Suppr超能文献

DYNLT3过表达诱导细胞凋亡,抑制细胞生长和迁移,抑制宫颈癌中的Wnt通路和上皮-间质转化。

DYNLT3 overexpression induces apoptosis and inhibits cell growth and migration inhibition of the Wnt pathway and EMT in cervical cancer.

作者信息

Zhang Jianan, Shen Qi, Xia Lu, Zhu Xueqiong, Zhu Xuejie

机构信息

Center of Uterine Cancer Diagnosis and Therapy Research of Zhejiang Province, Department of Obstetrics and Gynecology, The Second Affiliated Hospital of Wenzhou Medical University, Wenzhou, China.

Department of Obstetrics and Gynecology, The First Affiliated Hospital of Wenzhou Medical University, Wenzhou, China.

出版信息

Front Oncol. 2022 Jul 29;12:889238. doi: 10.3389/fonc.2022.889238. eCollection 2022.

Abstract

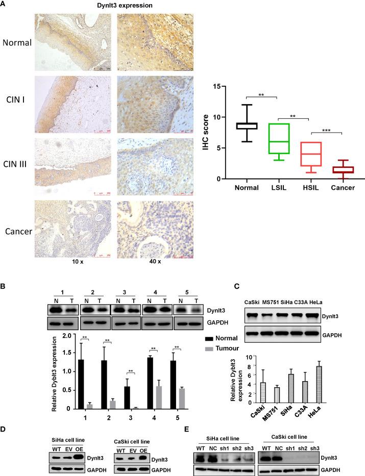
The role of the dynein light chain Tctex-type 3 (DYNLT3) protein in the biological behavior of cervical cancer and its relative molecular mechanisms were investigated. Immunohistochemical staining was used to detect DYNLT3 protein expression in cervical cancer tissues. Cell proliferation and apoptosis rates and invasiveness and migratory capacities were determined by CCK-8 assays, BrdU staining assays and colony formation assays, fluorescence activated cell sorting (FACS), wound healing assays, and Transwell invasion assays of cervical cancer cells after DYNLT3 modulation. The expression levels of Wnt signaling pathway- and EMT-related proteins were examined by Western blotting. Furthermore, the effects of DYNLT3 on the tumorigenicity and metastasis of cervical cancer in nude mice were analyzed by performing immunohistochemistry, and we found that the expression level of the DYNLT3 protein was higher in human normal cervical tissues than in cervical cancer tissues. Overexpression of DYNLT3 obviously attenuated the proliferation, migration and invasion of CaSki and SiHa cells, and promoted cell apoptosis. Upregulation of DYNLT3 expression markedly decreased the expression of Wnt signaling pathway-related proteins (Dvl2, Dvl3, p-LRP6, Wnt3a, Wnt5a/b, Naked1, Naked2, β-catenin and C-Myc) and EMT-related proteins (N-cadherin, SOX2, OCT4, vimentin and Snail), and increased the expression of E-cadherin and Axin1. However, the opposite results were observed after down-regulation of DYNLT3 expression. Up-regulation of DYNLT3 expression significantly inhibited tumor growth in a nude mouse model, while downregulation of DYNLT3 showed the opposite results. In addition, the major metastatic site of cervical cancer cells in mice was the lung, and downregulation of DYNLT3 expression increased cancer metastasis . DYNLT3 exerted inhibitory effects on cervical cancer by inhibiting cell proliferation, migration and invasion, promoting cell apoptosis , and inhibiting tumor growth and metastasis , possibly by suppressing the Wnt signaling pathway and the EMT.

摘要

研究了动力蛋白轻链Tctex型3(DYNLT3)蛋白在宫颈癌生物学行为中的作用及其相关分子机制。采用免疫组织化学染色检测宫颈癌组织中DYNLT3蛋白的表达。通过CCK-8法、BrdU染色法、集落形成法、荧光激活细胞分选(FACS)、伤口愈合试验和Transwell侵袭试验,检测DYNLT3调控后宫颈癌细胞的增殖、凋亡率以及侵袭和迁移能力。通过蛋白质印迹法检测Wnt信号通路和上皮-间质转化(EMT)相关蛋白的表达水平。此外,通过免疫组织化学分析DYNLT3对裸鼠宫颈癌致瘤性和转移的影响,我们发现DYNLT3蛋白在人正常宫颈组织中的表达水平高于宫颈癌组织。DYNLT3的过表达明显减弱了CaSki和SiHa细胞的增殖、迁移和侵袭,并促进细胞凋亡。DYNLT3表达上调显著降低了Wnt信号通路相关蛋白(Dvl2、Dvl3、p-LRP6、Wnt3a、Wnt5a/b、Naked1、Naked2、β-连环蛋白和C-Myc)和EMT相关蛋白(N-钙黏蛋白、SOX2、OCT4、波形蛋白和Snail)的表达,并增加了E-钙黏蛋白和Axin1的表达。然而,DYNLT3表达下调后观察到相反的结果。DYNLT3表达上调显著抑制裸鼠模型中的肿瘤生长,而DYNLT3表达下调则显示相反的结果。此外,小鼠宫颈癌细胞的主要转移部位是肺,DYNLT3表达下调增加了癌症转移。DYNLT3可能通过抑制Wnt信号通路和EMT对宫颈癌发挥抑制作用,包括抑制细胞增殖、迁移和侵袭,促进细胞凋亡,以及抑制肿瘤生长和转移。

https://cdn.ncbi.nlm.nih.gov/pmc/blobs/3431/9372440/440173f3acb8/fonc-12-889238-g001.jpg

文献AI研究员

20分钟写一篇综述,助力文献阅读效率提升50倍。

立即体验

用中文搜PubMed

大模型驱动的PubMed中文搜索引擎

马上搜索

文档翻译

学术文献翻译模型,支持多种主流文档格式。

立即体验