• 文献检索
  • 文档翻译
  • 深度研究
  • 学术资讯
  • Suppr Zotero 插件Zotero 插件
  • 邀请有礼
  • 套餐&价格
  • 历史记录
应用&插件
Suppr Zotero 插件Zotero 插件浏览器插件Mac 客户端Windows 客户端微信小程序
定价
高级版会员购买积分包购买API积分包
服务
文献检索文档翻译深度研究API 文档MCP 服务
关于我们
关于 Suppr公司介绍联系我们用户协议隐私条款
关注我们

Suppr 超能文献

核心技术专利:CN118964589B侵权必究
粤ICP备2023148730 号-1Suppr @ 2026

文献检索

告别复杂PubMed语法,用中文像聊天一样搜索,搜遍4000万医学文献。AI智能推荐,让科研检索更轻松。

立即免费搜索

文件翻译

保留排版,准确专业,支持PDF/Word/PPT等文件格式,支持 12+语言互译。

免费翻译文档

深度研究

AI帮你快速写综述,25分钟生成高质量综述,智能提取关键信息,辅助科研写作。

立即免费体验

小胶质细胞特异性敲除组蛋白去乙酰化酶 3 可促进创伤性脑损伤小鼠模型中的炎症消退、白质完整性和功能恢复。

Microglia-specific deletion of histone deacetylase 3 promotes inflammation resolution, white matter integrity, and functional recovery in a mouse model of traumatic brain injury.

机构信息

Pittsburgh Institute of Brain Disorders & Recovery and Department of Neurology, University of Pittsburgh, Pittsburgh, PA, 15213, USA.

Geriatric Research, Education and Clinical Center, Veterans Affairs Pittsburgh Health Care System, Pittsburgh, PA, 15261, USA.

出版信息

J Neuroinflammation. 2022 Aug 6;19(1):201. doi: 10.1186/s12974-022-02563-2.

DOI:10.1186/s12974-022-02563-2
PMID:35933343
原文链接:https://pmc.ncbi.nlm.nih.gov/articles/PMC9357327/
Abstract

BACKGROUND

Histone deacetylases (HDACs) are believed to exacerbate traumatic brain injury (TBI) based on studies using pan-HDAC inhibitors. However, the HDAC isoform responsible for the detrimental effects and the cell types involved remain unknown, which may hinder the development of specific targeting strategies that boost therapeutic efficacy while minimizing side effects. Microglia are important mediators of post-TBI neuroinflammation and critically impact TBI outcome. HDAC3 was reported to be essential to the inflammatory program of in vitro cultured macrophages, but its role in microglia and in the post-TBI brain has not been investigated in vivo.

METHODS

We generated HDAC3 mice and crossed them with CX3CR1 mice, enabling in vivo conditional deletion of HDAC3. Microglia-specific HDAC3 knockout (HDAC3 miKO) was induced in CX3CR1:HDAC3 mice with 5 days of tamoxifen treatment followed by a 30-day development interval. The effects of HDAC3 miKO on microglial phenotype and neuroinflammation were examined 3-5 days after TBI induced by controlled cortical impact. Neurological deficits and the integrity of white matter were assessed for 6 weeks after TBI by neurobehavioral tests, immunohistochemistry, electron microscopy, and electrophysiology.

RESULTS

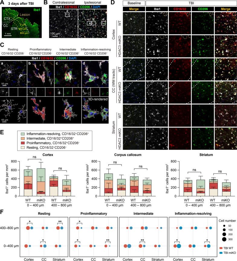
HDAC3 miKO mice harbored specific deletion of HDAC3 in microglia but not in peripheral monocytes. HDAC3 miKO reduced the number of microglia by 26%, but did not alter the inflammation level in the homeostatic brain. After TBI, proinflammatory microglial responses and brain inflammation were markedly alleviated by HDAC3 miKO, whereas the infiltration of blood immune cells was unchanged, suggesting a primary effect of HDAC3 miKO on modulating microglial phenotype. Importantly, HDAC3 miKO was sufficient to facilitate functional recovery for 6 weeks after TBI. TBI-induced injury to axons and myelin was ameliorated, and signal conduction by white matter fiber tracts was significantly enhanced in HDAC3 miKO mice.

