• 文献检索
  • 文档翻译
  • 深度研究
  • 学术资讯
  • Suppr Zotero 插件Zotero 插件
  • 邀请有礼
  • 套餐&价格
  • 历史记录
应用&插件
Suppr Zotero 插件Zotero 插件浏览器插件Mac 客户端Windows 客户端微信小程序
定价
高级版会员购买积分包购买API积分包
服务
文献检索文档翻译深度研究API 文档MCP 服务
关于我们
关于 Suppr公司介绍联系我们用户协议隐私条款
关注我们

Suppr 超能文献

核心技术专利:CN118964589B侵权必究
粤ICP备2023148730 号-1Suppr @ 2026

文献检索

告别复杂PubMed语法,用中文像聊天一样搜索,搜遍4000万医学文献。AI智能推荐,让科研检索更轻松。

立即免费搜索

文件翻译

保留排版,准确专业,支持PDF/Word/PPT等文件格式,支持 12+语言互译。

免费翻译文档

深度研究

AI帮你快速写综述,25分钟生成高质量综述,智能提取关键信息,辅助科研写作。

立即免费体验

病例报告:大动脉转位合并新型冠状动脉解剖结构的新生儿围手术期决策挑战

Case Report: Challenging Perioperative Decision-Making in a Neonate With Transposition of Great Arteries and Novel Coronary Anatomy.

作者信息

Chegondi Madhuradhar, Ricci Marco, Ashwath Ravi C

机构信息

Division of Critical Care Medicine, Stead Family Children's Hospital & Department of Pediatrics, Carver College of Medicine, University of Iowa, Iowa City, IA, United States.

Division of Pediatric Cardiac Surgery, Stead Family Children's Hospital, Iowa City, IA, United States.

出版信息

Front Pediatr. 2022 Jul 6;10:900142. doi: 10.3389/fped.2022.900142. eCollection 2022.

DOI:10.3389/fped.2022.900142
PMID:35874587
原文链接:https://pmc.ncbi.nlm.nih.gov/articles/PMC9298846/
Abstract

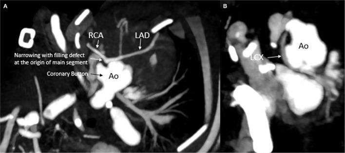
Transposition of great arteries (d-TGA) is often associated with various coronary artery (CA) patterns. These anomalous patterns can cause variable clinical symptoms of coronary ischemia including sudden death. CA pattern is one of the major determinants of outcome in TGA postoperatively. An advanced cardiac imaging and a multidisciplinary care approach are essential for a favorable outcome. Here, we describe a novel CA origin pattern in a neonate with d-TGA, who developed myocardial ischemia and required a coronary unroofing procedure for a full recovery.

摘要

大动脉转位(d-TGA)常与多种冠状动脉(CA)形态相关。这些异常形态可导致包括猝死在内的冠状动脉缺血的不同临床症状。CA形态是d-TGA术后预后的主要决定因素之一。先进的心脏成像和多学科护理方法对于取得良好预后至关重要。在此,我们描述了一名患有d-TGA的新生儿中一种新的CA起源形态,该患儿发生了心肌缺血,需要进行冠状动脉开窗术才能完全康复。

https://cdn.ncbi.nlm.nih.gov/pmc/blobs/a21d/9298846/455b243221f6/fped-10-900142-g0004.jpg
https://cdn.ncbi.nlm.nih.gov/pmc/blobs/a21d/9298846/1ff2721e4d78/fped-10-900142-g0001.jpg
https://cdn.ncbi.nlm.nih.gov/pmc/blobs/a21d/9298846/77288b5602ee/fped-10-900142-g0002.jpg
https://cdn.ncbi.nlm.nih.gov/pmc/blobs/a21d/9298846/1c8cd3e47d4b/fped-10-900142-g0003.jpg
https://cdn.ncbi.nlm.nih.gov/pmc/blobs/a21d/9298846/455b243221f6/fped-10-900142-g0004.jpg
https://cdn.ncbi.nlm.nih.gov/pmc/blobs/a21d/9298846/1ff2721e4d78/fped-10-900142-g0001.jpg
https://cdn.ncbi.nlm.nih.gov/pmc/blobs/a21d/9298846/77288b5602ee/fped-10-900142-g0002.jpg
https://cdn.ncbi.nlm.nih.gov/pmc/blobs/a21d/9298846/1c8cd3e47d4b/fped-10-900142-g0003.jpg
https://cdn.ncbi.nlm.nih.gov/pmc/blobs/a21d/9298846/455b243221f6/fped-10-900142-g0004.jpg

