Suppr超能文献

一名患有[此处缺失具体缺陷内容]的沙特儿童的肉芽肿性肝炎:病例报告及文献综述

Granulomatous hepatitis in a Saudi child with defect: a case report and literature review.

作者信息

Alaifan Meshari A, Abusharifah Ohood, Bokhary Rana Yagoub, Banaganapalli Babajan, Shaik Noor Ahmad, Kamal Naglaa M, Saadah Omar I

机构信息

Department of Pediatrics, Faculty of Medicine, King Abdulaziz University, Jeddah, Saudi Arabia.

Department of Pediatrics, Maternity and Children Hospital Abha, Abha, Saudi Arabia.

出版信息

Ther Adv Chronic Dis. 2022 Aug 9;13:20406223221116798. doi: 10.1177/20406223221116798. eCollection 2022.

Abstract

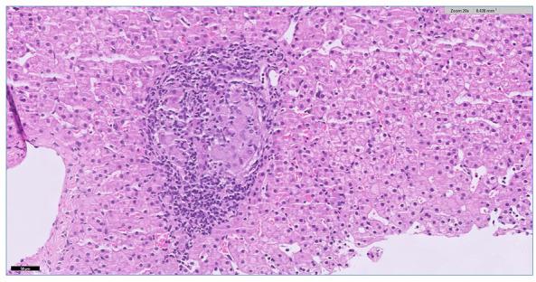
Interleukin-2 receptor alpha () defect (OMIM- # 606367) is an immune disease where affected patients are vulnerable to developing recurrent microbial infections in addition to lymphadenopathy and dermatological manifestations. This condition is known to be caused by pathogenic variants in the gene, which are inherited in an autosomal recessive fashion. In this case report, we present a patient with defect from Saudi Arabia who presented with chronic diarrhea, poor weight gain, mild villous atrophy, malnutrition, hepatomegaly, nonspecific inflammation, and an eczematous skin rash. His genetic analysis revealed a novel, homozygous, and likely pathogenic variant, that is, c.504 C>A (Cys168Ter), located in the exon 4of the gene, which was inherited from his parents in an autosomal recessive mode of inheritance. This variant produces a 272-amino-acid shorter protein chain, which most likely becomes degraded in the cytosol. Thus, we assume that the c.504 C>A is a null allele that abolishes the synthesis of , malforms the IL-2 receptor complex, and eventually causes immunodeficiency manifestations. To our knowledge, this is the first time a person with defect has shown signs of granulomatous hepatitis on a liver biopsy.

摘要

白细胞介素-2受体α(IL-2Rα)缺陷(OMIM编号:606367)是一种免疫疾病,患病患者除了会出现淋巴结病和皮肤病表现外,还容易反复发生微生物感染。已知这种病症是由IL-2Rα基因的致病变异引起的,这些变异以常染色体隐性方式遗传。在本病例报告中,我们介绍了一名来自沙特阿拉伯的患有IL-2Rα缺陷的患者,该患者出现慢性腹泻、体重增加缓慢、轻度绒毛萎缩、营养不良、肝肿大、非特异性炎症和湿疹样皮疹。他的基因分析揭示了一个新的、纯合的且可能致病的变异,即位于IL-2Rα基因第4外显子的c.504 C>A(Cys168Ter),该变异以常染色体隐性遗传模式从他的父母那里遗传而来。这种变异产生了一条短272个氨基酸的IL-2Rα蛋白链,这条蛋白链很可能在细胞质中被降解。因此,我们推测c.504 C>A是一个无效等位基因,它消除了IL-2Rα的合成,使IL-2受体复合物畸形,最终导致免疫缺陷表现。据我们所知,这是首次有IL-2Rα缺陷患者在肝活检中显示出肉芽肿性肝炎的迹象。

https://cdn.ncbi.nlm.nih.gov/pmc/blobs/dd13/9373126/ff913a847d3d/10.1177_20406223221116798-fig1.jpg

文献AI研究员

20分钟写一篇综述,助力文献阅读效率提升50倍。

立即体验

用中文搜PubMed

大模型驱动的PubMed中文搜索引擎

马上搜索

文档翻译

学术文献翻译模型,支持多种主流文档格式。

立即体验