• 文献检索
  • 文档翻译
  • 深度研究
  • 学术资讯
  • Suppr Zotero 插件Zotero 插件
  • 邀请有礼
  • 套餐&价格
  • 历史记录
应用&插件
Suppr Zotero 插件Zotero 插件浏览器插件Mac 客户端Windows 客户端微信小程序
定价
高级版会员购买积分包购买API积分包
服务
文献检索文档翻译深度研究API 文档MCP 服务
关于我们
关于 Suppr公司介绍联系我们用户协议隐私条款
关注我们

Suppr 超能文献

核心技术专利:CN118964589B侵权必究
粤ICP备2023148730 号-1Suppr @ 2026

文献检索

告别复杂PubMed语法,用中文像聊天一样搜索,搜遍4000万医学文献。AI智能推荐,让科研检索更轻松。

立即免费搜索

文件翻译

保留排版,准确专业,支持PDF/Word/PPT等文件格式,支持 12+语言互译。

免费翻译文档

深度研究

AI帮你快速写综述,25分钟生成高质量综述,智能提取关键信息,辅助科研写作。

立即免费体验

通过栓塞供血动脉和引流静脉治疗胸壁体动脉-肺动脉血管畸形:一例报告

Chest wall systemic artery-to-pulmonary artery vascular malformation treated by embolization of feeders and drainers: A case report.

作者信息

Onishi Motofumi, Onishi Yasuyuki, Yasumura Sumika, Nakai Hirotsugu, Hamasaki Maki, Miyake Makoto, Taniguchi Takanori

机构信息

Department of Radiology, Tenri Hospital, 200 Mishimacho, Tenri, Nara 632-8552, Japan.

Department of Cardiology, Tenri Hospital, Tenri, Japan.

出版信息

Radiol Case Rep. 2022 Jul 21;17(9):3395-3398. doi: 10.1016/j.radcr.2022.06.082. eCollection 2022 Sep.

DOI:10.1016/j.radcr.2022.06.082
PMID:35880239
原文链接:https://pmc.ncbi.nlm.nih.gov/articles/PMC9307446/
Abstract

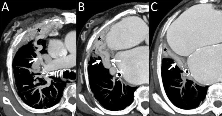
A 74-year-old woman presented with progressive dyspnea. Computed tomography revealed a large systemic artery-to-pulmonary artery vascular malformation (VM) on the right chest wall. Embolization of the VM was performed. First, the main drainers of the VM were retrogradely selected from the segmental pulmonary arteries and embolized using microcoils. Second, 2 main feeders of the VM were selected and embolized with N-butyl cyanoacrylate. Thus, marked flow reduction in the VM was achieved, and the patient's symptom improved dramatically. We believe that embolization of both feeders and drainers is an effective technique for treatment of a chest wall systemic artery-to-pulmonary artery VM.

摘要

一名74岁女性因进行性呼吸困难就诊。计算机断层扫描显示右胸壁存在一个大型体动脉至肺动脉血管畸形(VM)。对该VM进行了栓塞治疗。首先,从肺段动脉逆行选择VM的主要引流血管,并用微线圈进行栓塞。其次,选择VM的2条主要供血血管,用氰基丙烯酸正丁酯进行栓塞。由此,VM内的血流显著减少,患者症状明显改善。我们认为,对供血血管和引流血管同时进行栓塞是治疗胸壁体动脉至肺动脉VM的有效技术。

https://cdn.ncbi.nlm.nih.gov/pmc/blobs/004a/9307446/6e7a1ab76ea2/gr3.jpg
https://cdn.ncbi.nlm.nih.gov/pmc/blobs/004a/9307446/76b953739363/gr1.jpg
https://cdn.ncbi.nlm.nih.gov/pmc/blobs/004a/9307446/5a85b65dc52b/gr2.jpg
https://cdn.ncbi.nlm.nih.gov/pmc/blobs/004a/9307446/6e7a1ab76ea2/gr3.jpg
https://cdn.ncbi.nlm.nih.gov/pmc/blobs/004a/9307446/76b953739363/gr1.jpg
https://cdn.ncbi.nlm.nih.gov/pmc/blobs/004a/9307446/5a85b65dc52b/gr2.jpg
https://cdn.ncbi.nlm.nih.gov/pmc/blobs/004a/9307446/6e7a1ab76ea2/gr3.jpg

