Suppr超能文献

BK 病毒肾病在肾移植中的研究进展:一篇综述。

BK Virus Nephropathy in Kidney Transplantation: A State-of-the-Art Review.

机构信息

Division of Nephrology, Department of Medicine, Johns Hopkins University School of Medicine, Baltimore, MD 21227, USA.

Comprehensive Transplant Center, Johns Hopkins University School of Medicine, Baltimore, MD 21227, USA.

出版信息

Viruses. 2022 Jul 25;14(8):1616. doi: 10.3390/v14081616.

Abstract

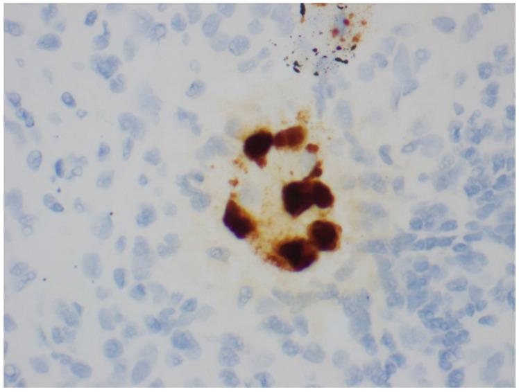
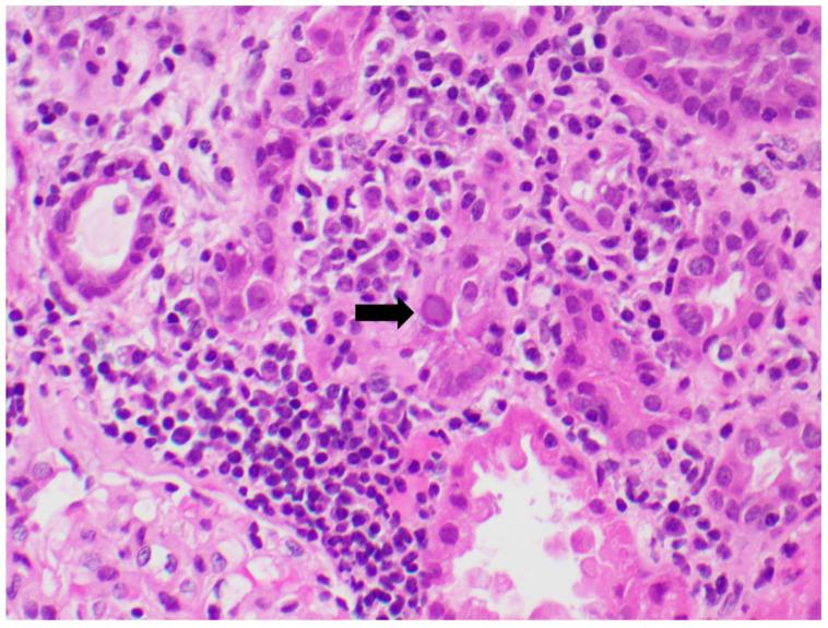
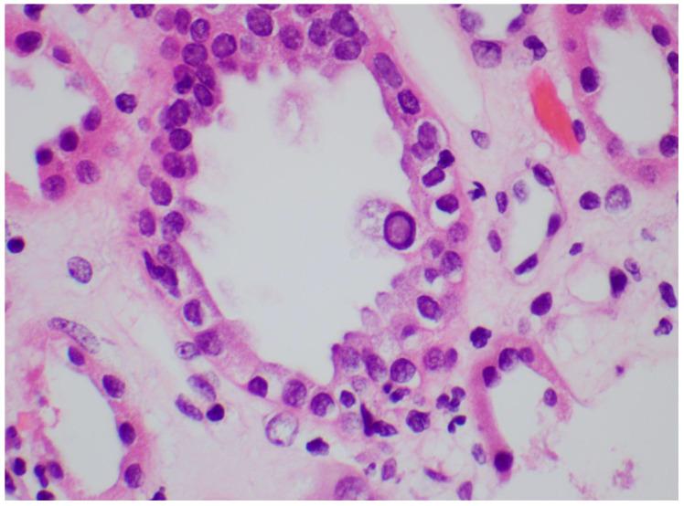
BK virus maintains a latent infection that is ubiquitous in humans. It has a propensity for reactivation in the setting of a dysfunctional cellular immune response and is frequently encountered in kidney transplant recipients. Screening for the virus has been effective in preventing progression to nephropathy and graft loss. However, it can be a diagnostic and therapeutic challenge. In this in-depth state-of-the-art review, we will discuss the history of the virus, virology, epidemiology, cellular response, pathogenesis, methods of screening and diagnosis, evidence-based treatment strategies, and upcoming therapeutics, along with the issue of re-transplantation in patients.

摘要

BK 病毒维持着一种潜伏感染,在人类中普遍存在。它在细胞免疫反应功能失调的情况下容易重新激活,在肾移植受者中经常被发现。对该病毒进行筛查可有效预防其发展为肾病和移植物丢失。然而,它可能是一个诊断和治疗方面的挑战。在本次深入的专题综述中,我们将讨论该病毒的历史、病毒学、流行病学、细胞反应、发病机制、筛查和诊断方法、循证治疗策略以及即将出现的治疗方法,同时还将讨论患者再次移植的问题。

https://cdn.ncbi.nlm.nih.gov/pmc/blobs/3d6b/9330039/ef59c63daa35/viruses-14-01616-g001.jpg

文献AI研究员

20分钟写一篇综述,助力文献阅读效率提升50倍。

立即体验

用中文搜PubMed

大模型驱动的PubMed中文搜索引擎

马上搜索

文档翻译

学术文献翻译模型,支持多种主流文档格式。

立即体验