Suppr超能文献

埃塞俄比亚亚的斯亚贝巴发育迟缓患者的脑部磁共振成像结果。

Brain Magnetic Resonance Imaging Findings in Patients with Developmental Delay in Addis Ababa, Ethiopia.

机构信息

Department of Radiology, College of Health Sciences, Addis Ababa University, Addis Ababa, Ethiopia.

出版信息

Ethiop J Health Sci. 2022 Jul;32(4):773-780. doi: 10.4314/ejhs.v32i4.14.

Abstract

BACKGROUND

Developmental delay is a major health problem throughout the world causing significant individual disability. Even though physical examination and patient history are the most important and basic evaluations of patients with developmental delay, additional investigations are usually required in supporting or reaching a diagnosis among which is neuroimaging. This study aims to assess brain Magnetic resonance imaging (MRI) patterns in patients presented with developmental delay.

METHOD

A retrospective analysis of 164 patients who had undergone brain Magnetic Resonance Imaging (MRI) evaluation for the developmental delay was done. The study was conducted between March to November 2021 G.C at Tikur Anbessa Specialized Hospital (TASH). The patients' clinical history and magnetic resonance imaging reports were reviewed from their medical records. All patients with developmental delay who had brain MRI evaluation at TASH and at one private diagnostic center in Addis Ababa were included in the study.

RESULTS

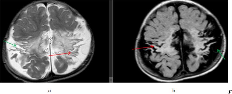
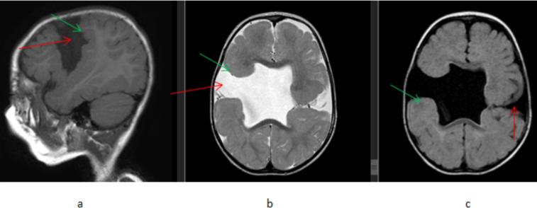
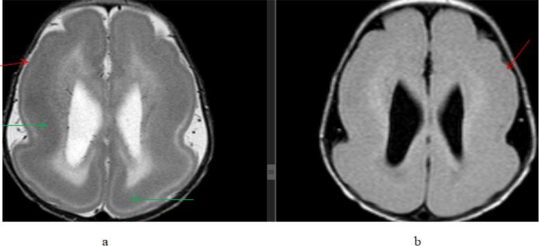
A total of 164 patients were included in this study of which 95(57.9%) were male and 69(42.1%) female patients were seen. A total of 120 patients (73.2%) showed abnormal brain MRI studies. Previous neurovascular insults were the most common abnormalities seen in 75(45.7%) patients followed by imaging findings of congenital and developmental abnormalities seen in 20(12.2%) patients.

CONCLUSION

Brain MRI is an important input in the evaluation of patients with developmental delay. It can give evidence for the cause of developmental delay, especially in the diagnosis of perinatal/hypoxic-ischemic insults, and congenital and developmental malformations.

摘要

背景

发育迟缓是全世界的一个主要健康问题,会导致严重的个体残疾。尽管体格检查和病史是发育迟缓患者最重要和最基本的评估,但通常需要额外的检查来支持或确定诊断,其中包括神经影像学检查。本研究旨在评估发育迟缓患者的脑部磁共振成像(MRI)模式。

方法

对 164 例在提克里亚斯安贝萨专科医院(TASH)因发育迟缓而接受脑部磁共振成像(MRI)评估的患者进行了回顾性分析。该研究于 2021 年 3 月至 11 月在 TASH 进行。从病历中查阅了患者的临床病史和磁共振成像报告。所有在 TASH 和亚的斯亚贝巴一家私立诊断中心接受脑部 MRI 评估的发育迟缓患者均纳入本研究。

结果

本研究共纳入 164 例患者,其中男性 95 例(57.9%),女性 69 例(42.1%)。共有 120 例(73.2%)患者的脑部 MRI 检查结果异常。最常见的异常是既往神经血管损伤,见于 75 例(45.7%)患者,其次是先天性和发育性异常的影像学表现,见于 20 例(12.2%)患者。

结论

脑部 MRI 是评估发育迟缓患者的重要依据。它可以为发育迟缓的病因提供证据,特别是在诊断围产期/缺氧缺血性损伤以及先天性和发育性畸形方面。

https://cdn.ncbi.nlm.nih.gov/pmc/blobs/d024/9341008/7340498f562d/EJHS3204-0773Fig1.jpg

相似文献

1
Brain Magnetic Resonance Imaging Findings in Patients with Developmental Delay in Addis Ababa, Ethiopia.
Ethiop J Health Sci. 2022 Jul;32(4):773-780. doi: 10.4314/ejhs.v32i4.14.

本文引用的文献

1
Magnetic resonance imaging (MRI) evaluation of developmental delay in pediatric patients.
J Clin Diagn Res. 2015 Jan;9(1):TC21-4. doi: 10.7860/JCDR/2015/11921.5478. Epub 2015 Jan 1.
2
Brain magnetic resonance imaging findings in developmentally delayed children.
Int J Pediatr. 2011;2011:386984. doi: 10.1155/2011/386984. Epub 2011 Nov 2.
3
Neuroimaging of the child with developmental delay.
Top Magn Reson Imaging. 2007 Feb;18(1):75-92. doi: 10.1097/RMR.0b013e3180f63511.
4
Investigation of global developmental delay.
Arch Dis Child. 2006 Aug;91(8):701-5. doi: 10.1136/adc.2005.078147.

文献AI研究员

20分钟写一篇综述,助力文献阅读效率提升50倍。

立即体验

用中文搜PubMed

大模型驱动的PubMed中文搜索引擎

马上搜索

文档翻译

学术文献翻译模型,支持多种主流文档格式。

立即体验