• 文献检索
  • 文档翻译
  • 深度研究
  • 学术资讯
  • Suppr Zotero 插件Zotero 插件
  • 邀请有礼
  • 套餐&价格
  • 历史记录
应用&插件
Suppr Zotero 插件Zotero 插件浏览器插件Mac 客户端Windows 客户端微信小程序
定价
高级版会员购买积分包购买API积分包
服务
文献检索文档翻译深度研究API 文档MCP 服务
关于我们
关于 Suppr公司介绍联系我们用户协议隐私条款
关注我们

Suppr 超能文献

核心技术专利:CN118964589B侵权必究
粤ICP备2023148730 号-1Suppr @ 2026

文献检索

告别复杂PubMed语法,用中文像聊天一样搜索,搜遍4000万医学文献。AI智能推荐,让科研检索更轻松。

立即免费搜索

文件翻译

保留排版,准确专业,支持PDF/Word/PPT等文件格式,支持 12+语言互译。

免费翻译文档

深度研究

AI帮你快速写综述,25分钟生成高质量综述,智能提取关键信息,辅助科研写作。

立即免费体验

一名患有与链球菌感染相关的小儿自身免疫性神经精神障碍的患者,近期感染新冠病毒后出现类固醇反应性重症肺炎病例。

A Case of Steroid-Responsive Severe Pneumonia Following a Recent COVID-19 Infection in a Patient With Pediatric Autoimmune Neuropsychiatric Disorders Associated With Streptococcal Infection.

作者信息

Pourshahid Seyedmohammad, Khademolhosseini Sara, Giri Badri, Cossio Moises, Rubio Edmundo

机构信息

Pulmonary and Critical Care, Virginia Tech Carilion School of Medicine, Roanoke, USA.

Department of Internal Medicine, Icahn School of Medicine at Mount Sinai, Queens Hospital Center, New York, USA.

出版信息

Cureus. 2022 Jul 12;14(7):e26785. doi: 10.7759/cureus.26785. eCollection 2022 Jul.

DOI:10.7759/cureus.26785
PMID:35967156
原文链接:https://pmc.ncbi.nlm.nih.gov/articles/PMC9370069/
Abstract

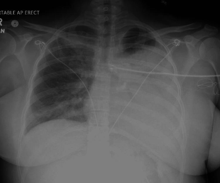
A twenty-two-year-old woman with a history of pediatric autoimmune neuropsychiatric disorders associated with streptococcal infection (PANDAS) on rituximab presented with fever, abdominal pain, and worsening shortness of breath requiring supplemental oxygen via nasal cannula one month after a severe acute respiratory syndrome coronavirus 2 (SARS-CoV2) infection from which she was minimally symptomatic and had recovered. Radiographic studies revealed bilateral patchy consolidations interspersed with ground-glass opacities (GGO). She was started on antibiotics for presumed community-acquired pneumonia with no improvement. Echocardiography revealed preserved biventricular function and a suspected intracardiac mass. A cardiac magnetic resonance imaging (CMRI) revealed myocarditis and no intracardiac mass. Fever persisted and oxygen requirements increased from FiO2 0.4 to 1.0. Repeat CXR showed subtotal left hemithorax opacification. Bronchoscopic samples showed a negative Gram stain and an unremarkable cell count differential. In view of this and given her lack of response to antibiotics with worsening respiratory status, high-dose steroids were started. She improved rapidly, and six days later she was off oxygen. Transbronchial biopsies showed benign parenchyma with some intra-alveolar fibrin deposition with no definitive evidence of viral cytopathic effect, vasculitis, or diffuse alveolar damage (DAD). Follow-up imaging in the pulmonary clinic revealed improvement of prior airspace disease with some new migratory opacities that completely resolved after 12 weeks. Pulmonary function tests and repeat CMRI were normal three months after discharge. Multisystem inflammatory syndrome in adults (MISA), post-covid organizing pneumonia (OP), and immune reconstitution inflammatory syndrome (IRIS) are rare and potentially steroid-responsive causes of pneumonia, which were in our differential diagnosis. It is imperative to consider the rare possibility of steroid-responsive pneumonia-like MISA, post-COVID-OP, and IRIS in patients with worsening respiratory symptoms following a recent SARS-CoV 2 infection.

