• 文献检索
  • 文档翻译
  • 深度研究
  • 学术资讯
  • Suppr Zotero 插件Zotero 插件
  • 邀请有礼
  • 套餐&价格
  • 历史记录
应用&插件
Suppr Zotero 插件Zotero 插件浏览器插件Mac 客户端Windows 客户端微信小程序
定价
高级版会员购买积分包购买API积分包
服务
文献检索文档翻译深度研究API 文档MCP 服务
关于我们
关于 Suppr公司介绍联系我们用户协议隐私条款
关注我们

Suppr 超能文献

核心技术专利:CN118964589B侵权必究
粤ICP备2023148730 号-1Suppr @ 2026

文献检索

告别复杂PubMed语法,用中文像聊天一样搜索,搜遍4000万医学文献。AI智能推荐,让科研检索更轻松。

立即免费搜索

文件翻译

保留排版,准确专业,支持PDF/Word/PPT等文件格式,支持 12+语言互译。

免费翻译文档

深度研究

AI帮你快速写综述,25分钟生成高质量综述,智能提取关键信息,辅助科研写作。

立即免费体验

小肠平滑肌肉瘤:一例报告及文献复习

Leiomyosarcoma of the small bowel: A case report and literature review.

作者信息

Bouassida Mahdi, Beji Hazem, Chtourou Mohamed Fadhel, Nechi Saloua, Chaabane Abir, Touinsi Hassen

机构信息

Department of General Surgery, Hospital Mohamed Taher Maamouri, Nabeul, Tunisia; University Tunis El Manar, Faculty of Medicine of Tunis, Tunisia.

Department of General Surgery, Hospital Mohamed Taher Maamouri, Nabeul, Tunisia; University Tunis El Manar, Faculty of Medicine of Tunis, Tunisia.

出版信息

Int J Surg Case Rep. 2022 Aug;97:107456. doi: 10.1016/j.ijscr.2022.107456. Epub 2022 Jul 26.

DOI:10.1016/j.ijscr.2022.107456
PMID:35907299
原文链接:https://pmc.ncbi.nlm.nih.gov/articles/PMC9403291/
Abstract

INTRODUCTION

Malignant tumors of the small bowel are rare. The jejunum, ileum, and duodenum represent the most common sites of intestinal leiomyosarcoma (LMS). Herein, we present a case of a 65-year-old patient having ileal LMS successfully treated with surgical resection.

PRESENTATION OF CASE

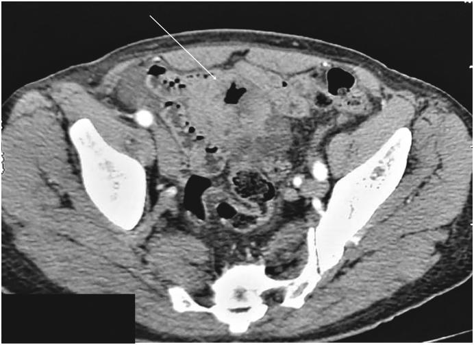
A 65-year-old patient, with no comorbidities, presented with chronic and paroxysmal abdominal pain. Upper endoscopy and colonoscopy showed no abnormalities. Thoracoabdominal computed tomography (CT) revealed an ileal lobulated, heterogeneously enhancing solid mass measuring 6 cm. Laparotomy was performed. Findings showed a lobulated ileal mass. We made an enlarged ileal resection with end-to-end anastomosis. The postoperative course was uneventful. Histology and IHC stains concluded into ileal LMS. No relapse of the disease was noted during the 4-month follow-up.

CLINICAL DISCUSSION

Ileal LMS is a rare tumor originating from the smooth muscle cells within the muscularis mucosa or muscularis propria. CT colonography (CTC) and magnetic resonance enterography (MRE) represent good options to aid the diagnosis. Histologically, LMS often has a comparable morphological appearance to GISTs. IHC is essential to differentiate those tumors. Surgery is the only curative treatment. The prognosis is poor knowing that those tumors are discovered at advanced stages.

CONCLUSION

Ileal LMS is a rare tumor originating from the smooth muscle cells. It has a comparable morphological appearance to GISTs. Immunohistochemistry is essential to confirm the diagnosis. Surgery is the only curative treatment. The prognosis is poor.

摘要

引言

小肠恶性肿瘤较为罕见。空肠、回肠和十二指肠是肠道平滑肌肉瘤(LMS)最常见的发病部位。在此,我们报告一例65岁回肠LMS患者经手术切除成功治疗的病例。

病例介绍

一名65岁无合并症患者,出现慢性阵发性腹痛。上消化道内镜检查和结肠镜检查均未发现异常。胸腹部计算机断层扫描(CT)显示回肠有一个分叶状、强化不均匀的实性肿块,大小为6厘米。遂行剖腹手术。术中发现一个分叶状回肠肿块。我们进行了扩大的回肠切除术并端端吻合。术后过程顺利。组织学和免疫组化染色结果确诊为回肠LMS。在4个月的随访期间未发现疾病复发。