CONCLUSION

Using a novel microglia-specific conditional knockout mouse model, we delineated for the first time the role of microglial HDAC3 after TBI in vivo. HDAC3 miKO not only reduced proinflammatory microglial responses, but also elicited long-lasting improvement of white matter integrity and functional recovery after TBI. Microglial HDAC3 is therefore a promising therapeutic target to improve long-term outcomes after TBI.

摘要

背景

基于使用泛组蛋白去乙酰化酶(HDAC)抑制剂的研究,人们认为组蛋白去乙酰化酶(HDACs)会加重创伤性脑损伤(TBI)。然而,负责产生有害影响的 HDAC 同工型以及涉及的细胞类型仍不清楚,这可能会阻碍特定靶向策略的发展,这些策略既能提高治疗效果,又能将副作用降至最低。小胶质细胞是 TBI 后神经炎症的重要介质,对 TBI 结果有重大影响。据报道,HDAC3 对于体外培养的巨噬细胞中的炎症程序是必不可少的,但它在小胶质细胞中和 TBI 后的大脑中的作用尚未在体内进行研究。

方法

我们生成了 HDAC3 敲除小鼠,并将其与 CX3CR1 小鼠杂交,使体内条件性删除 HDAC3。用 5 天的他莫昔芬处理诱导 CX3CR1:HDAC3 小鼠中的小胶质细胞特异性 HDAC3 敲除(HDAC3 miKO),然后间隔 30 天发育。在通过皮质控制冲击诱导 TBI 后 3-5 天,用 HDAC3 miKO 检测小胶质细胞表型和神经炎症的影响。通过神经行为测试、免疫组织化学、电子显微镜和电生理学评估 TBI 后 6 周的神经功能缺损和白质完整性。

结果

HDAC3 miKO 小鼠的小胶质细胞中特异性缺失了 HDAC3,但外周单核细胞中没有缺失。HDAC3 miKO 使小胶质细胞的数量减少了 26%,但在稳态大脑中并未改变炎症水平。TBI 后,HDAC3 miKO 显著减轻了促炎小胶质细胞反应和脑炎症,而血液免疫细胞的浸润没有改变,这表明 HDAC3 miKO 对小胶质细胞表型的调节具有主要作用。重要的是,HDAC3 miKO 足以促进 TBI 后 6 周的功能恢复。HDAC3 miKO 改善了 TBI 诱导的轴突和髓鞘损伤,并显著增强了白质纤维束的信号传导。

结论

使用新型小胶质细胞特异性条件性敲除小鼠模型,我们首次在体内描绘了 TBI 后小胶质细胞中 HDAC3 的作用。HDAC3 miKO 不仅减少了促炎小胶质细胞反应,还引起了 TBI 后白质完整性和功能恢复的持久改善。因此,小胶质细胞 HDAC3 是改善 TBI 后长期预后的有前途的治疗靶点。

https://cdn.ncbi.nlm.nih.gov/pmc/blobs/6fa7/9357327/5c3381971725/12974_2022_2563_Fig6_HTML.jpg
https://cdn.ncbi.nlm.nih.gov/pmc/blobs/6fa7/9357327/7456419f736d/12974_2022_2563_Fig1_HTML.jpg
https://cdn.ncbi.nlm.nih.gov/pmc/blobs/6fa7/9357327/592308ef473d/12974_2022_2563_Fig2_HTML.jpg
https://cdn.ncbi.nlm.nih.gov/pmc/blobs/6fa7/9357327/0071b7ad64d7/12974_2022_2563_Fig3_HTML.jpg
https://cdn.ncbi.nlm.nih.gov/pmc/blobs/6fa7/9357327/375b6d350b48/12974_2022_2563_Fig4_HTML.jpg
https://cdn.ncbi.nlm.nih.gov/pmc/blobs/6fa7/9357327/aa4c642d3fc4/12974_2022_2563_Fig5_HTML.jpg
https://cdn.ncbi.nlm.nih.gov/pmc/blobs/6fa7/9357327/5c3381971725/12974_2022_2563_Fig6_HTML.jpg
https://cdn.ncbi.nlm.nih.gov/pmc/blobs/6fa7/9357327/7456419f736d/12974_2022_2563_Fig1_HTML.jpg
https://cdn.ncbi.nlm.nih.gov/pmc/blobs/6fa7/9357327/592308ef473d/12974_2022_2563_Fig2_HTML.jpg
https://cdn.ncbi.nlm.nih.gov/pmc/blobs/6fa7/9357327/0071b7ad64d7/12974_2022_2563_Fig3_HTML.jpg
https://cdn.ncbi.nlm.nih.gov/pmc/blobs/6fa7/9357327/375b6d350b48/12974_2022_2563_Fig4_HTML.jpg
https://cdn.ncbi.nlm.nih.gov/pmc/blobs/6fa7/9357327/aa4c642d3fc4/12974_2022_2563_Fig5_HTML.jpg
https://cdn.ncbi.nlm.nih.gov/pmc/blobs/6fa7/9357327/5c3381971725/12974_2022_2563_Fig6_HTML.jpg

