• 文献检索
  • 文档翻译
  • 深度研究
  • 学术资讯
  • Suppr Zotero 插件Zotero 插件
  • 邀请有礼
  • 套餐&价格
  • 历史记录
应用&插件
Suppr Zotero 插件Zotero 插件浏览器插件Mac 客户端Windows 客户端微信小程序
定价
高级版会员购买积分包购买API积分包
服务
文献检索文档翻译深度研究API 文档MCP 服务
关于我们
关于 Suppr公司介绍联系我们用户协议隐私条款
关注我们

Suppr 超能文献

核心技术专利:CN118964589B侵权必究
粤ICP备2023148730 号-1Suppr @ 2026

文献检索

告别复杂PubMed语法,用中文像聊天一样搜索,搜遍4000万医学文献。AI智能推荐,让科研检索更轻松。

立即免费搜索

文件翻译

保留排版,准确专业,支持PDF/Word/PPT等文件格式,支持 12+语言互译。

免费翻译文档

深度研究

AI帮你快速写综述,25分钟生成高质量综述,智能提取关键信息,辅助科研写作。

立即免费体验

由下一代测序诊断的合并有 Papiliotrema flavescens 感染的肺癌:病例报告。

Lung cancer coexisting with Papiliotrema flavescens infection diagnosed by next-generation sequencing: a case report.

机构信息

Department of Thoracic Surgery, Changzheng Hospital, Naval Medical University, 415 Fengyang Road, Shanghai, 200003, China.

Department of Pathology, Changzheng Hospital, Naval Medical University, Shanghai, China.

出版信息

BMC Infect Dis. 2022 Aug 9;22(1):684. doi: 10.1186/s12879-022-07591-0.

DOI:10.1186/s12879-022-07591-0
PMID:35945495
原文链接:https://pmc.ncbi.nlm.nih.gov/articles/PMC9361596/
Abstract

BACKGROUND

Papiliotrema flavescens is a rare environmental yeast, which has been isolated from air, trees, kernels of wheat and corn, fermenting soya sauce, and cerebrospinal fluid of patient with AIDS. Additionally, it is also reported to cause subcutaneous infection in a dog. In this case, we describe primary lung adenocarcinoma coexisting with Papiliotrema flavescens infection in a female patient diagnosed by next-generation sequencing (NGS) technique, which is the first such reported case.

CASE PRESENTATION

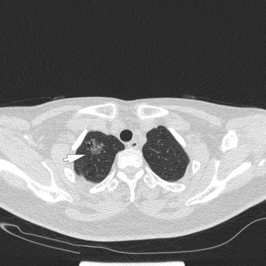
The patient was a 52-year-old female with recurrent cough for 3 months. Chest CT examination revealed a ground glass nodule of 17 * 23 * 18 mm in the right upper lung, and 3 new pulmonary nodules appeared around it 2 months later. The patient underwent right upper lobe lobectomy and pathology confirmed that the primary 2-cm-lesion in the right upper lobe was invasive lung adenocarcinoma, and two of the three surrounding lung nodules were pathologically suggestive of pulmonary fungal infection (not known in specific fungal types). Hence, the patient received empirical anti-fungal treatments with fluconazole 400 mg/day for a week and follow-up CT scanning showed no tumor progression and no relapse of fungal infection. The specific pathogen was eventually identified as Papiliotrema flavescens by the next-generation sequencing of pathogen.

DISCUSSION AND CONCLUSION

We first reported that lung cancer coexisting with Papiliotrema flavescens infection in a female patient. The diagnosis of lung cancer with typical CT imaging features is relatively simple, while the diagnosis of lung cancer coexisting with rare fungal infection is challenging. NGS technique is an effective supplementary technique for clinical diagnosis of bacterial or fungal infectious diseases, enabling precise clinical decision-making and appropriate treatment. In this case, the lung cancer may result in a degree of immune suppression, at least locally, resulting in the formation of pulmonary fungal nodular lesions around the tumor.

