Suppr超能文献

一种导致耻骨气性骨髓炎的罕见兼性厌氧菌。

A Rare Facultative Anaerobe Causing Emphysematous Osteomyelitis of the Pubic Bone.

作者信息

Iftikhar Samra, Iftikhar Sidrah, Ijaz Nadeem, Akhtar Mehmood, Gul Hina

机构信息

Diagnostic Radiology, Khyber Teaching Hospital Medical Teaching Institution (MTI), Peshawar, PAK.

Medicine, Hayatabad Medical Complex Peshawar, Peshawar, PAK.

出版信息

Cureus. 2022 Jul 5;14(7):e26575. doi: 10.7759/cureus.26575. eCollection 2022 Jul.

Abstract

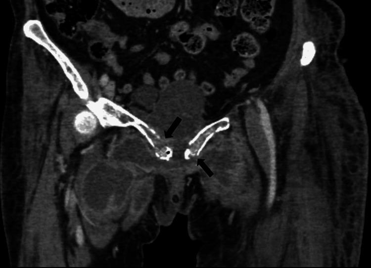
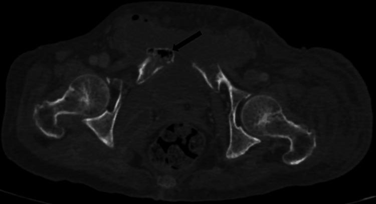
Emphysematous osteomyelitis is an uncommon and fatal disease that can only be confirmed with a contrast-enhanced CT scan showing characteristic features of air locules within the bone. It usually occurs in the setting of existing comorbidities and suppressed immune system resulting in widespread bacteremia which may be mono or poly-microbial. Presented here is a case of this disease caused by an unusual anaerobe affecting the pubic bone. This case emphasizes the importance of early imaging as it is crucial for the diagnosis and can facilitate early aggressive management. Moreover, it highlights the importance of early intravenous antibiotics and surgical intervention, which can be life-saving and result in a better outcome in the future.

摘要

气肿性骨髓炎是一种罕见的致命疾病,只有通过增强CT扫描显示骨内有特征性的小气腔才能确诊。它通常发生在存在合并症和免疫系统抑制的情况下,导致广泛的菌血症,可能是单一微生物或多种微生物感染。本文介绍了一例由一种不常见的厌氧菌引起的耻骨气肿性骨髓炎病例。该病例强调了早期影像学检查的重要性,因为它对诊断至关重要,并且有助于早期积极治疗。此外,它突出了早期静脉使用抗生素和手术干预的重要性,这可能挽救生命并在未来带来更好的结果。

https://cdn.ncbi.nlm.nih.gov/pmc/blobs/f2f7/9351716/61bd5d754d21/cureus-0014-00000026575-i01.jpg

文献AI研究员

20分钟写一篇综述,助力文献阅读效率提升50倍。

立即体验

用中文搜PubMed

大模型驱动的PubMed中文搜索引擎

马上搜索

文档翻译

学术文献翻译模型,支持多种主流文档格式。

立即体验