摘要

一名22岁有儿童自身免疫性神经精神障碍伴链球菌感染(PANDAS)病史且正在接受利妥昔单抗治疗的女性,在感染严重急性呼吸综合征冠状病毒2(SARS-CoV2)后一个月出现发热、腹痛,呼吸急促加重,需要通过鼻导管吸氧,此次感染她症状轻微且已康复。影像学检查显示双侧斑片状实变,其间散在磨玻璃影(GGO)。考虑为社区获得性肺炎,她开始使用抗生素治疗,但病情无改善。超声心动图显示双心室功能正常,疑似心内肿物。心脏磁共振成像(CMRI)显示为心肌炎,无心内肿物。发热持续,氧需求从FiO2 0.4增加到1.0。复查胸部X线显示左半胸大部分致密影。支气管镜检查样本革兰染色阴性,细胞计数分类无异常。鉴于此,且考虑到她对抗生素治疗无反应且呼吸状况恶化,开始使用大剂量类固醇。她迅速好转,6天后不再需要吸氧。经支气管活检显示良性实质,有一些肺泡内纤维蛋白沉积,无病毒细胞病变效应、血管炎或弥漫性肺泡损伤(DAD)的确切证据。肺部门诊的随访影像学检查显示先前的气腔病变有所改善,出现一些新的游走性致密影,12周后完全消失。出院3个月后肺功能测试和复查CMRI均正常。成人多系统炎症综合征(MISA)、新冠后机化性肺炎(OP)和免疫重建炎症综合征(IRIS)是罕见的、可能对类固醇有反应的肺炎病因,均在我们的鉴别诊断范围内。对于近期SARS-CoV 2感染后出现呼吸症状恶化的患者,必须考虑类固醇反应性肺炎样MISA、新冠后OP和IRIS等罕见可能性。

https://cdn.ncbi.nlm.nih.gov/pmc/blobs/f3c2/9370069/397cc2f87cf7/cureus-0014-00000026785-i06.jpg
https://cdn.ncbi.nlm.nih.gov/pmc/blobs/f3c2/9370069/e8b2c53ba8e7/cureus-0014-00000026785-i01.jpg
https://cdn.ncbi.nlm.nih.gov/pmc/blobs/f3c2/9370069/807b4edfb84b/cureus-0014-00000026785-i02.jpg
https://cdn.ncbi.nlm.nih.gov/pmc/blobs/f3c2/9370069/119d5bac0f7a/cureus-0014-00000026785-i03.jpg
https://cdn.ncbi.nlm.nih.gov/pmc/blobs/f3c2/9370069/a61f8cc76789/cureus-0014-00000026785-i04.jpg
https://cdn.ncbi.nlm.nih.gov/pmc/blobs/f3c2/9370069/e20d2ab953e5/cureus-0014-00000026785-i05.jpg
https://cdn.ncbi.nlm.nih.gov/pmc/blobs/f3c2/9370069/397cc2f87cf7/cureus-0014-00000026785-i06.jpg
https://cdn.ncbi.nlm.nih.gov/pmc/blobs/f3c2/9370069/e8b2c53ba8e7/cureus-0014-00000026785-i01.jpg
https://cdn.ncbi.nlm.nih.gov/pmc/blobs/f3c2/9370069/807b4edfb84b/cureus-0014-00000026785-i02.jpg
https://cdn.ncbi.nlm.nih.gov/pmc/blobs/f3c2/9370069/119d5bac0f7a/cureus-0014-00000026785-i03.jpg
https://cdn.ncbi.nlm.nih.gov/pmc/blobs/f3c2/9370069/a61f8cc76789/cureus-0014-00000026785-i04.jpg
https://cdn.ncbi.nlm.nih.gov/pmc/blobs/f3c2/9370069/e20d2ab953e5/cureus-0014-00000026785-i05.jpg
https://cdn.ncbi.nlm.nih.gov/pmc/blobs/f3c2/9370069/397cc2f87cf7/cureus-0014-00000026785-i06.jpg