摘要

背景

黄灰孔菌是一种罕见的环境酵母,已从空气、树木、麦粒和玉米粒、发酵酱油以及艾滋病患者的脑脊液中分离出来。此外,它也有报道会引起狗的皮下感染。在本病例中,我们描述了一例女性患者通过下一代测序(NGS)技术诊断为原发性肺腺癌合并黄灰孔菌感染,这是首例此类报道。

病例介绍

患者为 52 岁女性,反复咳嗽 3 个月。胸部 CT 检查显示右肺上叶 172318mm 磨玻璃结节,2 个月后周围出现 3 个新的肺结节。患者接受了右上肺叶切除术,病理证实右肺上叶 2cm 原发性病变为浸润性肺腺癌,其中 3 个周围肺结节中的 2 个病理提示肺部真菌感染(具体真菌类型不详)。因此,患者接受氟康唑 400mg/天经验性抗真菌治疗 1 周,随访 CT 扫描显示肿瘤无进展,真菌感染无复发。通过病原体下一代测序最终确定病原体为黄灰孔菌。

讨论和结论

我们首次报道了一名女性患者肺癌合并黄灰孔菌感染。具有典型 CT 影像学特征的肺癌诊断相对简单,而肺癌合并罕见真菌感染的诊断具有挑战性。NGS 技术是细菌或真菌感染性疾病临床诊断的有效辅助技术,能够实现精准的临床决策和恰当的治疗。在本病例中,肺癌可能导致局部免疫抑制程度增加,从而在肿瘤周围形成肺部真菌性结节病变。

https://cdn.ncbi.nlm.nih.gov/pmc/blobs/c611/9361596/21c32e8d9df4/12879_2022_7591_Fig5_HTML.jpg
https://cdn.ncbi.nlm.nih.gov/pmc/blobs/c611/9361596/8eb916950218/12879_2022_7591_Fig1_HTML.jpg
https://cdn.ncbi.nlm.nih.gov/pmc/blobs/c611/9361596/77a36b71d402/12879_2022_7591_Fig2_HTML.jpg
https://cdn.ncbi.nlm.nih.gov/pmc/blobs/c611/9361596/b6140f75cf25/12879_2022_7591_Fig3_HTML.jpg
https://cdn.ncbi.nlm.nih.gov/pmc/blobs/c611/9361596/4fd3694f8d9d/12879_2022_7591_Fig4_HTML.jpg
https://cdn.ncbi.nlm.nih.gov/pmc/blobs/c611/9361596/21c32e8d9df4/12879_2022_7591_Fig5_HTML.jpg
https://cdn.ncbi.nlm.nih.gov/pmc/blobs/c611/9361596/8eb916950218/12879_2022_7591_Fig1_HTML.jpg
https://cdn.ncbi.nlm.nih.gov/pmc/blobs/c611/9361596/77a36b71d402/12879_2022_7591_Fig2_HTML.jpg
https://cdn.ncbi.nlm.nih.gov/pmc/blobs/c611/9361596/b6140f75cf25/12879_2022_7591_Fig3_HTML.jpg
https://cdn.ncbi.nlm.nih.gov/pmc/blobs/c611/9361596/4fd3694f8d9d/12879_2022_7591_Fig4_HTML.jpg
https://cdn.ncbi.nlm.nih.gov/pmc/blobs/c611/9361596/21c32e8d9df4/12879_2022_7591_Fig5_HTML.jpg

相似文献

1
Lung cancer coexisting with Papiliotrema flavescens infection diagnosed by next-generation sequencing: a case report.由下一代测序诊断的合并有 Papiliotrema flavescens 感染的肺癌:病例报告。
BMC Infect Dis. 2022 Aug 9;22(1):684. doi: 10.1186/s12879-022-07591-0.
2
Next-generation sequencing facilitates differentiating between multiple primary lung cancer and intrapulmonary metastasis: a case series.下一代测序有助于鉴别多原发性肺癌与肺内转移:病例系列研究
Diagn Pathol. 2021 Mar 11;16(1):21. doi: 10.1186/s13000-021-01083-6.
3
Pulmonary cryptococcosis coexisting with central type lung cancer in an immuocompetent patient: a case report and literature review.免疫功能正常患者肺部隐球菌病合并中央型肺癌 1 例报告并文献复习
BMC Pulm Med. 2020 Jun 5;20(1):161. doi: 10.1186/s12890-020-01200-z.
4
Cutaneous metastasis as a primary presentation of a pulmonary enteric adenocarcinoma.肺部肠型腺癌以皮肤转移为首发表现。
Int J Biol Markers. 2019 Dec;34(4):421-426. doi: 10.1177/1724600819877190. Epub 2019 Sep 26.
5
Talaromyces marneffei infection in a lung cancer patient: a rare case report.马尔尼菲篮状菌感染致肺癌 1 例报告
BMC Infect Dis. 2019 Apr 24;19(1):336. doi: 10.1186/s12879-019-3968-5.
6
Incidental early diagnosis of biphasic pulmonary blastoma in a patient with history of stage IV lung adenocarcinoma.在一名患有 IV 期肺腺癌病史的患者中偶然早期诊断出肺胚细胞瘤。
Thorac Cancer. 2020 Oct;11(10):3029-3033. doi: 10.1111/1759-7714.13629. Epub 2020 Aug 24.
7
Pulmonary invasive mucinous adenocarcinoma mimicking pulmonary actinomycosis.肺浸润性黏液性腺癌,类似于肺放线菌病。
BMC Pulm Med. 2022 May 6;22(1):181. doi: 10.1186/s12890-022-01971-7.
8
Membranous nephropathy in a patient with pulmonary tuberculosis infection and lung adenocarcinoma: a case report.肺结核感染和肺腺癌患者的膜性肾病:一例报告。
CEN Case Rep. 2022 Feb;11(1):126-133. doi: 10.1007/s13730-021-00641-7. Epub 2021 Aug 29.
9
Multiple pulmonary cavernous haemangiomas with concurrent primary pulmonary adenocarcinoma: a case report and literature review.多发性肺海绵状血管瘤合并原发性肺腺癌:1例报告及文献复习
Front Oncol. 2024 Jan 29;14:1353592. doi: 10.3389/fonc.2024.1353592. eCollection 2024.
10
Metagenomic next-generation sequencing as an unconventional approach to warn of tumor cells in a patients with non-mucinous pneumonic-type lung adenocarcinoma: Case report.基于宏基因组下一代测序的非常规方法在非黏液型肺腺泡型肺癌患者的肿瘤细胞预警中的应用:病例报告。
Medicine (Baltimore). 2022 Dec 23;101(51):e32448. doi: 10.1097/MD.0000000000032448.

