Suppr超能文献

经支气管肺冷冻活检诊断类风湿关节炎患者肺部隐球菌病

Pulmonary Cryptococcosis Diagnosed by a Transbronchial Lung Cryobiopsy in a Patient with Rheumatoid Arthritis.

机构信息

Department of Respiratory Medicine, Ohara Healthcare Foundation, Kurashiki Central Hospital, Japan.

Department of Endocrinology and Rheumatology, Ohara Healthcare Foundation, Kurashiki Central Hospital, Japan.

出版信息

Intern Med. 2023 Feb 15;62(4):583-587. doi: 10.2169/internalmedicine.9764-22. Epub 2022 Jul 29.

Abstract

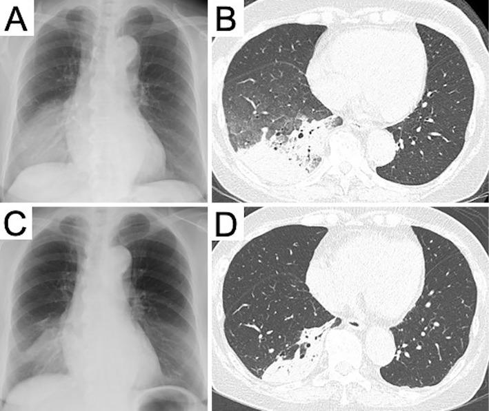
A 77-year-old woman with seronegative rheumatoid arthritis who was being treated with prednisolone (8 mg/day) and methotrexate (12 mg/week) visited our hospital with an 11-day history of a fever and dyspnea. Chest computed tomography showed infiltration in the right lower lobe. A transbronchial lung cryobiopsy (TBLC) showed cryptococcal cells, and bronchoalveolar lavage fluid later showed growth of Cryptococcus neoformans. She was treated with amphotericin B and flucytosine for about four weeks, and the pulmonary shadows improved. The treatment was then changed to fluconazole as outpatient consolidation and maintenance therapy. A rare case of pulmonary cryptococcosis diagnosed by a TBLC is reported.

摘要

一位 77 岁的女性,患有血清阴性类风湿关节炎,正在接受泼尼松龙(8 毫克/天)和甲氨蝶呤(12 毫克/周)治疗,因发热和呼吸困难来我院就诊,病史 11 天。胸部计算机断层扫描显示右下叶浸润。经支气管镜肺冷冻活检(TBLC)显示隐球菌细胞,支气管肺泡灌洗液随后显示新型隐球菌生长。她接受了大约四周的两性霉素 B 和氟胞嘧啶治疗,肺部阴影有所改善。然后改为氟康唑作为门诊巩固和维持治疗。报告了一例经 TBLC 诊断的罕见肺隐球菌病。

https://cdn.ncbi.nlm.nih.gov/pmc/blobs/56c2/10017238/f0f2a82f99b8/1349-7235-62-0583-g001.jpg

相似文献

1
Pulmonary Cryptococcosis Diagnosed by a Transbronchial Lung Cryobiopsy in a Patient with Rheumatoid Arthritis.
Intern Med. 2023 Feb 15;62(4):583-587. doi: 10.2169/internalmedicine.9764-22. Epub 2022 Jul 29.
2
A rare case of Trichosporon mycotoxinivorans and Cryptococcus neoformans co-infection in lung.
J Infect Chemother. 2020 Aug;26(8):838-842. doi: 10.1016/j.jiac.2020.03.002. Epub 2020 Apr 2.
3
6
Disseminated Cryptococcosis with Marked Eosinophilia in a Postpartum Woman.
Intern Med. 2018 Jan 1;57(1):135-139. doi: 10.2169/internalmedicine.9247-17. Epub 2017 Oct 11.
7
Cryptococcus neoformans Presenting as a Lung Mass in an Immunocompromised Patient.
Am J Case Rep. 2022 Oct 2;23:e936968. doi: 10.12659/AJCR.936968.
8
[Case of primary pulmonary cryptococcosis accompanied by severe back pain].
Nihon Kokyuki Gakkai Zasshi. 2005 Feb;43(2):112-6.
10
Pulmonary cryptococcosis.
Semin Respir Crit Care Med. 2011 Dec;32(6):727-34. doi: 10.1055/s-0031-1295720. Epub 2011 Dec 13.

引用本文的文献

本文引用的文献

1
Pulmonary cryptococcosis: A review of pathobiology and clinical aspects.
Med Mycol. 2019 Feb 1;57(2):133-150. doi: 10.1093/mmy/myy086.
4
Up-to-Date Information on Rheumatoid Arthritis-Associated Interstitial Lung Disease.
Clin Med Insights Circ Respir Pulm Med. 2016 May 31;9(Suppl 1):155-62. doi: 10.4137/CCRPM.S23289. eCollection 2015.
5
Pulmonary Cryptococcosis.
Semin Respir Crit Care Med. 2015 Oct;36(5):681-91. doi: 10.1055/s-0035-1562895. Epub 2015 Sep 23.
6
Diagnostic yield of transbronchial cryobiopsy in interstitial lung disease: a randomized trial.
Respirology. 2014 Aug;19(6):900-6. doi: 10.1111/resp.12322. Epub 2014 Jun 1.
8
Clinical analysis of 68 patients with pulmonary mycosis in China.
Multidiscip Respir Med. 2011 Oct 31;6(5):278-83. doi: 10.1186/2049-6958-6-5-278.
9
Clinical analysis of 76 patients pathologically diagnosed with pulmonary cryptococcosis.
Eur Respir J. 2012 Nov;40(5):1191-200. doi: 10.1183/09031936.00168011. Epub 2012 Mar 9.

文献AI研究员

20分钟写一篇综述,助力文献阅读效率提升50倍。

立即体验

用中文搜PubMed

大模型驱动的PubMed中文搜索引擎

马上搜索

文档翻译

学术文献翻译模型,支持多种主流文档格式。

立即体验