• 文献检索
  • 文档翻译
  • 深度研究
  • 学术资讯
  • Suppr Zotero 插件Zotero 插件
  • 邀请有礼
  • 套餐&价格
  • 历史记录
应用&插件
Suppr Zotero 插件Zotero 插件浏览器插件Mac 客户端Windows 客户端微信小程序
定价
高级版会员购买积分包购买API积分包
服务
文献检索文档翻译深度研究API 文档MCP 服务
关于我们
关于 Suppr公司介绍联系我们用户协议隐私条款
关注我们

Suppr 超能文献

核心技术专利:CN118964589B侵权必究
粤ICP备2023148730 号-1Suppr @ 2026

文献检索

告别复杂PubMed语法,用中文像聊天一样搜索,搜遍4000万医学文献。AI智能推荐,让科研检索更轻松。

立即免费搜索

文件翻译

保留排版,准确专业,支持PDF/Word/PPT等文件格式,支持 12+语言互译。

免费翻译文档

深度研究

AI帮你快速写综述,25分钟生成高质量综述,智能提取关键信息,辅助科研写作。

立即免费体验

雷帕霉素-非格司亭联合疗法改善门静脉高压诱导的脾肿大:β肌动蛋白和S100A9蛋白调节的作用

Rapamycin-filgrastim combination therapy ameliorates portal hypertension-induced splenomegaly: Role of β actin and S100A9 proteins modulation.

作者信息

Abdelrahman Shaimaa A, Abdelfatah Mohammed M, Keshta Akaber T

机构信息

Medical Histology and Cell Biology Department, Faculty of Medicine, Zagazig University, Zagazig, Egypt.

Biochemistry Division, Chemistry Department, Faculty of Science, Zagazig University, Zagazig, Egypt.

出版信息

Iran J Basic Med Sci. 2022 Jun;25(6):732-744. doi: 10.22038/IJBMS.2022.64034.14101.

DOI:10.22038/IJBMS.2022.64034.14101
PMID:35949314
原文链接:https://pmc.ncbi.nlm.nih.gov/articles/PMC9320204/
Abstract

OBJECTIVES

Thioacetamide (TAA) was administered to induce an animal model of liver disease with secondary splenomegaly to assess the mechanisms underlying the effects of rapamycin and filgrastim when taken separately or in combination on the biochemical and histopathological aspects of the liver and spleen.

MATERIALS AND METHODS

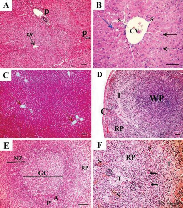
Thirty adult male albino rats were divided into five groups (control, TAA-treated group, TAA+rapamycin, TAA+filgrastim, and TAA+rapamycin+filgrastim group). We measured relative liver and spleen weights, serum levels of alanine transaminase (ALT), aspartate transaminase (AST), and albumin. Molecular docking modeling and histopathological examination of liver and spleen sections with hematoxylin and eosin and Masson trichrome staining with immunohistochemical detection of splenic CD3 and CD20 lymphocytes, S100A9 and β actin antibodies were detected. Morphometric and statistical analyses of the results were performed.

RESULTS

TAA administration altered the histological structure of the liver and spleen and impaired liver function. It increased the expression of splenic CD3, CD20 lymphocytes, and S100A9 while diminishing the expression of β actin. Each of rapamycin and filgrastim, when administered separately, improved liver and spleen indices and liver function, but rapamycin did not affect the albumin level. They lowered splenic B and T lymphocyte levels. Expression levels of S100A9 showed down-regulation while β actin levels were up-regulated when compared with TAA. Combination therapy improved liver and spleen tissue pathology and significantly ameliorated the expression of splenic lymphocytes through regulation of S100A9 and β actin expression.

CONCLUSION

The synergistic effect of combination therapy was dependent on the regulation of splenic S100A9 and β actin levels.