临床讨论

回肠LMS是一种罕见的肿瘤,起源于黏膜肌层或固有肌层内的平滑肌细胞。CT结肠成像(CTC)和磁共振小肠造影(MRE)是辅助诊断的良好选择。在组织学上,LMS通常与胃肠道间质瘤(GIST)有相似的形态学表现。免疫组化对于鉴别这些肿瘤至关重要。手术是唯一的治愈性治疗方法。鉴于这些肿瘤在晚期才被发现,其预后较差。

结论

回肠LMS是一种起源于平滑肌细胞的罕见肿瘤。它与GIST有相似的形态学表现。免疫组化对于确诊至关重要。手术是唯一的治愈性治疗方法。预后较差。

https://cdn.ncbi.nlm.nih.gov/pmc/blobs/069f/9403291/1bc685fc52be/gr3.jpg
https://cdn.ncbi.nlm.nih.gov/pmc/blobs/069f/9403291/f166a38de5ac/gr1.jpg
https://cdn.ncbi.nlm.nih.gov/pmc/blobs/069f/9403291/f4e41ded8b67/gr2.jpg
https://cdn.ncbi.nlm.nih.gov/pmc/blobs/069f/9403291/1bc685fc52be/gr3.jpg
https://cdn.ncbi.nlm.nih.gov/pmc/blobs/069f/9403291/f166a38de5ac/gr1.jpg
https://cdn.ncbi.nlm.nih.gov/pmc/blobs/069f/9403291/f4e41ded8b67/gr2.jpg
https://cdn.ncbi.nlm.nih.gov/pmc/blobs/069f/9403291/1bc685fc52be/gr3.jpg

相似文献

1
Leiomyosarcoma of the small bowel: A case report and literature review.小肠平滑肌肉瘤:一例报告及文献复习
Int J Surg Case Rep. 2022 Aug;97:107456. doi: 10.1016/j.ijscr.2022.107456. Epub 2022 Jul 26.
2
Ileo-ileal intussusception caused by small bowel leiomyosarcoma: A rare case report.小肠平滑肌肉瘤导致的回肠-回肠套叠:一例罕见病例报告。
Int J Surg Case Rep. 2020;72:52-55. doi: 10.1016/j.ijscr.2020.05.049. Epub 2020 May 29.
3
Leiomyosarcoma of the small bowel: Report of a case and review of the literature.小肠平滑肌肉瘤:1例报告并文献复习
Int J Surg Case Rep. 2015;6C:51-4. doi: 10.1016/j.ijscr.2014.11.009. Epub 2014 Nov 11.
4
A rare case of small bowel leiomyosarcoma presenting with acute gastro-intestinal bleeding.一例罕见的以急性胃肠道出血为表现的小肠平滑肌肉瘤。
BJR Case Rep. 2016 Dec 22;3(2):20160089. doi: 10.1259/bjrcr.20160089. eCollection 2017.
5
A rare synchrony of adenocarcinoma of the ampulla with an ileal gastrointestinal stromal tumor: A case report.壶腹腺癌与回肠胃肠道间质瘤罕见同步发生:一例报告。
World J Gastrointest Oncol. 2022 Nov 15;14(11):2253-2265. doi: 10.4251/wjgo.v14.i11.2253.
6
Vascular leiomyosarcoma originating from the right ovarian vein: a case report and literature review.起源于右卵巢静脉的血管平滑肌肉瘤:一例报告及文献复习
Surg Case Rep. 2019 Jul 24;5(1):120. doi: 10.1186/s40792-019-0679-5.
7
Primary Leiomyosarcoma of the Mesentery: A Case Report With Review of Literature.肠系膜原发性平滑肌肉瘤:一例报告并文献复习
Cureus. 2020 Oct 3;12(10):e10777. doi: 10.7759/cureus.10777.
8
Curative resection of leiomyosarcoma of the descending colon with metachronous liver metastasis: A case report.降结肠平滑肌肉瘤伴异时性肝转移的根治性切除术:病例报告
World J Gastrointest Surg. 2023 May 27;15(5):992-999. doi: 10.4240/wjgs.v15.i5.992.
9
Case report and literature review: Primary leiomyosarcoma of the penis.病例报告及文献综述:阴茎原发性平滑肌肉瘤
Front Surg. 2023 Jan 9;9:1068935. doi: 10.3389/fsurg.2022.1068935. eCollection 2022.
10
Small intestine leiomyosarcoma mimicking gastrointestinal stromal tumour.小肠平滑肌肉瘤酷似胃肠道间质瘤。
BMJ Case Rep. 2021 Sep 13;14(9):e244381. doi: 10.1136/bcr-2021-244381.

