Suppr超能文献

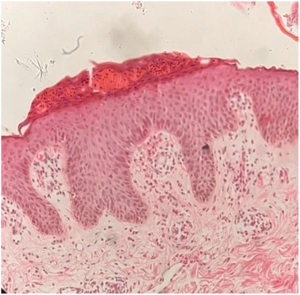
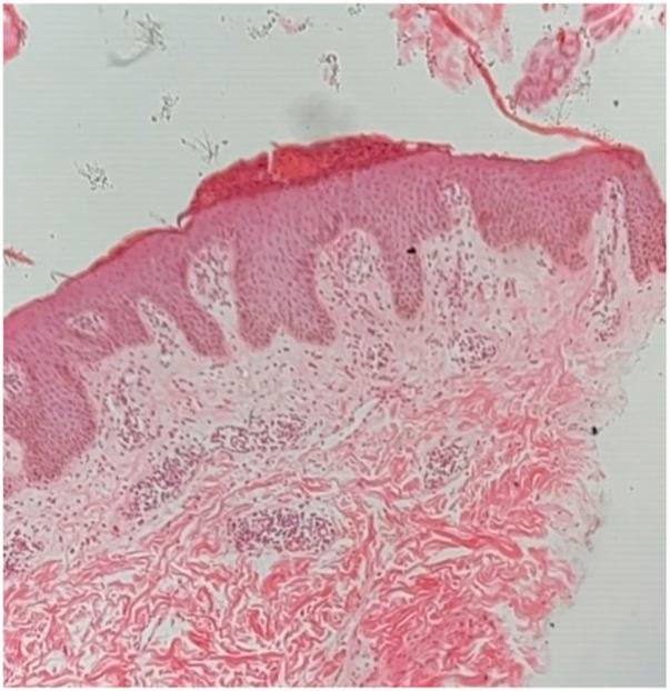
Pityriasis lichenoides chronica induced by COVID-19 messenger RNA vaccination.

作者信息

Al Muqrin Abdullah M, Alruwaili Ziyad Muharib N

机构信息

Dermatology, Prince Mohammed Medical City, AlJowf, Saudi Arabia.

College of Medicine, Jouf University, AlJowf, Saudi Arabia.

出版信息

JAAD Case Rep. 2022 Sep;27:52-54. doi: 10.1016/j.jdcr.2022.07.017. Epub 2022 Jul 19.

Abstract
摘要
https://cdn.ncbi.nlm.nih.gov/pmc/blobs/938c/9399407/b4a577ade2d6/gr1.jpg

文献AI研究员

20分钟写一篇综述,助力文献阅读效率提升50倍。

立即体验

用中文搜PubMed

大模型驱动的PubMed中文搜索引擎

马上搜索

文档翻译

学术文献翻译模型,支持多种主流文档格式。

立即体验