相似文献

1
Chest wall systemic artery-to-pulmonary artery vascular malformation treated by embolization of feeders and drainers: A case report.通过栓塞供血动脉和引流静脉治疗胸壁体动脉-肺动脉血管畸形:一例报告
Radiol Case Rep. 2022 Jul 21;17(9):3395-3398. doi: 10.1016/j.radcr.2022.06.082. eCollection 2022 Sep.
2
Transcranial color-coded Doppler assessment of cerebral arteriovenous malformation hemodynamics in patients treated surgically or with staged embolization.经颅彩色编码多普勒对接受手术或分期栓塞治疗的脑动静脉畸形患者的血流动力学评估
Clin Neurol Neurosurg. 2014 Jan;116:46-53. doi: 10.1016/j.clineuro.2013.11.001. Epub 2013 Nov 13.
3
Percutaneous embolization using a combination of liquid embolic agents for the treatment of a large disfiguring venous malformation.使用液体栓塞剂联合进行经皮栓塞治疗大型毁容性静脉畸形。
J Vasc Surg Cases Innov Tech. 2020 Apr 13;6(2):168-171. doi: 10.1016/j.jvscit.2020.01.018. eCollection 2020 Jun.
4
Endovascular Treatment of a Systemic-to-Pulmonary Artery Fistula: A Case Report.体循环至肺动脉瘘的血管内治疗:一例报告
Taehan Yongsang Uihakhoe Chi. 2021 May;82(3):682-687. doi: 10.3348/jksr.2020.0102. Epub 2021 Mar 22.
5
Iatrogenic pulmonary artery perforation associated with 5-Fr catheter manipulation during pulmonary arteriovenous malformation embolization with a vascular plug.在使用血管封堵器进行肺动静脉畸形栓塞术期间,5F导管操作相关的医源性肺动脉穿孔。
Radiol Case Rep. 2022 Jan 18;17(3):970-973. doi: 10.1016/j.radcr.2021.12.054. eCollection 2022 Mar.
6
Single-stage embolization with n-butyl cyanoacrylate and surgical resection of venous malformations.单纯使用氰基丙烯酸正丁酯栓塞术联合静脉畸形切除术治疗静脉畸形。
Pediatr Blood Cancer. 2020 Mar;67(3):e28029. doi: 10.1002/pbc.28029. Epub 2019 Nov 20.
7
Debating the embolization of a large aberrant systemic artery for pulmonary sequestration using an Amplatzer duct occluder: a case report and literature review.探讨使用 Amplatzer 导管封堵器栓塞肺隔离症的大型异常体动脉:病例报告及文献复习。
Cardiol Young. 2022 Feb;32(2):331-336. doi: 10.1017/S1047951121002924. Epub 2021 Jul 29.
8
Triple-balloon-assisted -butyl-2-cyanoacrylate embolization of a cirsoid renal arteriovenous malformation.三球囊辅助 - 氰基丙烯酸正丁酯栓塞治疗蔓状肾动静脉畸形
Vasa. 2020 Mar;49(2):147-150. doi: 10.1024/0301-1526/a000817. Epub 2019 Aug 15.
9
Secondary systemic artery to pulmonary artery and pulmonary vein fistulas following the video-assisted thoracic surgery for pneumothorax: a case report.电视辅助胸腔镜手术治疗气胸后出现的继发性体循环动脉至肺动脉及肺静脉瘘:一例报告
Surg Case Rep. 2018 Jan 2;4(1):1. doi: 10.1186/s40792-017-0407-y.
10
Emergent embolization of a ruptured splenic artery aneurysm complicating Menkes disease.孟德尔病并发脾动脉动脉瘤破裂的急诊栓塞治疗
Radiol Case Rep. 2018 Sep 23;13(6):1267-1270. doi: 10.1016/j.radcr.2018.08.032. eCollection 2018 Dec.