摘要

目的

给予硫代乙酰胺(TAA)以诱导继发性脾肿大的肝病动物模型,以评估雷帕霉素和非格司亭单独或联合使用时对肝脏和脾脏的生化及组织病理学方面影响的潜在机制。

材料与方法

将30只成年雄性白化病大鼠分为五组(对照组、TAA治疗组、TAA+雷帕霉素组、TAA+非格司亭组和TAA+雷帕霉素+非格司亭组)。我们测量了肝脏和脾脏的相对重量、血清丙氨酸转氨酶(ALT)、天冬氨酸转氨酶(AST)和白蛋白水平。对肝脏和脾脏切片进行苏木精-伊红染色及Masson三色染色的分子对接建模和组织病理学检查,并用免疫组织化学法检测脾脏CD3和CD20淋巴细胞、S100A9和β肌动蛋白抗体。对结果进行形态计量学和统计学分析。

结果

给予TAA改变了肝脏和脾脏的组织结构并损害了肝功能。它增加了脾脏CD3、CD20淋巴细胞和S100A9的表达,同时降低了β肌动蛋白的表达。雷帕霉素和非格司亭单独使用时,均改善了肝脏和脾脏指标及肝功能,但雷帕霉素不影响白蛋白水平。它们降低了脾脏B和T淋巴细胞水平。与TAA相比,S100A9的表达水平下调,而β肌动蛋白水平上调。联合治疗改善了肝脏和脾脏组织病理学,并通过调节S100A9和β肌动蛋白的表达显著改善了脾脏淋巴细胞的表达。

结论

联合治疗的协同作用取决于脾脏S100A9和β肌动蛋白水平的调节。

https://cdn.ncbi.nlm.nih.gov/pmc/blobs/c9de/9320204/45ff42d97b82/IJBMS-25-732-g010.jpg
https://cdn.ncbi.nlm.nih.gov/pmc/blobs/c9de/9320204/6bae5d390411/IJBMS-25-732-g001.jpg
https://cdn.ncbi.nlm.nih.gov/pmc/blobs/c9de/9320204/06bd585e9378/IJBMS-25-732-g002.jpg
https://cdn.ncbi.nlm.nih.gov/pmc/blobs/c9de/9320204/47371b2f4cd3/IJBMS-25-732-g003.jpg
https://cdn.ncbi.nlm.nih.gov/pmc/blobs/c9de/9320204/782b89b55608/IJBMS-25-732-g004.jpg
https://cdn.ncbi.nlm.nih.gov/pmc/blobs/c9de/9320204/48a598d240bc/IJBMS-25-732-g005.jpg
https://cdn.ncbi.nlm.nih.gov/pmc/blobs/c9de/9320204/bb3f10d23c58/IJBMS-25-732-g006.jpg
https://cdn.ncbi.nlm.nih.gov/pmc/blobs/c9de/9320204/c58ea33d3698/IJBMS-25-732-g007.jpg
https://cdn.ncbi.nlm.nih.gov/pmc/blobs/c9de/9320204/a16b15093ea5/IJBMS-25-732-g008.jpg
https://cdn.ncbi.nlm.nih.gov/pmc/blobs/c9de/9320204/a9452fe030d1/IJBMS-25-732-g009.jpg
https://cdn.ncbi.nlm.nih.gov/pmc/blobs/c9de/9320204/45ff42d97b82/IJBMS-25-732-g010.jpg
https://cdn.ncbi.nlm.nih.gov/pmc/blobs/c9de/9320204/6bae5d390411/IJBMS-25-732-g001.jpg
https://cdn.ncbi.nlm.nih.gov/pmc/blobs/c9de/9320204/06bd585e9378/IJBMS-25-732-g002.jpg
https://cdn.ncbi.nlm.nih.gov/pmc/blobs/c9de/9320204/47371b2f4cd3/IJBMS-25-732-g003.jpg
https://cdn.ncbi.nlm.nih.gov/pmc/blobs/c9de/9320204/782b89b55608/IJBMS-25-732-g004.jpg
https://cdn.ncbi.nlm.nih.gov/pmc/blobs/c9de/9320204/48a598d240bc/IJBMS-25-732-g005.jpg
https://cdn.ncbi.nlm.nih.gov/pmc/blobs/c9de/9320204/bb3f10d23c58/IJBMS-25-732-g006.jpg
https://cdn.ncbi.nlm.nih.gov/pmc/blobs/c9de/9320204/c58ea33d3698/IJBMS-25-732-g007.jpg
https://cdn.ncbi.nlm.nih.gov/pmc/blobs/c9de/9320204/a16b15093ea5/IJBMS-25-732-g008.jpg
https://cdn.ncbi.nlm.nih.gov/pmc/blobs/c9de/9320204/a9452fe030d1/IJBMS-25-732-g009.jpg
https://cdn.ncbi.nlm.nih.gov/pmc/blobs/c9de/9320204/45ff42d97b82/IJBMS-25-732-g010.jpg

