Suppr超能文献

Ssc-Mir-21-5p 和 Ssc-Mir-615 通过靶向 SOX5 调节 Leydig 细胞的增殖和凋亡。

Ssc-MiR-21-5p and Ssc-MiR-615 Regulates the Proliferation and Apoptosis of Leydig Cells by Targeting SOX5.

机构信息

College of Animal Science and Technology, Northwest A&F University, Yangling, Xianyang 712100, China.

Department of Animal and Dairy Sciences, University of Wisconsin-Madison, Madison, WI 53706, USA.

出版信息

Cells. 2022 Jul 21;11(14):2253. doi: 10.3390/cells11142253.

Abstract

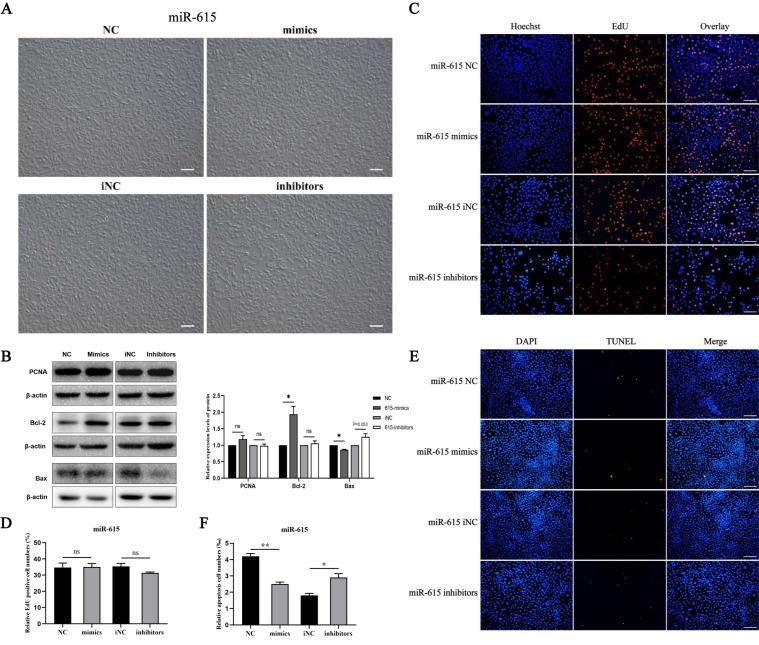
Leydig cells (LCs) are the predominant cells of androgen production, which plays key roles in spermatogenesis and maintaining male secondary sexual characteristics. Abnormal development of LCs affects androgen levels in vivo, affects fertility and may even lead to infertility. Little is known about the regulation mechanism on LCs' development and maturation in domestic animals, especially the regulation of non-coding RNAs. In this study, we continued to dig deeper in the previous RNA-seq data of porcine LCs from our group, combined with detecting the expression profiles in different tissues and different types of cells in the testis, to screen out candidate microRNAs (miRNAs) that may affect the regulation of LCs. A total of two miRNAs, ssc-miR-21-5p and ssc-miR-615 ("ssc" is omitted below), were finally determined. After overexpression and interference of miRNAs in vitro, the effects of candidate miRNAs on the proliferation and apoptosis of TM3 (mouse Leydig cell line) were explored. The results showed that miR-21-5p led to a decrease in TM3 cell density and p53 (apoptosis related protein) expression. Meanwhile, miR-21-5p decreased EdU positive cell numbers, but increased TUNEL positive cell numbers, suggesting miR-21-5p could inhibit proliferation and promote apoptosis. Conversely, miR-615 could increase TM3 cell density. Western blot and TUNEL assay indicated miR-615 inhibited apoptosis, but had no effect on proliferation. In addition, Sox5 was identified a potential target gene of these two miRNAs by Dual-Luciferase reporter system assay. Our findings about functions of miRNAs in TM3 and the mapping of miRNAs-target gene regulatory network would provide an important basis for the further elucidation of miRNAs in regulating pig LCs.

摘要

间质细胞(LCs)是雄激素产生的主要细胞,在精子发生和维持男性第二性特征中起着关键作用。LCs 的异常发育会影响体内雄激素水平,影响生育能力,甚至导致不育。关于家畜 LCs 的发育和成熟的调控机制知之甚少,特别是非编码 RNA 的调控。在本研究中,我们继续深入挖掘我们之前的课题组关于猪 LCs 的 RNA-seq 数据,结合检测睾丸不同组织和不同类型细胞中的表达谱,筛选出可能影响 LCs 调节的候选 microRNAs(miRNAs)。总共筛选出了两个 miRNA,ssc-miR-21-5p 和 ssc-miR-615(下文省略“ssc”)。经过体外过表达和干扰 miRNA 后,进一步探究候选 miRNAs 对 TM3(小鼠 Leydig 细胞系)增殖和凋亡的影响。结果表明,miR-21-5p 导致 TM3 细胞密度和 p53(凋亡相关蛋白)表达降低。同时,miR-21-5p 减少了 EdU 阳性细胞数量,但增加了 TUNEL 阳性细胞数量,表明 miR-21-5p 可抑制增殖并促进凋亡。相反,miR-615 可以增加 TM3 细胞密度。Western blot 和 TUNEL 分析表明,miR-615 抑制凋亡,但对增殖没有影响。此外,双荧光素酶报告系统试验鉴定 Sox5 是这两个 miRNAs 的潜在靶基因。我们关于 miRNAs 在 TM3 中的功能以及 miRNAs 靶基因调控网络的映射的研究结果将为进一步阐明 miRNAs 在调节猪 LCs 中的作用提供重要依据。

https://cdn.ncbi.nlm.nih.gov/pmc/blobs/38a4/9324347/9c7421ae0920/cells-11-02253-g001a.jpg

文献AI研究员

20分钟写一篇综述,助力文献阅读效率提升50倍。

立即体验

用中文搜PubMed

大模型驱动的PubMed中文搜索引擎

马上搜索

文档翻译

学术文献翻译模型,支持多种主流文档格式。

立即体验