引用本文的文献

1
Endovascular embolization of a congenital inferior phrenic artery-to-pulmonary arteriovenous malformation: a rare case report.先天性膈下动脉-肺动静脉畸形的血管内栓塞治疗:一例罕见病例报告。
BMC Pulm Med. 2024 Oct 14;24(1):513. doi: 10.1186/s12890-024-03324-y.

本文引用的文献

1
Transpleural systemic artery-to-pulmonary artery communications in the absence of chronic inflammatory lung disease. A case series and review of the literature.慢性炎症性肺疾病患者中未见的经胸系统性动脉至肺动脉交通。病例系列及文献复习。
Clin Radiol. 2021 Sep;76(9):711.e9-711.e15. doi: 10.1016/j.crad.2021.03.016. Epub 2021 Apr 23.
2
New Treatment Approaches to Arteriovenous Malformations.动静脉畸形的新治疗方法
Semin Intervent Radiol. 2017 Sep;34(3):258-271. doi: 10.1055/s-0037-1604299. Epub 2017 Sep 11.
3
Embolization techniques for high-flow arteriovenous malformations with a dominant outflow vein.
具有主要引流静脉的高流量动静脉畸形的栓塞技术
J Vasc Surg Venous Lymphat Disord. 2015 Apr;3(2):178-83. doi: 10.1016/j.jvsv.2014.12.003. Epub 2015 Feb 11.
4
Ethanolamine oleate sclerotherapy combined with transarterial embolization using n-butyl cyanoacrylate for extracranial arteriovenous malformations.油酸乙醇胺硬化疗法联合使用氰基丙烯酸正丁酯进行经动脉栓塞治疗颅外动静脉畸形
Cardiovasc Intervent Radiol. 2014 Apr;37(2):371-80. doi: 10.1007/s00270-013-0653-8. Epub 2013 Jun 5.
5
Systemic artery to pulmonary artery fistula associated with mitral regurgitation: successful treatment with endovascular embolization.与二尖瓣反流相关的体动脉至肺动脉瘘:经血管内栓塞成功治疗
Cardiovasc Intervent Radiol. 2008 Jul;31 Suppl 2:S99-103. doi: 10.1007/s00270-007-9241-0. Epub 2007 Nov 27.
6
Unusual systemic artery to pulmonary artery malformation without evidence of systemic disease, trauma or surgery.罕见的体循环动脉至肺动脉畸形,无全身性疾病、创伤或手术史。
Cardiovasc Intervent Radiol. 2006 Sep-Oct;29(5):897-901. doi: 10.1007/s00270-004-0289-9.
7
Nontraumatic chest wall systemic-to-pulmonary artery fistula.非创伤性胸壁体循环至肺动脉瘘
Ann Thorac Surg. 2005 May;79(5):e29-31. doi: 10.1016/j.athoracsur.2005.01.035.
8
Transcatheter coil embolization of an intercostal artery to pulmonary artery fistula.经导管线圈栓塞肋间动脉至肺动脉瘘。
Eur Radiol. 2002 Feb;12(2):454-7. doi: 10.1007/s003300100974. Epub 2001 Jun 26.
9
Arteriovenous malformations and systemic lung supply: evaluation by multidetector CT and three-dimensional volume rendering.动静脉畸形与体肺循环供血:多层螺旋CT及三维容积成像评估
AJR Am J Roentgenol. 2002 Feb;178(2):493-5. doi: 10.2214/ajr.178.2.1780493.
10
Treatment of high-flow vascular malformations by venous embolization aided by flow occlusion techniques.采用血流阻断技术辅助下的静脉栓塞术治疗高流量血管畸形。
Cardiovasc Intervent Radiol. 1996 Sep-Oct;19(5):323-8. doi: 10.1007/BF02570183.