• 文献检索
  • 文档翻译
  • 深度研究
  • 学术资讯
  • Suppr Zotero 插件Zotero 插件
  • 邀请有礼
  • 套餐&价格
  • 历史记录
应用&插件
Suppr Zotero 插件Zotero 插件浏览器插件Mac 客户端Windows 客户端微信小程序
定价
高级版会员购买积分包购买API积分包
服务
文献检索文档翻译深度研究API 文档MCP 服务
关于我们
关于 Suppr公司介绍联系我们用户协议隐私条款
关注我们

Suppr 超能文献

核心技术专利:CN118964589B侵权必究
粤ICP备2023148730 号-1Suppr @ 2026

文献检索

告别复杂PubMed语法,用中文像聊天一样搜索,搜遍4000万医学文献。AI智能推荐,让科研检索更轻松。

立即免费搜索

文件翻译

保留排版,准确专业,支持PDF/Word/PPT等文件格式,支持 12+语言互译。

免费翻译文档

深度研究

AI帮你快速写综述,25分钟生成高质量综述,智能提取关键信息,辅助科研写作。

立即免费体验

Müller-Weiss 病采用支柱同种异体骨移植行中跗和后足关节融合术的中期结果。

Midterm outcomes of midfoot and hindfoot arthrodesis with strut allograft for Müller-Weiss disease.

机构信息

Department of Orthopedic Surgery, Taipei Tzu Chi Hospital, Buddhist Tzu Chi Medical Foundation, New Taipei City, 23142, Taiwan.

Department of Orthopedics, En Chu Kong Hospital, New Taipei City, Taiwan.

出版信息

BMC Musculoskelet Disord. 2022 Jul 27;23(1):715. doi: 10.1186/s12891-022-05629-7.

DOI:10.1186/s12891-022-05629-7
PMID:35897013
原文链接:https://pmc.ncbi.nlm.nih.gov/articles/PMC9327191/
Abstract

BACKGROUND

Müller-Weiss disease (MWD), a rare dysplastic disorder of the foot, is characterized by deformity, sclerosis, and fragmentation of the lateral part of navicular bone. Arthrodesis is the mainstay treatment for MWD. Generally, arthrodesis can be achieved through internal fixation with metallic implants, and morselized chip bone may be packed into the gap for better bone union. However, with this procedure, the original foot size is not maintained and support for the foot arch is not provided. Sequela of short foot, or flatfoot is commonly observed even though these complications of surgery had not been reported with cases of MWD treated by arthrodesis. Herein, we present a retrospective analysis of treating MWD through midfoot and hindfoot arthrodesis combined with strut allograft.

METHODS

From August 2006 to June 2019, 20 patients with MWD (mean age, 59.6 years; range, 40-80 years) underwent midfoot and hindfoot arthrodesis with strut bone allograft and were followed for at least 24 months. The patients were able to ambulate and participate in rehabilitation programs 3 months postoperatively.

RESULTS

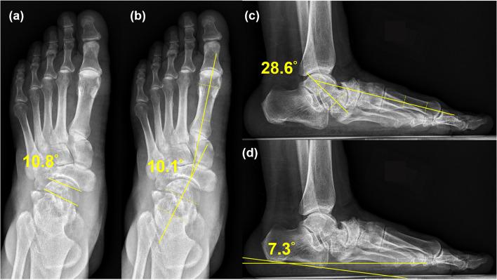
The used four radiographic parameters (Meary's angle in anteroposterior and lateral view, talonavicular coverage angle, calcaneal pitch) demonstrated significant differences (P < .05) preoperatively and postoperatively, but those between the postoperative values and the values at the last follow-up session did not, indicating that strut allograft was able to maintain normal alignment. The mean American Orthopaedic Foot & Ankle Society Ankle-Hindfoot scores at 2 years postoperatively revealed significant improvement from baseline, from 60.2 to 84.2 (P < .05). The 12-item Short Form Health Survey scores also improved significantly (P < .05). All patients reported substantial pain relief and exhibited improved functional outcomes and gait patterns.

CONCLUSIONS

For advanced-stage MWD, arthrodesis with a precisely shaped, size-matched strut allograft provided strong support for biomechanical alignment and enhanced functional performance.

摘要

背景

Müller-Weiss 病(MWD)是一种罕见的足部发育性疾病,其特征为跗骨外侧部分的畸形、硬化和碎裂。关节融合术是 MWD 的主要治疗方法。通常,关节融合术可以通过金属植入物内固定来实现,并且可以将碎骨片填充到间隙中以促进更好的骨愈合。然而,采用这种方法无法维持足部原有的大小,也无法提供足弓的支撑。尽管没有报道过 MWD 关节融合术后出现这些并发症,但仍常观察到短足或平足等后遗症。在此,我们回顾性分析了采用中后足关节融合术联合支撑同种异体骨治疗 MWD 的病例。

方法

2006 年 8 月至 2019 年 6 月,20 例 MWD 患者(平均年龄 59.6 岁;范围,40-80 岁)接受了中后足关节融合术联合支撑同种异体骨治疗,随访时间至少 24 个月。患者术后 3 个月即可行走并参与康复计划。