相似文献

1
Case Report: Challenging Perioperative Decision-Making in a Neonate With Transposition of Great Arteries and Novel Coronary Anatomy.病例报告:大动脉转位合并新型冠状动脉解剖结构的新生儿围手术期决策挑战
Front Pediatr. 2022 Jul 6;10:900142. doi: 10.3389/fped.2022.900142. eCollection 2022.
2
Commissural malalignment of aortic-pulmonary sinus in complete transposition of great arteries.
Ann Thorac Surg. 2003 Dec;76(6):1906-10. doi: 10.1016/s0003-4975(03)01068-3.
3
[A successful modified Aubert procedure for transposition of the great arteries with a special coronary artery pattern--a case report].[一种成功的改良奥伯特手术治疗特殊冠状动脉模式的大动脉转位——病例报告]
Nihon Kyobu Geka Gakkai Zasshi. 1995 Feb;43(2):281-5.
4
Coronary artery pattern and outcome of arterial switch operation for transposition of the great arteries.大动脉转位动脉调转术的冠状动脉形态及手术结果
Circulation. 1990 Nov;82(5 Suppl):IV139-45.
5
Double intramural coronary arteries in D-transposition of the great arteries.大动脉D型转位中的双壁内冠状动脉
Ann Thorac Surg. 2004 Dec;78(6):2181-3. doi: 10.1016/S0003-4975(03)01532-7.
6
Coronary artery anatomy in complete transposition of the great arteries.大动脉完全转位时的冠状动脉解剖结构。
Ann Thorac Surg. 1994 Apr;57(4):890-4. doi: 10.1016/0003-4975(94)90196-1.
7
Anatomical factors determining surgical decision-making in patients with transposition of the great arteries with left ventricular outflow tract obstruction.解剖因素决定大动脉转位合并左心室流出道梗阻患者的手术决策。
Eur J Cardiothorac Surg. 2013 Dec;44(6):1085-94; discussion 1094. doi: 10.1093/ejcts/ezt283. Epub 2013 Jun 25.
8
Complete unroofing of the intramural coronary artery for anomalous aortic origin of a coronary artery: The role of commissural resuspension?完全去除腔内冠状动脉用于冠状动脉异常起源于主动脉:叉状悬带的作用?
J Thorac Cardiovasc Surg. 2019 Jul;158(1):208-217.e2. doi: 10.1016/j.jtcvs.2019.01.140. Epub 2019 Mar 2.
9
Diagnosis of coronary artery anatomy by two-dimensional echocardiography in patients with transposition of the great arteries.大动脉转位患者二维超声心动图对冠状动脉解剖结构的诊断
Circulation. 1987 Mar;75(3):557-64. doi: 10.1161/01.cir.75.3.557.
10
Outcomes in Anomalous Aortic Origin of a Coronary Artery Following a Prospective Standardized Approach.经前瞻性标准化方法治疗后,冠状动脉异常起源的结果。
Circ Cardiovasc Interv. 2020 Feb;13(2):e008445. doi: 10.1161/CIRCINTERVENTIONS.119.008445. Epub 2020 Feb 13.

引用本文的文献

1
Outcomes of the modified Yacoub aortocoronary flap technique for 'non-separable' single sinus coronary arteries with intramural course in the neonatal arterial switch operation.改良的 Yacoub 主动脉冠状动脉瓣技术在新生儿动脉转换手术中用于“不可分离”的单一窦冠状动脉伴壁内行程的结果。
Eur J Cardiothorac Surg. 2023 May 2;63(5). doi: 10.1093/ejcts/ezad029.

本文引用的文献

1
Clinical Outcome of Patients with Transposition of the Great Arteries and Intramural Coronary Artery.大动脉转位伴冠状动脉畸形患者的临床转归。
Pediatr Cardiol. 2021 Feb;42(2):417-424. doi: 10.1007/s00246-020-02499-5. Epub 2021 Feb 16.
2
Value of preoperative echocardiography for the diagnosis of coronary artery patterns in neonates with transposition of the great arteries.术前超声心动图在诊断大动脉转位新生儿冠状动脉形态中的价值。
Arch Cardiovasc Dis. 2021 Feb;114(2):115-121. doi: 10.1016/j.acvd.2020.06.005. Epub 2020 Oct 14.
3
Intramural coronary pattern in patients with transposition: incidence and impact on follow-up.
大动脉转位患者的壁内冠状动脉形态:发生率及其对随访的影响。
Eur J Cardiothorac Surg. 2020 Jul 1;58(1):145-152. doi: 10.1093/ejcts/ezaa021.
4
Coronary artery anomalies overview: The normal and the abnormal.冠状动脉异常概述:正常与异常情况
World J Radiol. 2016 Jun 28;8(6):537-55. doi: 10.4329/wjr.v8.i6.537.
5
Arterial Switch Operation With and Without Coronary Relocation for Intramural Coronary Arteries.
Ann Thorac Surg. 2016 Oct;102(4):1353-9. doi: 10.1016/j.athoracsur.2016.03.031. Epub 2016 May 19.
6
Coronary Arteries in Childhood Heart Disease: Implications for Management of Young Adults.儿童心脏病中的冠状动脉:对年轻成年人管理的影响
J Clin Exp Cardiolog. 2012 Jun 15(Suppl 8). doi: 10.4172/2155-9880.S8-006.
7
Arterial Switch Operation in Patients with Intramural Coronary Artery: Early and Mid-term Results.壁内冠状动脉患者的动脉调转手术:早期和中期结果
Korean J Thorac Cardiovasc Surg. 2011 Apr;44(2):115-22. doi: 10.5090/kjtcs.2011.44.2.115. Epub 2011 Apr 14.
8
Intramural coronary arteries and outcome of neonatal arterial switch operation.心室内冠状动脉与新生儿动脉调转术的预后。
Eur J Cardiothorac Surg. 2010 Jun;37(6):1246-53. doi: 10.1016/j.ejcts.2009.12.042. Epub 2010 Feb 12.
9
Cardiac outcome up to 15 years after the arterial switch operation.
Heart Lung Circ. 2008 Feb;17(1):48-53. doi: 10.1016/j.hlc.2007.06.523. Epub 2007 Jul 31.
10
Coronary artery anomalies: an entity in search of an identity.冠状动脉异常:一个寻求明确身份的实体。
Circulation. 2007 Mar 13;115(10):1296-305. doi: 10.1161/CIRCULATIONAHA.106.618082.