相似文献

1
A Case of Steroid-Responsive Severe Pneumonia Following a Recent COVID-19 Infection in a Patient With Pediatric Autoimmune Neuropsychiatric Disorders Associated With Streptococcal Infection.一名患有与链球菌感染相关的小儿自身免疫性神经精神障碍的患者,近期感染新冠病毒后出现类固醇反应性重症肺炎病例。
Cureus. 2022 Jul 12;14(7):e26785. doi: 10.7759/cureus.26785. eCollection 2022 Jul.
2
Safety and Efficacy of Imatinib for Hospitalized Adults with COVID-19: A structured summary of a study protocol for a randomised controlled trial.COVID-19 住院成人患者使用伊马替尼的安全性和疗效:一项随机对照试验研究方案的结构化总结。
Trials. 2020 Oct 28;21(1):897. doi: 10.1186/s13063-020-04819-9.
3
Erythema Multiforme: A Presentation of COVID-19 Pneumonia.多形红斑:新冠肺炎肺炎的一种表现形式。
Cureus. 2022 Jul 14;14(7):e26835. doi: 10.7759/cureus.26835. eCollection 2022 Jul.
4
Rapidly worsening pneumonia in a middle-aged woman: a rare diagnosis and a crucial management decision.一名中年女性的肺炎迅速恶化:罕见诊断与关键治疗决策
BMJ Case Rep. 2021 Mar 31;14(3):e238959. doi: 10.1136/bcr-2020-238959.
5
Pulmonary alveolar proteinosis following severe COVID - 19 infection: A case report.重症新型冠状病毒肺炎感染后并发肺泡蛋白沉积症:一例报告
Respir Med Case Rep. 2024 Mar 30;49:102017. doi: 10.1016/j.rmcr.2024.102017. eCollection 2024.
6
A case of late-onset organizing pneumonia following COVID-19 infection in a post-kidney transplant patient.一名肾移植后患者 COVID-19 感染后继发迟发性机化性肺炎。
CEN Case Rep. 2024 Oct;13(5):346-350. doi: 10.1007/s13730-023-00849-9. Epub 2024 Feb 17.
7
Atypical Chest Computed Tomography Finding of Predominant Interstitial Thickening in a Patient with Coronavirus Disease 2019 (COVID-19) Pneumonia.一名2019冠状病毒病(COVID-19)肺炎患者胸部计算机断层扫描的非典型表现:以间质增厚为主
Am J Case Rep. 2020 Sep 21;21:e926781. doi: 10.12659/AJCR.926781.
8
Cardiac Involvement in a Patient With Coronavirus Disease 2019 (COVID-19).新冠肺炎(COVID-19)患者的心脏受累。
JAMA Cardiol. 2020 Jul 1;5(7):819-824. doi: 10.1001/jamacardio.2020.1096.
9
Cryptogenic organizing pneumonia associated with pregnancy: A case report.妊娠相关性隐源性机化性肺炎:一例报告
World J Clin Cases. 2022 Feb 26;10(6):1946-1951. doi: 10.12998/wjcc.v10.i6.1946.
10
Virtualized clinical studies to assess the natural history and impact of gut microbiome modulation in non-hospitalized patients with mild to moderate COVID-19 a randomized, open-label, prospective study with a parallel group study evaluating the physiologic effects of KB109 on gut microbiota structure and function: a structured summary of a study protocol for a randomized controlled study.用于评估非住院轻中度 COVID-19 患者肠道微生物组调节的自然史和影响的虚拟化临床研究:一项随机、开放标签、前瞻性研究,平行组研究评估 KB109 对肠道微生物组结构和功能的生理影响:一项随机对照研究方案的结构化总结。
Trials. 2021 Apr 2;22(1):245. doi: 10.1186/s13063-021-05157-0.

