Suppr超能文献

支气管镜引导下取出肺动静脉畸形线圈栓塞术后的支气管内线圈移位。

Bronchoscopy-guided removal of intrabronchial coil migration after coil embolization of pulmonary arteriovenous malformation.

作者信息

Hu Theodore X, Oh Scott S, McWilliams Justin P

机构信息

David Geffen School of Medicine at University of California Los Angeles, 10833 Le Conte Ave, Los Angeles, CA 90095, USA.

Section of Interventional Pulmonology, David Geffen School of Medicine at University of California Los Angeles, 10833 Le Conte Ave, Los Angeles, CA 90095, USA.

出版信息

Radiol Case Rep. 2022 Jul 21;17(9):3410-3414. doi: 10.1016/j.radcr.2022.06.078. eCollection 2022 Sep.

Abstract

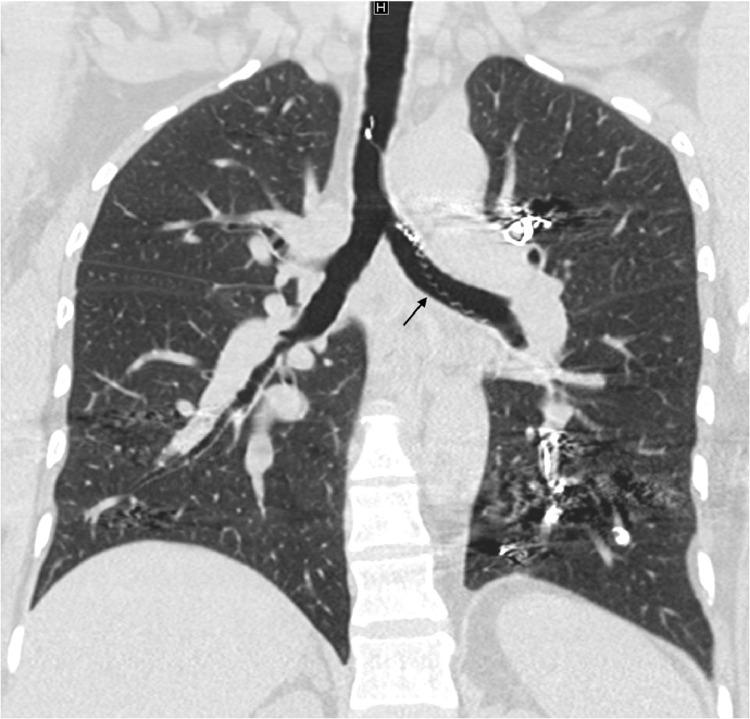
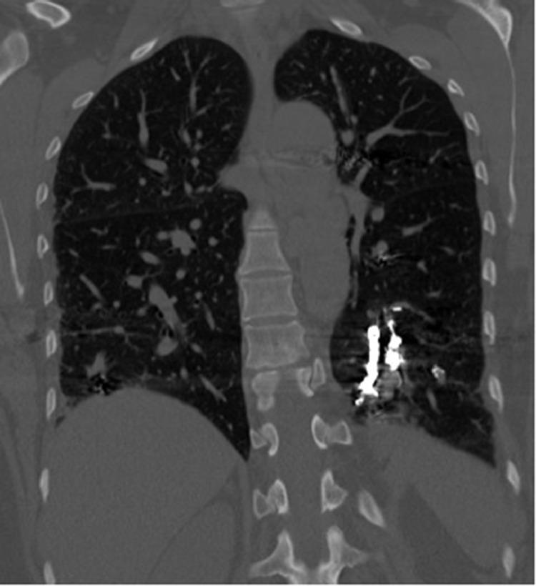
Pulmonary arteriovenous malformations develop in approximately 50% of hereditary hemorrhagic telangiectasia patients. Pulmonary arteriovenous malformations are often treated with coil embolization therapy. We report a case of a 45-year-old female with multiple pulmonary arteriovenous malformations due to underlying hereditary hemorrhagic telangiectasia who had undergone 14 coil embolization procedures over 16 years. She presented with sudden onset severe, unremitting, nonproductive cough from a foreign body sensation in the airway. Computed tomography of the chest demonstrated a metallic foreign body extending from the left lower lobe of the lung into the left mainstem bronchus and trachea. Bronchoscopy-guided removal of the foreign body revealed an intact embolization coil placed 8 years prior to presentation had partially migrated through the vessel and airway walls into the airway lumen, extending from the left lower lobe bronchus to the left mainstem bronchus. Coil migration is a rare, but potentially dangerous, complication of coil embolization therapy.

摘要

约50%的遗传性出血性毛细血管扩张症患者会出现肺动静脉畸形。肺动静脉畸形通常采用弹簧圈栓塞疗法进行治疗。我们报告一例45岁女性患者,因潜在的遗传性出血性毛细血管扩张症患有多发性肺动静脉畸形,在16年期间接受了14次弹簧圈栓塞手术。她因气道内有异物感而突然出现严重、持续、无痰咳嗽。胸部计算机断层扫描显示一个金属异物从左肺下叶延伸至左主支气管和气管。支气管镜引导下取出异物发现,一个在就诊前8年放置的完整栓塞弹簧圈已部分穿过血管壁和气道壁进入气道腔,从左肺下叶支气管延伸至左主支气管。弹簧圈移位是弹簧圈栓塞治疗一种罕见但可能危险的并发症。

https://cdn.ncbi.nlm.nih.gov/pmc/blobs/b4bf/9309579/28da8cfa3049/gr1.jpg

文献检索

告别复杂PubMed语法,用中文像聊天一样搜索,搜遍4000万医学文献。AI智能推荐,让科研检索更轻松。

立即免费搜索

文件翻译

保留排版,准确专业,支持PDF/Word/PPT等文件格式,支持 12+语言互译。

免费翻译文档

深度研究

AI帮你快速写综述,25分钟生成高质量综述,智能提取关键信息,辅助科研写作。

立即免费体验