Suppr超能文献

[一名79岁男性的呼吸困难与水肿]

[Dyspnea and edema in a 79-year old male].

作者信息

Schwarz Frederic, Klingel Karin, Greulich Simon, Gawaz Meinrad

机构信息

Medizinische Klinik III (Kardiologie und Angiologie), Universitätsklinikum Tübingen, Otfried-Müller-Str. 10, 72076, Tübingen, Deutschland.

Kardiopathologie, Institut für Pathologie und Neuropathologie, Universitätsklinikum Tübingen, Tübingen, Deutschland.

出版信息

Inn Med (Heidelb). 2022 Sep;63(9):994-999. doi: 10.1007/s00108-022-01358-0. Epub 2022 Jun 23.

Abstract

BACKGROUND

Transthyretin(TTR)-amyloidosis (hereditary or wild-type) is characterized by deposition of misfold, insoluble amyloid fibrils in the interstitial space, leading to dysfunction of the involved organs. Cardiac involvement may vary, ranging from dyspnea, edema, and arrhythmia to overt heart failure and death.

CASE REPORT

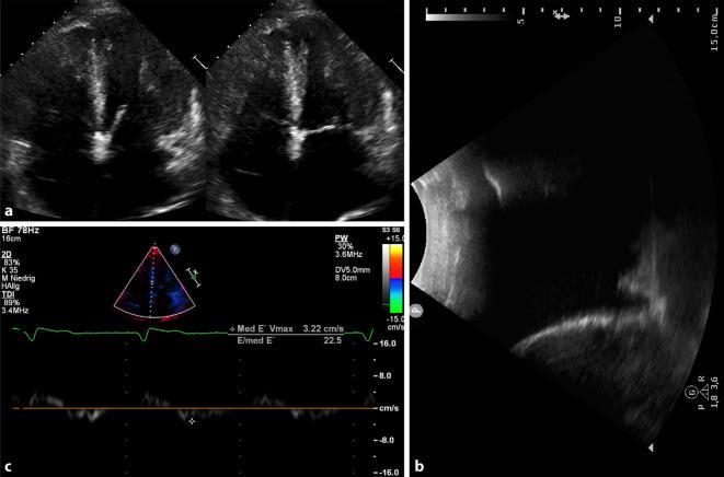
A 79-year-old Caucasian male presented with dyspnea, edema, and weight gain. Echocardiography revealed left ventricular wall thickening and restrictive cardiomyopathy. Bone scintigraphy revealed abnormal cardiac tracer uptake consistent with cardiac TTR-amyloidosis, which could be confirmed by endomyocardial biopsy.

CONCLUSION

The diagnosis of TTR-amyloidosis is challenging for the clinician and requires their heightened awareness. Definitive diagnosis needs a structured approach including laboratory and imaging findings combined with endomyocardial biopsy.

摘要

背景

转甲状腺素蛋白(TTR)淀粉样变性(遗传性或野生型)的特征是错误折叠的不溶性淀粉样纤维沉积在间质空间,导致受累器官功能障碍。心脏受累情况可能各不相同,从呼吸困难、水肿、心律失常到明显的心衰和死亡。

病例报告

一名79岁的白种男性出现呼吸困难、水肿和体重增加。超声心动图显示左心室壁增厚和限制性心肌病。骨闪烁显像显示心脏示踪剂摄取异常,符合心脏TTR淀粉样变性,这可通过心内膜活检得到证实。

结论

TTR淀粉样变性的诊断对临床医生具有挑战性,需要他们提高警惕。明确诊断需要一种结构化方法,包括实验室和影像学检查结果以及心内膜活检。

https://cdn.ncbi.nlm.nih.gov/pmc/blobs/4f8d/9399020/9828ddab6074/108_2022_1358_Fig1_HTML.jpg

文献AI研究员

20分钟写一篇综述,助力文献阅读效率提升50倍。

立即体验

用中文搜PubMed

大模型驱动的PubMed中文搜索引擎

马上搜索

文档翻译

学术文献翻译模型,支持多种主流文档格式。

立即体验