相似文献

1
Microglia-specific deletion of histone deacetylase 3 promotes inflammation resolution, white matter integrity, and functional recovery in a mouse model of traumatic brain injury.小胶质细胞特异性敲除组蛋白去乙酰化酶 3 可促进创伤性脑损伤小鼠模型中的炎症消退、白质完整性和功能恢复。
J Neuroinflammation. 2022 Aug 6;19(1):201. doi: 10.1186/s12974-022-02563-2.
2
Microglial histone deacetylase 2 is dispensable for functional and histological outcomes in a mouse model of traumatic brain injury.小胶质细胞组蛋白去乙酰化酶 2 在创伤性脑损伤小鼠模型中的功能和组织学结果中不是必需的。
J Cereb Blood Flow Metab. 2024 May;44(5):817-835. doi: 10.1177/0271678X231197173. Epub 2023 Dec 9.
3
CD36 deletion prevents white matter injury by modulating microglia polarization through the Traf5-MAPK signal pathway.CD36 缺失通过调节 Traf5-MAPK 信号通路来改变小胶质细胞极化,从而防止白质损伤。
J Neuroinflammation. 2024 Jun 5;21(1):148. doi: 10.1186/s12974-024-03143-2.
4
Quercetin alleviates microglial-induced inflammation after traumatic brain injury via the PGC-1α/Nrf2 pathway dependent on HDAC3 inhibition.槲皮素通过依赖于组蛋白去乙酰化酶3抑制的PGC-1α/Nrf2途径减轻创伤性脑损伤后小胶质细胞诱导的炎症反应。
Brain Res Bull. 2024 Oct 15;217:111080. doi: 10.1016/j.brainresbull.2024.111080. Epub 2024 Sep 12.
5
Deletion of PTEN in microglia ameliorates chronic neuroinflammation following repetitive mTBI.小胶质细胞中 PTEN 的缺失可改善重复 mTBI 后的慢性神经炎症。
Mol Cell Neurosci. 2023 Jun;125:103855. doi: 10.1016/j.mcn.2023.103855. Epub 2023 Apr 20.
6
Microglial Depletion with CSF1R Inhibitor During Chronic Phase of Experimental Traumatic Brain Injury Reduces Neurodegeneration and Neurological Deficits.实验性创伤性脑损伤慢性期使用 CSF1R 抑制剂耗竭小胶质细胞可减少神经退行性变和神经功能缺损。
J Neurosci. 2020 Apr 1;40(14):2960-2974. doi: 10.1523/JNEUROSCI.2402-19.2020. Epub 2020 Feb 24.
7
Microglial-oligodendrocyte interactions in myelination and neurological function recovery after traumatic brain injury.小胶质细胞-少突胶质细胞相互作用在创伤性脑损伤后的髓鞘形成和神经功能恢复中的作用。
J Neuroinflammation. 2022 Oct 5;19(1):246. doi: 10.1186/s12974-022-02608-6.
8
TREM2 alleviates white matter injury after traumatic brain injury in mice might be mediated by regulation of DHCR24/LXR pathway in microglia.TREM2减轻小鼠创伤性脑损伤后的白质损伤可能是通过调节小胶质细胞中的DHCR24/LXR通路介导的。
Clin Transl Med. 2024 Apr;14(4):e1665. doi: 10.1002/ctm2.1665.
9
Cordycepin confers long-term neuroprotection via inhibiting neutrophil infiltration and neuroinflammation after traumatic brain injury.虫草素通过抑制创伤性脑损伤后中性粒细胞浸润和神经炎症发挥长期神经保护作用。
J Neuroinflammation. 2021 Jun 15;18(1):137. doi: 10.1186/s12974-021-02188-x.
10
HDAC inhibition prevents white matter injury by modulating microglia/macrophage polarization through the GSK3β/PTEN/Akt axis.组蛋白去乙酰化酶抑制通过GSK3β/PTEN/Akt轴调节小胶质细胞/巨噬细胞极化来预防白质损伤。
Proc Natl Acad Sci U S A. 2015 Mar 3;112(9):2853-8. doi: 10.1073/pnas.1501441112. Epub 2015 Feb 17.

