• 文献检索
  • 文档翻译
  • 深度研究
  • 学术资讯
  • Suppr Zotero 插件Zotero 插件
  • 邀请有礼
  • 套餐&价格
  • 历史记录
应用&插件
Suppr Zotero 插件Zotero 插件浏览器插件Mac 客户端Windows 客户端微信小程序
定价
高级版会员购买积分包购买API积分包
服务
文献检索文档翻译深度研究API 文档MCP 服务
关于我们
关于 Suppr公司介绍联系我们用户协议隐私条款
关注我们

Suppr 超能文献

核心技术专利:CN118964589B侵权必究
粤ICP备2023148730 号-1Suppr @ 2026

文献检索

告别复杂PubMed语法,用中文像聊天一样搜索,搜遍4000万医学文献。AI智能推荐,让科研检索更轻松。

立即免费搜索

文件翻译

保留排版,准确专业,支持PDF/Word/PPT等文件格式,支持 12+语言互译。

免费翻译文档

深度研究

AI帮你快速写综述,25分钟生成高质量综述,智能提取关键信息,辅助科研写作。

立即免费体验

三例经腹腔镜经裂孔食管修复术治疗的博雷尔哈夫综合征病例

Three Cases of Boerhaave's Syndrome Treated via Laparoscopic Transhiatal Esophageal Repair.

作者信息

Kita Ryosuke, Kobayashi Hiroyuki, Nakao Kai, Iwaki Kentaro, Kondo Masato, Kaihara Satoshi

机构信息

Department of Surgery, Kobe City Medical Center General Hospital, Kobe, Japan.

出版信息

Case Rep Gastroenterol. 2022 Jun 17;16(2):406-412. doi: 10.1159/000525011. eCollection 2022 May-Aug.

DOI:10.1159/000525011
PMID:35949239
原文链接:https://pmc.ncbi.nlm.nih.gov/articles/PMC9251456/
Abstract

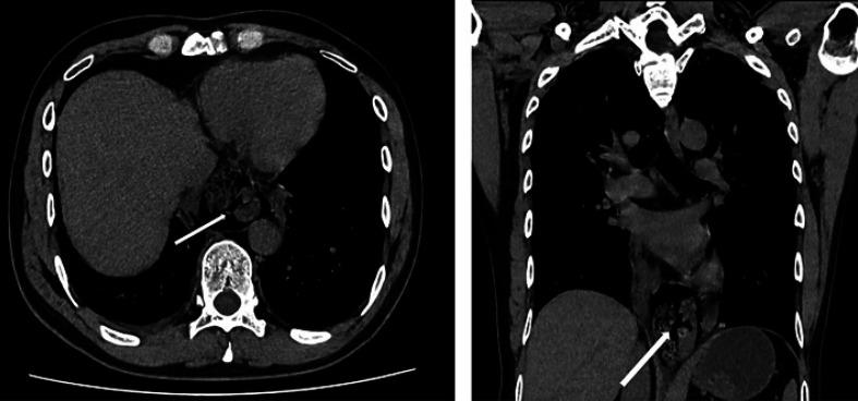
Spontaneous esophageal perforation in Boerhaave's syndrome results in significant morbidity and mortality. The gold standard treatment for this disease is thoracotomy and laparotomy because it can be a life-saving procedure that can be performed in emergencies; however, minimally invasive surgery has recently been reported. This report describes three cases of Boerhaave's syndrome that were treated using laparoscopic transhiatal suture and omental patch. One patient recovered uneventfully and was discharged from the hospital after 12 days. The other 2 patients had postoperative complications, such as minor leakage and remnant abscess (Clavien-Dindo Grade II), but were discharged from the hospital after 17 days and 30 days, respectively. In the case of Boerhaave's syndrome with localized mediastinal collections, a good clinical course can be obtained by laparoscopic transhiatal esophageal repair to avoid surgical invasion due to thoracotomy.