结果

使用的 4 项影像学参数(前后位和侧位的 Meary 角、距舟覆盖角、跟骨倾斜角)在术前和术后均有显著差异(P<.05),但术后值与末次随访时的差异无统计学意义,表明支撑同种异体骨能够维持正常的对线。术后 2 年的美国矫形足踝协会踝关节-后足评分平均从基线的 60.2 分显著提高到 84.2 分(P<.05)。12 项简明健康调查问卷评分也有显著改善(P<.05)。所有患者均报告疼痛明显缓解,并表现出功能改善和步态模式的改善。

结论

对于晚期 MWD,采用精确塑形、大小匹配的支撑同种异体骨进行关节融合术为生物力学对线提供了强有力的支撑,并增强了功能表现。

https://cdn.ncbi.nlm.nih.gov/pmc/blobs/5082/9327191/eb3efab1f324/12891_2022_5629_Fig7_HTML.jpg
https://cdn.ncbi.nlm.nih.gov/pmc/blobs/5082/9327191/a5f4c82a0024/12891_2022_5629_Fig1_HTML.jpg
https://cdn.ncbi.nlm.nih.gov/pmc/blobs/5082/9327191/000044f7ec6c/12891_2022_5629_Fig3_HTML.jpg
https://cdn.ncbi.nlm.nih.gov/pmc/blobs/5082/9327191/cc2a1aaaf541/12891_2022_5629_Fig4_HTML.jpg
https://cdn.ncbi.nlm.nih.gov/pmc/blobs/5082/9327191/05fba8dbcd32/12891_2022_5629_Fig6_HTML.jpg
https://cdn.ncbi.nlm.nih.gov/pmc/blobs/5082/9327191/eb3efab1f324/12891_2022_5629_Fig7_HTML.jpg
https://cdn.ncbi.nlm.nih.gov/pmc/blobs/5082/9327191/a5f4c82a0024/12891_2022_5629_Fig1_HTML.jpg
https://cdn.ncbi.nlm.nih.gov/pmc/blobs/5082/9327191/000044f7ec6c/12891_2022_5629_Fig3_HTML.jpg
https://cdn.ncbi.nlm.nih.gov/pmc/blobs/5082/9327191/cc2a1aaaf541/12891_2022_5629_Fig4_HTML.jpg
https://cdn.ncbi.nlm.nih.gov/pmc/blobs/5082/9327191/05fba8dbcd32/12891_2022_5629_Fig6_HTML.jpg
https://cdn.ncbi.nlm.nih.gov/pmc/blobs/5082/9327191/eb3efab1f324/12891_2022_5629_Fig7_HTML.jpg

相似文献

1
Midterm outcomes of midfoot and hindfoot arthrodesis with strut allograft for Müller-Weiss disease.Müller-Weiss 病采用支柱同种异体骨移植行中跗和后足关节融合术的中期结果。
BMC Musculoskelet Disord. 2022 Jul 27;23(1):715. doi: 10.1186/s12891-022-05629-7.
2
Müller-Weiss Disease: Midfoot Arthrodesis in Reduction vs Malreduction.穆勒-魏斯病:复位与未复位情况下的中跗关节融合术。
Foot Ankle Int. 2024 Mar;45(3):225-235. doi: 10.1177/10711007231220911. Epub 2024 Feb 22.
3
Talonavicular-cuneiform arthrodesis for the treatment of Müller-Weiss: mid-term results of 15 cases after 5 years.距舟楔关节融合术治疗 Müller-Weiss 病:5 年后 15 例的中期结果。
BMC Musculoskelet Disord. 2023 Mar 10;24(1):178. doi: 10.1186/s12891-023-06293-1.
4
Müller-Weiss Disease: Three- to Eight-Year Follow-Up Outcomes of Isolated Talonavicular Arthrodesis.米勒-魏斯病:单纯距舟关节融合术的3至8年随访结果
J Foot Ankle Surg. 2018 Sep-Oct;57(5):1014-1019. doi: 10.1053/j.jfas.2018.01.008. Epub 2018 May 24.
5
Radiographic analysis of Müller-Weiss disease.Müller-Weiss 病的影像学分析。
Foot Ankle Surg. 2021 Jul;27(5):501-509. doi: 10.1016/j.fas.2020.06.009. Epub 2020 Jun 18.
6
Derotation of the Talus and Arthrodesis Treatment of Stages II-V Müller-Weiss Disease: Midterm Results of 36 Cases.距骨旋转和关节融合术治疗 Müller-Weiss 病Ⅱ-Ⅴ期:36 例的中期结果。
Foot Ankle Int. 2019 May;40(5):506-514. doi: 10.1177/1071100719829457. Epub 2019 Feb 18.
7
Efficacy of Calcaneus Osteotomy for Treatment of Symptomatic Müller-Weiss Disease.跟骨截骨术治疗有症状的米勒-魏斯病的疗效
Foot Ankle Int. 2017 Mar;38(3):261-269. doi: 10.1177/1071100716677741. Epub 2016 Nov 13.
8
A Modified Fixation Method for Talonavicular Arthrodesis in the Treatment of Müller-Weiss Disease: The Use of the Shape-Memory Alloy Staple as an Adjunct.改良跗舟状骨融合术治疗 Müller-Weiss 病:形状记忆合金钉的应用。
Orthop Surg. 2024 Oct;16(10):2562-2568. doi: 10.1111/os.14205. Epub 2024 Aug 27.
9
Isolated talonavicular fusion with tension band for Müller-Weiss syndrome.采用张力带技术进行孤立性距舟关节融合治疗Müller-Weiss综合征
Foot Ankle Int. 2014 Dec;35(12):1316-22. doi: 10.1177/1071100714548197. Epub 2014 Aug 19.
10
[Effectiveness of talonavicular arthrodesis for Müller-Weiss disease].[距舟关节融合术治疗Müller-Weiss病的疗效]
Zhongguo Xiu Fu Chong Jian Wai Ke Za Zhi. 2017 Dec 15;31(12):1434-1437. doi: 10.7507/1002-1892.201703052.