引用本文的文献

1
A Review of Case Reports of Rare Clinical Yeast Infections in the Last Five Years.过去五年罕见临床酵母菌感染病例报告综述
Mycopathologia. 2025 Jun 20;190(4):56. doi: 10.1007/s11046-025-00962-6.

本文引用的文献

1
Diversity and phylogeny of basidiomycetous yeasts from plant leaves and soil: Proposal of two new orders, three new families, eight new genera and one hundred and seven new species.来自植物叶片和土壤的担子菌酵母的多样性与系统发育:两个新目、三个新科、八个新属及一百零七个新种的提议
Stud Mycol. 2020 Jan 28;96:17-140. doi: 10.1016/j.simyco.2020.01.002. eCollection 2020 Jun.
2
Multigene assessment of the species boundaries and sexual status of the basidiomycetous yeasts Cryptococcus flavescens and C. terrestris (Tremellales).对担子菌酵母黄褐隐球菌和土生隐球菌(银耳目)的物种界限和有性状态进行多基因评估。
PLoS One. 2015 Mar 26;10(3):e0120400. doi: 10.1371/journal.pone.0120400. eCollection 2015.
3
Phylogenetic analysis of phenotypically characterized Cryptococcus laurentii isolates reveals high frequency of cryptic species.
对表型特征明确的罗伦隐球菌分离株进行系统发育分析,结果显示隐匿种的频率很高。
PLoS One. 2014 Sep 24;9(9):e108633. doi: 10.1371/journal.pone.0108633. eCollection 2014.
4
The first reported case of canine subcutaneous Cryptococcus flavescens infection.首例犬皮下黄曲霉感染病例报告。
Mycopathologia. 2012 Mar;173(2-3):179-82. doi: 10.1007/s11046-011-9479-6. Epub 2011 Oct 2.
5
Pulmonary cryptococcosis within a pulmonary carcinoma-review of reported cases.肺癌合并肺隐球菌病——病例报告综述
Intern Med. 2006;45(6):369-72. doi: 10.2169/internalmedicine.45.1571. Epub 2006 Apr 17.
6
Three new combinations from the Cryptococcus laurentii complex: Cryptococcus aureus, Cryptococcus carnescens and Cryptococcus peneaus.罗伦隐球菌复合体中的三个新组合:金黄色隐球菌、肉色隐球菌和浅黄隐球菌。
Int J Syst Evol Microbiol. 2003 Jul;53(Pt 4):1187-1194. doi: 10.1099/ijs.0.02498-0.
7
Coexistent cryptococcosis and carcinoma within a solitary pulmonary nodule.孤立性肺结节内并存隐球菌病和癌。
Aust N Z J Med. 1999 Aug;29(4):561-2. doi: 10.1111/j.1445-5994.1999.tb00761.x.
8
Intraspecies diversity of Cryptococcus laurentii as revealed by sequences of internal transcribed spacer regions and 28S rRNA gene and taxonomic position of C. laurentii clinical isolates.通过内部转录间隔区序列和28S rRNA基因揭示的罗伦隐球菌种内多样性及罗伦隐球菌临床分离株的分类地位
J Clin Microbiol. 2000 Apr;38(4):1468-71. doi: 10.1128/JCM.38.4.1468-1471.2000.