摘要

博赫哈夫综合征中的自发性食管穿孔会导致严重的发病率和死亡率。该病的金标准治疗方法是开胸手术和剖腹手术,因为这是一种可在紧急情况下实施的挽救生命的手术;然而,最近有关于微创手术的报道。本报告描述了3例采用腹腔镜经裂孔缝合和网膜补片治疗的博赫哈夫综合征病例。1例患者恢复顺利,术后12天出院。另外2例患者出现术后并发症,如轻微渗漏和残余脓肿(Clavien-Dindo二级),但分别于术后17天和30天出院。对于伴有局限性纵隔积液的博赫哈夫综合征,通过腹腔镜经裂孔食管修复术可获得良好的临床病程,以避免开胸手术带来的手术创伤。

https://cdn.ncbi.nlm.nih.gov/pmc/blobs/2503/9251456/0c6619aa939c/crg-0016-0406-g04.jpg
https://cdn.ncbi.nlm.nih.gov/pmc/blobs/2503/9251456/81b56194728a/crg-0016-0406-g01.jpg
https://cdn.ncbi.nlm.nih.gov/pmc/blobs/2503/9251456/cf46e9711aac/crg-0016-0406-g02.jpg
https://cdn.ncbi.nlm.nih.gov/pmc/blobs/2503/9251456/084ffbf4d913/crg-0016-0406-g03.jpg
https://cdn.ncbi.nlm.nih.gov/pmc/blobs/2503/9251456/0c6619aa939c/crg-0016-0406-g04.jpg
https://cdn.ncbi.nlm.nih.gov/pmc/blobs/2503/9251456/81b56194728a/crg-0016-0406-g01.jpg
https://cdn.ncbi.nlm.nih.gov/pmc/blobs/2503/9251456/cf46e9711aac/crg-0016-0406-g02.jpg
https://cdn.ncbi.nlm.nih.gov/pmc/blobs/2503/9251456/084ffbf4d913/crg-0016-0406-g03.jpg
https://cdn.ncbi.nlm.nih.gov/pmc/blobs/2503/9251456/0c6619aa939c/crg-0016-0406-g04.jpg

相似文献

1
Three Cases of Boerhaave's Syndrome Treated via Laparoscopic Transhiatal Esophageal Repair.三例经腹腔镜经裂孔食管修复术治疗的博雷尔哈夫综合征病例
Case Rep Gastroenterol. 2022 Jun 17;16(2):406-412. doi: 10.1159/000525011. eCollection 2022 May-Aug.
2
Minimally invasive surgical management of Boerhaave's syndrome: a narrative literature review.Boerhaave综合征的微创外科治疗:文献综述
J Thorac Dis. 2020 Aug;12(8):4411-4417. doi: 10.21037/jtd-20-1020.
3
Laparoscopic transhiatal suture and gastric valve as a safe and feasible treatment for Boerhaave's syndrome: an Italian single center case series study.腹腔镜经食管裂孔缝合和胃瓣作为 Boerhaave 综合征的一种安全可行的治疗方法:一项意大利单中心病例系列研究。
World J Emerg Surg. 2020 Jul 1;15(1):42. doi: 10.1186/s13017-020-00322-3.
4
Laparoscopic transhiatal suture closure for spontaneous esophageal rupture: a case report.腹腔镜经裂孔缝合术治疗自发性食管破裂:一例报告
Surg Case Rep. 2019 Oct 22;5(1):149. doi: 10.1186/s40792-019-0711-9.
5
Minimally invasive surgical management of spontaneous esophageal perforation (Boerhaave's syndrome).自发性食管穿孔(Boerhaave 综合征)的微创外科治疗。
Surg Endosc. 2019 Oct;33(10):3494-3502. doi: 10.1007/s00464-019-06863-2. Epub 2019 May 29.
6
Minimally Invasive Approach in Boerhaave's Syndrome: Case Series and Systematic Review.微创治疗 Boerhaave 综合征:病例系列和系统评价。
J Laparoendosc Adv Surg Tech A. 2021 Nov;31(11):1254-1261. doi: 10.1089/lap.2020.0751. Epub 2021 Jan 5.
7
Thoracoscopic primary repair with mediastinal drainage is a viable option for patients with Boerhaave's syndrome.对于患有博赫哈夫综合征的患者,胸腔镜下一期修复并纵隔引流是一种可行的选择。
J Thorac Dis. 2018 Feb;10(2):784-789. doi: 10.21037/jtd.2018.01.50.
8
Minimally invasive approach to Boerhaave's syndrome: a pilot study of three cases.布尔哈夫综合征的微创治疗方法:三例病例的初步研究。
Surg Endosc. 2002 Sep;16(9):1354-7. doi: 10.1007/s00464-001-9185-4. Epub 2002 May 23.
9
Boerhaave's syndrome in a patient with an upside down stomach: A case report.胃翻转患者的博雷哈夫综合征:一例报告。
Int J Surg Case Rep. 2016;19:51-4. doi: 10.1016/j.ijscr.2015.12.016. Epub 2015 Dec 17.
10
Third time recurrent Boerhaave's syndrome: a case report.第三次复发性博雷尔哈夫综合征:一例报告
J Med Case Rep. 2021 May 2;15(1):223. doi: 10.1186/s13256-021-02779-5.