引用本文的文献

1
Inflammatory links between epilepsy and depression: a review of mechanisms and therapeutic strategies.癫痫与抑郁症之间的炎症联系:机制与治疗策略综述
Front Neurosci. 2025 Jun 26;19:1614297. doi: 10.3389/fnins.2025.1614297. eCollection 2025.
2
Inhibition of HDAC3 induces neuroprotection by activating the Npas4 signaling pathway following surgical brain injury in rats.抑制HDAC3通过激活大鼠脑损伤手术后的Npas4信号通路诱导神经保护作用。
Iran J Basic Med Sci. 2025;28(8):1004-1011. doi: 10.22038/ijbms.2025.80235.17372.
3
Targeting HDAC3 Suppresses Ferroptosis and Demyelination in White Matter Injury by Restoring PDK4-Mediated Iron Homeostasis.

本文引用的文献

1
A review of the pathology and treatment of TBI and PTSD.创伤性脑损伤和创伤后应激障碍的病理学与治疗综述。
Exp Neurol. 2022 May;351:114009. doi: 10.1016/j.expneurol.2022.114009. Epub 2022 Feb 9.
2
Novel microglia-mediated mechanisms underlying synaptic loss and cognitive impairment after traumatic brain injury.新型小胶质细胞介导的创伤性脑损伤后突触丢失和认知障碍的机制。
Brain Behav Immun. 2021 Nov;98:122-135. doi: 10.1016/j.bbi.2021.08.210. Epub 2021 Aug 14.
3
Intranasal delivery of interleukin-4 attenuates chronic cognitive deficits via beneficial microglial responses in experimental traumatic brain injury.
靶向HDAC3通过恢复PDK4介导的铁稳态抑制白质损伤中的铁死亡和脱髓鞘。
CNS Neurosci Ther. 2025 Jun;31(6):e70471. doi: 10.1111/cns.70471.
4
Potential therapeutic targets for ischemic stroke in pre-clinical studies: Epigenetic-modifying enzymes DNMT/TET and HAT/HDAC.临床前研究中缺血性中风的潜在治疗靶点:表观遗传修饰酶DNMT/TET和HAT/HDAC。
Front Pharmacol. 2025 Apr 28;16:1571276. doi: 10.3389/fphar.2025.1571276. eCollection 2025.
5
HDAC3 as an Emerging Therapeutic Target for Alzheimer's Disease and other Neurological Disorders.组蛋白去乙酰化酶3作为阿尔茨海默病和其他神经疾病的新兴治疗靶点。
Mol Neurobiol. 2025 Mar 24. doi: 10.1007/s12035-025-04866-w.
6
Histone deacetylases: the critical enzymes for microglial activation involved in neuropathic pain.组蛋白去乙酰化酶:参与神经性疼痛的小胶质细胞激活的关键酶
Front Pharmacol. 2025 Mar 6;16:1515787. doi: 10.3389/fphar.2025.1515787. eCollection 2025.
7
Reversing Persistent PTEN Activation after Traumatic Brain Injury Fuels Long-Term Axonal Regeneration via Akt/mTORC1 Signaling Cascade.创伤性脑损伤后逆转持续性PTEN激活通过Akt/mTORC1信号级联促进长期轴突再生。
Adv Sci (Weinh). 2025 Feb;12(6):e2410136. doi: 10.1002/advs.202410136. Epub 2024 Dec 16.
8
The Two Faces of HDAC3: Neuroinflammation in Disease and Neuroprotection in Recovery.HDAC3的两面性:疾病中的神经炎症与恢复过程中的神经保护作用
Epigenomics. 2024 Nov-Nov;16(21-22):1373-1388. doi: 10.1080/17501911.2024.2419357. Epub 2024 Nov 8.