相似文献

1
Rapamycin-filgrastim combination therapy ameliorates portal hypertension-induced splenomegaly: Role of β actin and S100A9 proteins modulation.雷帕霉素-非格司亭联合疗法改善门静脉高压诱导的脾肿大:β肌动蛋白和S100A9蛋白调节的作用
Iran J Basic Med Sci. 2022 Jun;25(6):732-744. doi: 10.22038/IJBMS.2022.64034.14101.
2
[Induction of experimental splenomegaly with portal hypertension in rats with liver cirrhosis].[肝硬化大鼠门静脉高压性实验性脾肿大的诱导]
Nihon Shokakibyo Gakkai Zasshi. 1991 Oct;88(10):2653-62.
3
Ameliorative Effect of Camel's Milk and Oil against Thioacetamide-induced Hepatorenal Damage in Rats.骆驼奶和骆驼油对硫代乙酰胺诱导的大鼠肝肾损伤的改善作用
Pharmacogn Mag. 2018 Jan-Mar;14(53):27-35. doi: 10.4103/pm.pm_132_17. Epub 2018 Feb 20.
4
Celecoxib ameliorates liver cirrhosis via reducing inflammation and oxidative stress along spleen-liver axis in rats.塞来昔布通过减轻炎症和氧化应激改善大鼠肝硬化的脾-肝轴。
Life Sci. 2021 May 1;272:119203. doi: 10.1016/j.lfs.2021.119203. Epub 2021 Feb 10.
5
Protective role of antioxidants on thioacetamide-induced acute hepatic encephalopathy: biochemical and ultrastructural study.抗氧化剂对硫代乙酰胺诱导的急性肝性脑病的保护作用:生化和超微结构研究。
Tissue Cell. 2013 Oct;45(5):350-62. doi: 10.1016/j.tice.2013.06.001. Epub 2013 Jul 19.
6
The transcriptomic profile shows the protective effects of celecoxib on cirrhotic splenomegaly.转录组谱显示塞来昔布对肝硬化脾肿大的保护作用。
Immunopharmacol Immunotoxicol. 2024 Feb;46(1):117-127. doi: 10.1080/08923973.2023.2281282. Epub 2024 Jan 21.
7
Rapamycin Attenuates Splenomegaly in both Intrahepatic and Prehepatic Portal Hypertensive Rats by Blocking mTOR Signaling Pathway.雷帕霉素通过阻断mTOR信号通路减轻肝内型和肝前型门静脉高压大鼠的脾肿大。
PLoS One. 2016 Jan 6;11(1):e0141159. doi: 10.1371/journal.pone.0141159. eCollection 2016.
8
Relevance of the mTOR signaling pathway in the pathophysiology of splenomegaly in rats with chronic portal hypertension.mTOR 信号通路在慢性门静脉高压大鼠脾肿大病理生理学中的相关性。
J Hepatol. 2010 Apr;52(4):529-39. doi: 10.1016/j.jhep.2010.01.004. Epub 2010 Feb 4.
9
Preventive effects of Ophiocordyceps sinensis mycelium on the liver fibrosis induced by thioacetamide.中华虫草菌菌丝体对硫代乙酰胺诱导的肝纤维化的预防作用。
Environ Toxicol. 2017 Jun;32(6):1792-1800. doi: 10.1002/tox.22402. Epub 2017 Feb 9.
10
Single dose intravenous thioacetamide administration as a model of acute liver damage in rats.单次静脉注射硫代乙酰胺作为大鼠急性肝损伤模型。
Int J Exp Pathol. 2008 Aug;89(4):223-31. doi: 10.1111/j.1365-2613.2008.00576.x. Epub 2008 Apr 17.