引用本文的文献

1
Comment on: Clinical Characteristics, Diagnosis, and Treatments for COVID-19.关于《新型冠状病毒肺炎的临床特征、诊断与治疗》的评论
Curr Med Sci. 2024 Jun;44(3):667-668. doi: 10.1007/s11596-024-2897-8. Epub 2024 May 29.
2
Clinical outcome of established diagnostic and treatment modalities of COVID-19-associated myocarditis: a systematic review.新型冠状病毒肺炎相关心肌炎既定诊断和治疗方式的临床结局:一项系统评价
Ann Med Surg (Lond). 2023 Jun 16;85(7):3583-3594. doi: 10.1097/MS9.0000000000000964. eCollection 2023 Jul.

本文引用的文献

1
Clinical Characteristics of Multisystem Inflammatory Syndrome in Adults: A Systematic Review.成人多系统炎症综合征的临床特征:系统评价。
JAMA Netw Open. 2021 Sep 1;4(9):e2126456. doi: 10.1001/jamanetworkopen.2021.26456.
2
Should a Nonresolving Pneumonia Be Treated as an Organizing Pneumonia in Times of COVID-19?在新冠疫情期间,不吸收的肺炎是否应按机化性肺炎治疗?
Ann Am Thorac Soc. 2021 Sep;18(9):1598. doi: 10.1513/AnnalsATS.202103-317LE.
3
Does COVID-19 pneumonia signify secondary organizing pneumonia?: A narrative review comparing the similarities between these two distinct entities.
COVID-19 肺炎是否意味着机化性肺炎?:对这两种截然不同实体之间相似性的叙述性综述比较。
Heart Lung. 2021 Sep-Oct;50(5):667-674. doi: 10.1016/j.hrtlng.2021.04.009. Epub 2021 May 29.
4
Characteristics Associated With Multisystem Inflammatory Syndrome Among Adults With SARS-CoV-2 Infection.与 SARS-CoV-2 感染成人中多系统炎症综合征相关的特征。
JAMA Netw Open. 2021 May 3;4(5):e2110323. doi: 10.1001/jamanetworkopen.2021.10323.
5
COVID-19 and HIV-Associated Immune Reconstitution Inflammatory Syndrome: Emergence of Pathogen-Specific Immune Responses Adding Fuel to the Fire.COVID-19 和与 HIV 相关的免疫重建炎症综合征:病原体特异性免疫反应的出现,火上浇油。
Front Immunol. 2021 Mar 24;12:649567. doi: 10.3389/fimmu.2021.649567. eCollection 2021.
6
Post COVID-19 Organizing Pneumonia: The Right Time to Interfere.新冠后机化性肺炎:干预的恰当时机。
Medicina (Kaunas). 2021 Mar 18;57(3):283. doi: 10.3390/medicina57030283.
7
A Review of Persistent Post-COVID Syndrome (PPCS).对持续性 COVID-19 后综合征(PPCS)的综述。
Clin Rev Allergy Immunol. 2023 Feb;64(1):66-74. doi: 10.1007/s12016-021-08848-3. Epub 2021 Feb 20.
8
Sustained coronavirus disease 2019-related organizing pneumonia successfully treated with corticosteroid.持续的 COVID-19 相关机化性肺炎经皮质类固醇治疗成功。
Respir Investig. 2021 May;59(3):377-381. doi: 10.1016/j.resinv.2020.12.005. Epub 2021 Jan 21.
9
Persistent Post-COVID-19 Interstitial Lung Disease. An Observational Study of Corticosteroid Treatment.持续性 COVID-19 间质性肺病。皮质类固醇治疗的观察性研究。
Ann Am Thorac Soc. 2021 May;18(5):799-806. doi: 10.1513/AnnalsATS.202008-1002OC.
10
A Case of Steroid-Responsive, COVID-19 Immune Reconstitution Inflammatory Syndrome Following the Use of Granulocyte Colony-Stimulating Factor.一例使用粒细胞集落刺激因子后出现的类固醇反应性新型冠状病毒肺炎免疫重建炎症综合征病例
Open Forum Infect Dis. 2020 Aug 17;7(8):ofaa326. doi: 10.1093/ofid/ofaa326. eCollection 2020 Aug.