug 6;11(22):5322-5328. doi: 10.12998/wjcc.v11.i22.5322.
5
Pathological complete response to long-course neoadjuvant alectinib in lung adenocarcinoma with EML4-ALK rearrangement: report of two cases and systematic review of case reports.EML4-ALK重排的肺腺癌对长疗程新辅助阿来替尼的病理完全缓解:2例报告及病例报告的系统评价
Front Oncol. 2023 Jun 20;13:1120511. doi: 10.3389/fonc.2023.1120511. eCollection 2023.
6
Case report: Complete pathological admission in N3 unresectable locally advanced lung adenocarcinoma with a novel INTS10-ALK and EML4-ALK fusion after neoadjuvant crizotinib.病例报告:新辅助克唑替尼治疗后,N3期不可切除局部晚期肺腺癌出现新型INTS10-ALK和EML4-ALK融合基因,病理完全缓解。
Front Oncol. 2023 Mar 29;13:1104910. doi: 10.3389/fonc.2023.1104910. eCollection 2023.
7
Precision Surgery in NSCLC.非小细胞肺癌的精准手术
Cancers (Basel). 2023 Mar 3;15(5):1571. doi: 10.3390/cancers15051571.
Neoadjuvant treatment of stage IIIA-N2 in -Mutant/-rearranged non-small cell lung cancer.III A-N2期EGFR突变/ALK重排非小细胞肺癌的新辅助治疗
Transl Lung Cancer Res. 2021 Jan;10(1):607-621. doi: 10.21037/tlcr-20-780.
4
Global Cancer Statistics 2020: GLOBOCAN Estimates of Incidence and Mortality Worldwide for 36 Cancers in 185 Countries.《全球癌症统计数据 2020:全球 185 个国家和地区 36 种癌症的发病率和死亡率估计》。
CA Cancer J Clin. 2021 May;71(3):209-249. doi: 10.3322/caac.21660. Epub 2021 Feb 4.
5
Feasibility and Safety of Neoadjuvant Alectinib in a Patient With ALK-Positive Locally Advanced NSCLC.新辅助阿来替尼治疗ALK阳性局部晚期非小细胞肺癌患者的可行性和安全性
J Thorac Oncol. 2020 Jun;15(6):e95-e99. doi: 10.1016/j.jtho.2019.12.133.
6
Gefitinib as neoadjuvant therapy for resectable stage II-IIIA non-small cell lung cancer: A phase II study.吉非替尼作为可切除 II-IIIA 期非小细胞肺癌的新辅助治疗:一项 II 期研究。
J Thorac Cardiovasc Surg. 2021 Feb;161(2):434-442.e2. doi: 10.1016/j.jtcvs.2020.02.131. Epub 2020 Mar 19.
7
Neoadjuvant Crizotinib in Resectable Locally Advanced Non-Small Cell Lung Cancer with ALK Rearrangement.局部晚期可切除非小细胞肺癌伴 ALK 重排患者的新辅助克唑替尼治疗。
J Thorac Oncol. 2019 Apr;14(4):726-731. doi: 10.1016/j.jtho.2018.10.161. Epub 2018 Nov 5.
8
Alectinib versus Crizotinib in Untreated ALK-Positive Non-Small-Cell Lung Cancer.阿来替尼对比克唑替尼用于未经治疗的 ALK 阳性非小细胞肺癌。
N Engl J Med. 2017 Aug 31;377(9):829-838. doi: 10.1056/NEJMoa1704795. Epub 2017 Jun 6.
9
Alectinib versus crizotinib in patients with ALK-positive non-small-cell lung cancer (J-ALEX): an open-label, randomised phase 3 trial.阿来替尼对比克唑替尼用于治疗 ALK 阳性非小细胞肺癌患者(J-ALEX):一项开放标签、随机、III 期临床试验。
Lancet. 2017 Jul 1;390(10089):29-39. doi: 10.1016/S0140-6736(17)30565-2. Epub 2017 May 10.
10
Cancer statistics in China, 2015.《中国癌症统计数据 2015》
CA Cancer J Clin. 2016 Mar-Apr;66(2):115-32. doi: 10.3322/caac.21338. Epub 2016 Jan 25.