本文引用的文献

1
Pathological roles of MRP14 in anemia and splenomegaly during experimental visceral leishmaniasis.MRP14 在实验内脏利什曼病期间贫血和脾肿大中的病理作用。
PLoS Negl Trop Dis. 2020 Jan 21;14(1):e0008020. doi: 10.1371/journal.pntd.0008020. eCollection 2020 Jan.
2
mTORC1 and mTORC2 Differentially Regulate Cell Fate Programs to Coordinate Osteoblastic Differentiation in Mesenchymal Stromal Cells.mTORC1 和 mTORC2 差异调节细胞命运程序以协调间充质基质细胞中的成骨分化。
Sci Rep. 2019 Dec 27;9(1):20071. doi: 10.1038/s41598-019-56237-w.
3
Thioacetamide-induced liver damage and thrombocytopenia is associated with induction of antiplatelet autoantibody in mice.
硫代乙酰胺诱导的肝损伤和血小板减少与小鼠抗血小板自身抗体的诱导有关。
Sci Rep. 2019 Nov 25;9(1):17497. doi: 10.1038/s41598-019-53977-7.
4
Transient Inhibition of mTORC1 Signaling Ameliorates Irradiation-Induced Liver Damage.mTORC1信号通路的短暂抑制可改善辐射诱导的肝损伤。
Front Physiol. 2019 Mar 20;10:228. doi: 10.3389/fphys.2019.00228. eCollection 2019.
5
Translation of Human β-Actin mRNA is Regulated by mTOR Pathway.人β-肌动蛋白 mRNA 的翻译受 mTOR 通路调控。
Genes (Basel). 2019 Jan 29;10(2):96. doi: 10.3390/genes10020096.
6
Inhibition of α-glucosidase and α-amylase by flavonoid glycosides from Lu'an GuaPian tea: molecular docking and interaction mechanism.芦柑茶中类黄酮糖苷对α-葡萄糖苷酶和α-淀粉酶的抑制作用:分子对接和相互作用机制。
Food Funct. 2018 Aug 15;9(8):4173-4183. doi: 10.1039/c8fo00562a.
7
Induction of S100A9 homodimer formation in vivo.体内诱导 S100A9 同源二聚体的形成。
Biochem Biophys Res Commun. 2018 Jun 7;500(3):564-568. doi: 10.1016/j.bbrc.2018.04.086. Epub 2018 Apr 23.
8
A systematic literature review of the efficacy, effectiveness, and safety of filgrastim.非格司亭疗效、有效性及安全性的系统文献综述
Support Care Cancer. 2018 Jan;26(1):7-20. doi: 10.1007/s00520-017-3854-x. Epub 2017 Sep 22.
9
Hepatitis C infection in Egypt: prevalence, impact and management strategies.埃及的丙型肝炎感染:患病率、影响及管理策略。
Hepat Med. 2017 May 15;9:17-25. doi: 10.2147/HMER.S113681. eCollection 2017.
10
Involvement of β- and γ-actin isoforms in actin cytoskeleton organization and migration abilities of bleb-forming human colon cancer cells.β-肌动蛋白和γ-肌动蛋白亚型在形成泡状突起的人结肠癌细胞的肌动蛋白细胞骨架组织及迁移能力中的作用。
PLoS One. 2017 Mar 23;12(3):e0173709. doi: 10.1371/journal.pone.0173709. eCollection 2017.