引用本文的文献

1
Effects of the lavage through fistula in treatment of spontaneous esophageal rupture by combined thoracoscopic and gastroscopic management.经瘘口冲洗在胸腔镜与胃镜联合治疗自发性食管破裂中的作用
World J Emerg Surg. 2025 Jun 7;20(1):51. doi: 10.1186/s13017-025-00630-6.

本文引用的文献

1
Minimally invasive surgical management of Boerhaave's syndrome: a narrative literature review.Boerhaave综合征的微创外科治疗:文献综述
J Thorac Dis. 2020 Aug;12(8):4411-4417. doi: 10.21037/jtd-20-1020.
2
Laparoscopic transhiatal suture closure for spontaneous esophageal rupture: a case report.腹腔镜经裂孔缝合术治疗自发性食管破裂:一例报告
Surg Case Rep. 2019 Oct 22;5(1):149. doi: 10.1186/s40792-019-0711-9.
3
Oesophageal perforation - therapeutic and diagnostics challenge. Retrospective, single-center case report analysis (2009-2015).
食管穿孔——治疗与诊断的挑战。回顾性单中心病例报告分析(2009 - 2015年)
Pol Przegl Chir. 2017 Aug 31;89(4):1-4. doi: 10.5604/01.3001.0010.3899.
4
Minimally Invasive Versus Open Esophageal Resection: Three-year Follow-up of the Previously Reported Randomized Controlled Trial: the TIME Trial.微创与开放食管切除术的比较:先前报道的随机对照试验的 3 年随访:TIME 试验。
Ann Surg. 2017 Aug;266(2):232-236. doi: 10.1097/SLA.0000000000002171.
5
Endoscopic stent insertion versus primary operative management for spontaneous rupture of the esophagus (Boerhaave syndrome): an international study comparing the outcome.内镜下支架置入术与原发性手术治疗食管自发性破裂(博雷尔哈夫综合征)的国际疗效比较研究
Am Surg. 2013 Jun;79(6):634-40. doi: 10.1177/000313481307900627.
6
Laparoscopic repair of esophageal perforation due to Boerhaave syndrome.腹腔镜修复Boerhaave综合征所致食管穿孔
Surg Laparosc Endosc Percutan Tech. 2011 Aug;21(4):e203-5. doi: 10.1097/SLE.0b013e3182245771.
7
Adequate debridement and drainage of the mediastinum using open thoracotomy or video-assisted thoracoscopic surgery for Boerhaave's syndrome.对于 Boerhaave 综合征,采用开放性开胸术或电视辅助胸腔镜手术进行充分的纵隔清创和引流。
Surg Endosc. 2011 Aug;25(8):2492-7. doi: 10.1007/s00464-011-1571-y. Epub 2011 Feb 27.
8
The influence of the 'golden 24-h rule' on the prognosis of oesophageal perforation in the modern era.“黄金 24 小时法则”对现代食管穿孔预后的影响。
Eur J Cardiothorac Surg. 2010 Aug;38(2):216-22. doi: 10.1016/j.ejcts.2010.01.030. Epub 2010 Mar 20.
9
Hermann Boerhaave's Atrocis, nec descripti prius, morbi historia, the first translation of the classic case report of rupture of the esophagus, with annotations.赫尔曼·布尔哈夫斯的《食管破裂这一前所未有的严重疾病史》,食管破裂经典病例报告的首个译本,并附有注释。
Bull Med Libr Assoc. 1955 Apr;43(2):217-40.
10
Minimally invasive approach to Boerhaave's syndrome: a pilot study of three cases.布尔哈夫综合征的微创治疗方法:三例病例的初步研究。
Surg Endosc. 2002 Sep;16(9):1354-7. doi: 10.1007/s00464-001-9185-4. Epub 2002 May 23.