引用本文的文献

1
Small bowel leiomyosarcoma: a case report and review of the literature.小肠平滑肌肉瘤:一例病例报告及文献复习
J Surg Case Rep. 2025 May 3;2025(5):rjaf269. doi: 10.1093/jscr/rjaf269. eCollection 2025 May.
2
Primary Small Intestinal Leiomyosarcoma Presenting With Small Bowel Perforation: A Case Report.以小肠穿孔为表现的原发性小肠平滑肌肉瘤:一例报告
Cureus. 2024 Nov 24;16(11):e74352. doi: 10.7759/cureus.74352. eCollection 2024 Nov.
3
Giant Duodenal Metastatic Gastrointestinal Stromal Tumor (mGIST) in a Young Man.一名年轻男性的巨大十二指肠转移性胃肠道间质瘤(mGIST)

本文引用的文献

1
The SCARE 2020 Guideline: Updating Consensus Surgical CAse REport (SCARE) Guidelines.SCARE 2020 指南:更新共识手术病例报告(SCARE)指南。
Int J Surg. 2020 Dec;84:226-230. doi: 10.1016/j.ijsu.2020.10.034. Epub 2020 Nov 9.
2
Ileo-ileal intussusception caused by small bowel leiomyosarcoma: A rare case report.小肠平滑肌肉瘤导致的回肠-回肠套叠:一例罕见病例报告。
Int J Surg Case Rep. 2020;72:52-55. doi: 10.1016/j.ijscr.2020.05.049. Epub 2020 May 29.
3
Leiomyosarcoma of the stomach treated by endoscopic submucosal dissection.
Cureus. 2024 Oct 9;16(10):e71162. doi: 10.7759/cureus.71162. eCollection 2024 Oct.
4
Unveiling a Jejunal Leiomyosarcoma Presenting as a Gastrointestinal Stromal Tumor: A Case Report.揭示一例表现为胃肠道间质瘤的空肠平滑肌肉瘤:病例报告
Cureus. 2024 Aug 15;16(8):e66973. doi: 10.7759/cureus.66973. eCollection 2024 Aug.
5
Leiomyosarcoma of the small bowel presenting as an acute small bowel obstruction.表现为急性小肠梗阻的小肠平滑肌肉瘤
J Surg Case Rep. 2024 Jun 24;2024(6):rjae419. doi: 10.1093/jscr/rjae419. eCollection 2024 Jun.
6
Current landscape of primary small bowel leiomyosarcoma: cases report and a decade of insights.原发性小肠平滑肌肉瘤的现状:病例报告及十年见解
Front Oncol. 2024 May 23;14:1408524. doi: 10.3389/fonc.2024.1408524. eCollection 2024.
7
Inferior vena cava resection for a leiomyosarcoma: A case report.下腔静脉平滑肌肉瘤切除术:一例报告。
Int J Surg Case Rep. 2023 May;106:108304. doi: 10.1016/j.ijscr.2023.108304. Epub 2023 May 8.
8
Gastrointestinal bleeding due to jejunal metastasis of pleomorphic lung carcinoma: a case report.多形性肺癌空肠转移导致的消化道出血:一例报告
Ann Med Surg (Lond). 2023 Mar 27;85(4):1119-1122. doi: 10.1097/MS9.0000000000000364. eCollection 2023 Apr.
经内镜黏膜下剥离术治疗的胃平滑肌肉瘤
Clin J Gastroenterol. 2018 Aug;11(4):291-296. doi: 10.1007/s12328-018-0838-4. Epub 2018 Mar 2.
4
A very rare case of a small bowel leiomyosarcoma leading to ileocaecal intussusception treated with a laparoscopic resection: a case report and a literature review.一例罕见的小肠平滑肌肉瘤导致回盲部肠套叠并接受腹腔镜切除术的病例报告及文献复习
World J Surg Oncol. 2016 Feb 24;14(1):48. doi: 10.1186/s12957-016-0798-4.
5
Gastrointestinal (GI) leiomyosarcoma (LMS) case series and review on diagnosis, management, and prognosis.胃肠道平滑肌肉瘤病例系列及关于诊断、治疗和预后的综述。
Med Oncol. 2016 Feb;33(2):20. doi: 10.1007/s12032-016-0730-3. Epub 2016 Jan 20.
6
Leiomyosarcoma of the small bowel: Report of a case and review of the literature.小肠平滑肌肉瘤:1例报告并文献复习
Int J Surg Case Rep. 2015;6C:51-4. doi: 10.1016/j.ijscr.2014.11.009. Epub 2014 Nov 11.
7
Leiomyosarcoma.平滑肌肉瘤。
Hematol Oncol Clin North Am. 2013 Oct;27(5):957-74. doi: 10.1016/j.hoc.2013.07.002. Epub 2013 Aug 26.
8
Small bowel leiomyosarcoma: a case report and literature review.小肠平滑肌肉瘤:一例报告及文献综述
Turk J Gastroenterol. 2012 Aug;23(4):381-4. doi: 10.4318/tjg.2012.0406.
9
A leiomyosarcoma of the small bowels causing obscure gastrointestinal bleeding diagnosed by capsule endoscopy.一例通过胶囊内镜诊断的引起不明原因胃肠道出血的小肠平滑肌肉瘤。
J Med Liban. 2010 Oct-Dec;58(4):238-40.
10
Small bowel imaging.小肠成像。
Surg Clin North Am. 2011 Feb;91(1):109-25. doi: 10.1016/j.suc.2010.10.011.