9
Unraveling the molecular complexity: Wtap/Ythdf1 and Lcn2 in novel traumatic brain injury secondary injury mechanisms.揭示分子复杂性:Wtap/Ythdf1 和 Lcn2 在新型创伤性脑损伤继发损伤机制中的作用。
Cell Biol Toxicol. 2024 Aug 7;40(1):65. doi: 10.1007/s10565-024-09909-x.
10
TREM2 alleviates white matter injury after traumatic brain injury in mice might be mediated by regulation of DHCR24/LXR pathway in microglia.TREM2减轻小鼠创伤性脑损伤后的白质损伤可能是通过调节小胶质细胞中的DHCR24/LXR通路介导的。
Clin Transl Med. 2024 Apr;14(4):e1665. doi: 10.1002/ctm2.1665.
鼻内递送白细胞介素-4 通过实验性创伤性脑损伤中的有益小胶质细胞反应减轻慢性认知障碍。
J Cereb Blood Flow Metab. 2021 Nov;41(11):2870-2886. doi: 10.1177/0271678X211028680. Epub 2021 Jul 14.
4
Inhibition of TGFβ-activated kinase 1 promotes inflammation-resolving microglial/macrophage responses and recovery after stroke in ovariectomized female mice.抑制 TGFβ 激活激酶 1 可促进中风后卵巢切除雌性小鼠小胶质细胞/巨噬细胞炎症消退反应和恢复。
Neurobiol Dis. 2021 Apr;151:105257. doi: 10.1016/j.nbd.2021.105257. Epub 2021 Jan 9.
5
Proton extrusion during oxidative burst in microglia exacerbates pathological acidosis following traumatic brain injury.氧化爆发期间质子外排会加剧创伤性脑损伤后的病理性酸中毒。
Glia. 2021 Mar;69(3):746-764. doi: 10.1002/glia.23926. Epub 2020 Oct 22.
6
Interleukin-4 improves white matter integrity and functional recovery after murine traumatic brain injury via oligodendroglial PPARγ.白细胞介素-4 通过少突胶质细胞过氧化物酶体增殖物激活受体γ改善外伤性脑损伤后大鼠的白质完整性和功能恢复。
J Cereb Blood Flow Metab. 2021 Mar;41(3):511-529. doi: 10.1177/0271678X20941393. Epub 2020 Aug 5.
7
Novel Hexb-based tools for studying microglia in the CNS.用于研究中枢神经系统小胶质细胞的新型 Hexb 基工具。
Nat Immunol. 2020 Jul;21(7):802-815. doi: 10.1038/s41590-020-0707-4. Epub 2020 Jun 15.
8
Mesenchymal stem cell therapy alleviates the neuroinflammation associated with acquired brain injury.间充质干细胞治疗减轻获得性脑损伤相关的神经炎症。
CNS Neurosci Ther. 2020 Jun;26(6):603-615. doi: 10.1111/cns.13378. Epub 2020 May 1.
9
Microglial Depletion with CSF1R Inhibitor During Chronic Phase of Experimental Traumatic Brain Injury Reduces Neurodegeneration and Neurological Deficits.实验性创伤性脑损伤慢性期使用 CSF1R 抑制剂耗竭小胶质细胞可减少神经退行性变和神经功能缺损。
J Neurosci. 2020 Apr 1;40(14):2960-2974. doi: 10.1523/JNEUROSCI.2402-19.2020. Epub 2020 Feb 24.
10
Transforming Growth Factor Beta-Activated Kinase 1-Dependent Microglial and Macrophage Responses Aggravate Long-Term Outcomes After Ischemic Stroke.转化生长因子-β激活激酶 1 依赖性小胶质细胞和巨噬细胞反应加重缺血性脑卒中后的长期结局。
Stroke. 2020 Mar;51(3):975-985. doi: 10.1161/STROKEAHA.119.028398. Epub 2020 Feb 12.