Suppr超能文献

基于解剖定位的单纯性周围动静脉畸形新分类:来自中国三级转诊中心的患病率数据。

Novel classification for simple peripheral arteriovenous malformations based on anatomic localization: Prevalence data from the tertiary referral center in China.

作者信息

Shen Yuchen, Wang Zhenfeng, Yang Xitao, Zheng Lianzhou, Wen Mingzhe, Han Yifeng, Li Xiao, Zhang Liming, Wang Jingbing, You Jianxiong, Jiang Chunyu, Su Lixin, Fan Xindong, Wang Deming

机构信息

Vascular Anomaly Center, Department of Interventional Therapy, Shanghai Ninth People's Hospital, Shanghai Jiao Tong University School of Medicine, Shanghai, China.

出版信息

Front Cardiovasc Med. 2022 Jul 22;9:935313. doi: 10.3389/fcvm.2022.935313. eCollection 2022.

Abstract

BACKGROUND

In absence of the large-sample study of simple peripheral arteriovenous malfomations (pAVM), we aimed to perform the epidemiological analysis of over 1,000 simple pAVM patients from our center in the past 5 years, and establish a novel classification based on the anatomical localization of the primary lesion.

RESULTS

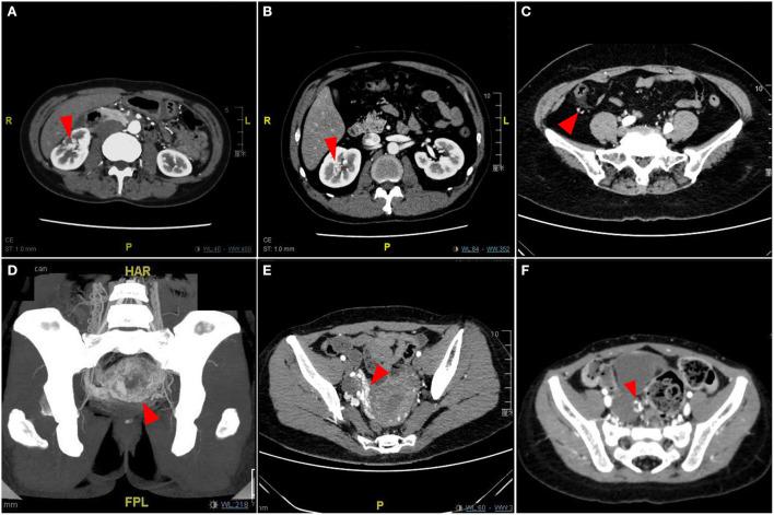
Between March 27, 2016, and March 31, 2021, Chinese patients who were diagnosed with simple pAVM were taken into account. Those who suffered from simple arteriovenous malformations of the central nervous system (cnsAVM), combined types of AVM, and syndromes, such as CLOVES syndrome, etc. were all excluded from this study. A total of 1,070 simple pAVM patients were screened out. All of the simple pAVM patients were diagnosed by clinical manifestations and imaging examinations. Demographic data were obtained from the National Bureau of Statistics of China. The 5-year prevalence of simple pAVM was about (2.15-6.60) /1,000,000 population. The male-female ratio was approximately 1.22:1. The pAVM inpatients that were included in the age group of 21~30 years old had the highest constituent ratio ( = 0.01). The classification included four groups: Type I (primarily occurring in soft tissue); Type II (primarily occurring in bone); Type III (primarily occurring in the viscus) and Type IV (simple pAVM coexisting with CNS lesions). There were two subtypes of Type I: the A subtype (involving one major anatomical region) and the B subtype (involving two or more major anatomical regions); two subtypes of Type II: the A subtype (the cortex was intact) and the B subtype (the lesion had broken through the cortex). Generally, 657 patients were classified as Type IA (61.4%), 232 patients were Type IB (21.7%), 82 patients were Type IIA (7.7%) and 79 were categorized as Type IIB (7.4%); the number of patients who had Type III and Type IV pAVM were 9 (0.8%) and 11 (1.0%), respectively. The clinical manifestations and diagnostic standards for each type were also systematically summarized.

CONCLUSIONS

Prevalence data for simple pAVM were analyzed, and a novel classification was proposed based on the anatomy of the lesions. The present work was expected to facilitate the diagnosis of simple pAVM in clinical works.

摘要

背景

由于缺乏对单纯性外周动静脉畸形(pAVM)的大样本研究,我们旨在对过去5年来自本中心的1000余例单纯性pAVM患者进行流行病学分析,并根据原发病变的解剖定位建立一种新的分类方法。

结果

纳入2016年3月27日至2021年3月31日期间诊断为单纯性pAVM的中国患者。患有中枢神经系统单纯性动静脉畸形(cnsAVM)、AVM合并类型以及CLOVES综合征等综合征的患者均被排除在本研究之外。共筛选出1070例单纯性pAVM患者。所有单纯性pAVM患者均通过临床表现和影像学检查确诊。人口统计学数据来自中国国家统计局。单纯性pAVM的5年患病率约为(2.15 - 6.60)/100万人口。男女比例约为1.22:1。年龄在21至30岁组的pAVM住院患者构成比最高( = 0.01)。分类包括四组:I型(主要发生于软组织);II型(主要发生于骨骼);III型(主要发生于脏器)和IV型(单纯性pAVM合并中枢神经系统病变)。I型有两个亚型:A亚型(累及一个主要解剖区域)和B亚型(累及两个或更多主要解剖区域);II型有两个亚型:A亚型(皮质完整)和B亚型(病变已突破皮质)。一般来说,657例患者被分类为IA型(61.4%),232例为IB型(21.7%),82例为IIA型(7.7%),79例为IIB型(7.4%);患有III型和IV型pAVM的患者数量分别为9例(0.8%)和11例(1.0%)。还系统总结了各类型的临床表现和诊断标准。

结论

分析了单纯性pAVM的患病率数据,并基于病变解剖结构提出了一种新的分类方法。期望本研究有助于临床工作中单纯性pAVM的诊断。

https://cdn.ncbi.nlm.nih.gov/pmc/blobs/802d/9356220/40860dc5a3a2/fcvm-09-935313-g0001.jpg

文献AI研究员

20分钟写一篇综述,助力文献阅读效率提升50倍。

立即体验

用中文搜PubMed

大模型驱动的PubMed中文搜索引擎

马上搜索

文档翻译

学术文献翻译模型,支持多种主流文档格式。

立即体验