Suppr超能文献

化疗后肾移植15年发生晚期BK肾病:一例报告

Late BK Nephropathy 15 years post kidney transplant following chemotherapy: A case report.

作者信息

Hamiduzzaman Anum, Hou Jean, Higgins Tram, Gaynor Pryce, Shankar Abhirami, Lum Erik L

机构信息

Division of Nephrology, Department of Medicine, David Geffen School of Medicine at UCLA, Los Angeles, CA 90095, USA.

Department of Pathology and Laboratory Medicine, Cedars Sinai Medical Center, Los Angeles, CA 90048, USA.

出版信息

IDCases. 2025 Aug 8;41:e02340. doi: 10.1016/j.idcr.2025.e02340. eCollection 2025.

Abstract

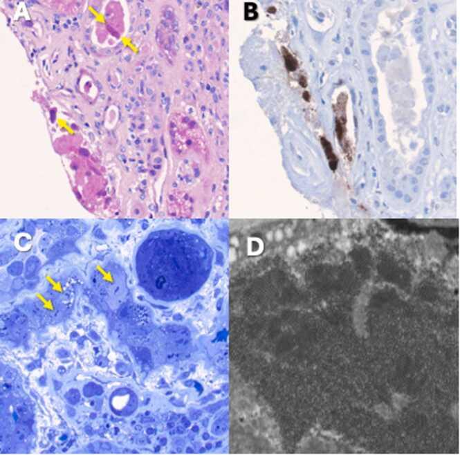
BK Polyomavirus (BKPyV) is an important risk factor for premature graft loss following kidney transplant. Current practice guidelines recommend screening for BK virus DNA for 2 years after kidney transplant as the risk of BK Polyomavirus associated nephropathy (BKPyVAN) wanes over time. This case report presents a unique scenario of late onset BKPyVAN 15 years following kidney transplant precipitated by administration of chemotherapy to treat multiple myeloma. A woman in her 60 s with no prior history of BKPyV was diagnosed with multiple myeloma 14 years after kidney transplant. Her immunosuppression was tapered to tacrolimus and prednisone before undergoing chemotherapy treatment for her multiple myeloma. Although the chemotherapy was effective in achieving remission of her myeloma, she developed worsening renal dysfunction without proteinuria. Kidney biopsy revealed positive SV40 staining and subsequent BK DNA serum PCR was found to be 236,000 copies/mL suggestive of BKPyVAN. Although incredibly rare, late onset BKPyVAN should be considered as a cause of sustained elevation in serum creatinine, new onset proteinuria, or new onset hematuria in kidney transplant recipients who have experienced an augmentation in immunosuppression such as patients undergoing chemotherapy for underlying malignancies.

摘要

BK多瘤病毒(BKPyV)是肾移植后移植物过早丢失的一个重要风险因素。当前的实践指南建议在肾移植后2年内筛查BK病毒DNA,因为BK多瘤病毒相关性肾病(BKPyVAN)的风险会随着时间逐渐降低。本病例报告呈现了一种独特的情况,即一名肾移植15年后的患者因接受化疗治疗多发性骨髓瘤而引发迟发性BKPyVAN。一名60多岁的女性,既往无BKPyV病史,在肾移植14年后被诊断为多发性骨髓瘤。在对其多发性骨髓瘤进行化疗之前,她的免疫抑制药物逐渐减至他克莫司和泼尼松。尽管化疗有效地使她的骨髓瘤病情缓解,但她出现了肾功能恶化且无蛋白尿。肾活检显示SV40染色呈阳性,随后检测发现血清BK DNA PCR为236,000拷贝/毫升,提示BKPyVAN。尽管极为罕见,但对于经历免疫抑制增强的肾移植受者,如因潜在恶性肿瘤接受化疗的患者,迟发性BKPyVAN应被视为血清肌酐持续升高、新发蛋白尿或新发血尿的一个病因。

https://cdn.ncbi.nlm.nih.gov/pmc/blobs/2998/12362014/e9d249066d67/gr1.jpg

文献AI研究员

20分钟写一篇综述,助力文献阅读效率提升50倍。

立即体验

用中文搜PubMed

大模型驱动的PubMed中文搜索引擎

马上搜索

文档翻译

学术文献翻译模型,支持多种主流文档格式。

立即体验