引用本文的文献

1
A Modified Fixation Method for Talonavicular Arthrodesis in the Treatment of Müller-Weiss Disease: The Use of the Shape-Memory Alloy Staple as an Adjunct.改良跗舟状骨融合术治疗 Müller-Weiss 病:形状记忆合金钉的应用。
Orthop Surg. 2024 Oct;16(10):2562-2568. doi: 10.1111/os.14205. Epub 2024 Aug 27.
2
[Comparison of talonavicular-cuneiform joint fusion with bone grafting and without bone grafting in treatment of Müller-Weiss disease].[舟楔关节融合术联合植骨与不联合植骨治疗Müller-Weiss病的比较]
Zhongguo Xiu Fu Chong Jian Wai Ke Za Zhi. 2024 Mar 15;38(3):309-314. doi: 10.7507/1002-1892.202312005.
3

本文引用的文献

1
Müller-Weiss Disease: The Descriptive Factors of Failure Conservative Treatment.穆勒-韦斯病:保守治疗失败的描述性因素。
Foot Ankle Int. 2021 Aug;42(8):1022-1030. doi: 10.1177/10711007211002826. Epub 2021 Apr 10.
2
Femoral Head Allografts for Talar Body Defects.异体股骨头移植治疗距骨体缺损。
Foot Ankle Int. 2021 Jul;42(7):815-823. doi: 10.1177/1071100720983811. Epub 2021 Feb 5.
3
Bone graft versus non-bone graft for treatment of calcaneal fractures: A protocol for meta-analysis.骨移植与非骨移植治疗跟骨骨折的疗效比较:一项荟萃分析方案。
Septic History Limits the Outcome of Tibiotalocalcaneal Arthrodesis.
脓毒症病史会限制胫距跟关节融合术的疗效。
J Clin Med. 2023 May 12;12(10):3422. doi: 10.3390/jcm12103422.
Medicine (Baltimore). 2021 Jan 15;100(2):e24261. doi: 10.1097/MD.0000000000024261.
4
The role of bone grafts in displaced intra-articular calcaneal fractures: A prospective study protocol.骨移植在移位型关节内跟骨骨折中的作用:一项前瞻性研究方案。
Medicine (Baltimore). 2020 Dec 24;99(52):e23740. doi: 10.1097/MD.0000000000023740.
5
Midterm Results of Fresh-Frozen Osteochondral Allografting for Osteochondral Lesions of the Talus.距骨骨软骨病变新鲜冷冻骨软骨移植的中期结果。
Foot Ankle Int. 2021 Jan;42(1):8-16. doi: 10.1177/1071100720949861. Epub 2020 Oct 10.
6
Arthrodesis in the Charcot foot: a systematic review.夏科氏足的关节融合术:一项系统评价
Orthop Rev (Pavia). 2020 Jun 25;12(Suppl 1):8670. doi: 10.4081/or.2020.8670. eCollection 2020 Jun 29.
7
Müller-Weiss Disease: A Topical Review.米勒-魏斯病:专题综述
Foot Ankle Int. 2019 Dec;40(12):1447-1457. doi: 10.1177/1071100719877000. Epub 2019 Sep 20.
8
Clinical applications of allografts in foot and ankle surgery.同种异体移植物在足踝外科中的临床应用。
Knee Surg Sports Traumatol Arthrosc. 2019 Jun;27(6):1847-1872. doi: 10.1007/s00167-019-05362-0. Epub 2019 Feb 5.
9
Management of Müller-Weiss Disease.米勒-魏斯病的管理
Foot Ankle Clin. 2019 Mar;24(1):89-105. doi: 10.1016/j.fcl.2018.09.006.
10
Mueller-Weiss disease: review of the literature.穆勒-魏斯病:文献复习。
J Biol Regul Homeost Agents. 2018 Nov-Dec;32(6 Suppl. 1):157-162.