Suppr超能文献

柔脑膜癌病:一例报告及文献综述

Leptomeningeal Carcinomatosis: A Case Report and Literature Review.

作者信息

Hinke Mason, Skovran Alexandra, Dusini Nathaniel, Azim Sofiya

机构信息

Internal Medicine, Hennepin Healthcare, Minneapolis, USA.

Internal Medicine, Freeman Health, Joplin, USA.

出版信息

Cureus. 2022 Jul 12;14(7):e26790. doi: 10.7759/cureus.26790. eCollection 2022 Jul.

Abstract

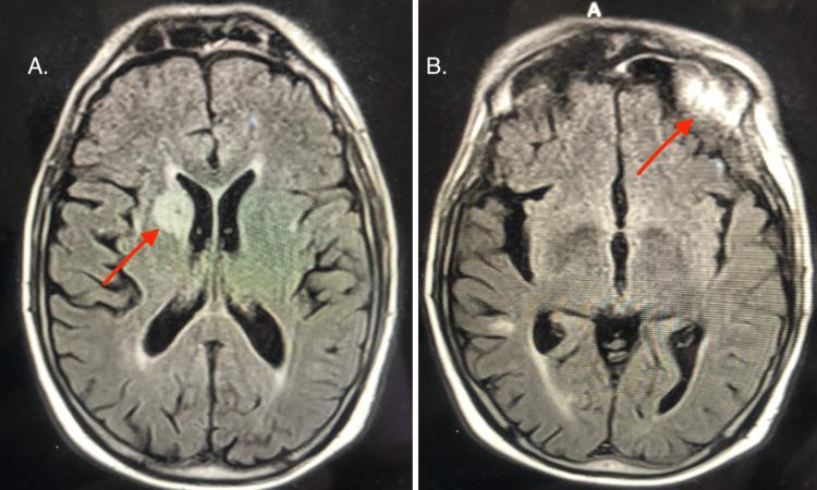
Leptomeningeal carcinomatosis (LC) is a rare complication of malignant tumors that involves metastasis to the meninges surrounding the brain and/or spinal cord. The incidence of LC appears to be increasing, which has been attributed to increased survival times of cancer patients and increased diagnostic sensitivity. In this case, we discuss a patient with a history of colon cancer and lung cancer who was admitted with multiple cranial nerve palsies and sensory deficits. An MRI with contrast showed multiple enhancing intracranial lesions with leptomeningeal enhancement. Neurology and neurosurgery were consulted, and the patient was ultimately discharged to hospice.

摘要

软脑膜癌病(LC)是恶性肿瘤的一种罕见并发症,涉及转移至脑和/或脊髓周围的脑膜。LC的发病率似乎在上升,这归因于癌症患者生存时间的延长和诊断敏感性的提高。在本病例中,我们讨论一名有结肠癌和肺癌病史的患者,该患者因多发性颅神经麻痹和感觉障碍入院。增强MRI显示颅内有多个强化病灶伴软脑膜强化。咨询了神经科和神经外科,该患者最终出院接受临终关怀。

https://cdn.ncbi.nlm.nih.gov/pmc/blobs/6cd6/9371608/8c02da7c9350/cureus-0014-00000026790-i01.jpg

文献检索

告别复杂PubMed语法,用中文像聊天一样搜索,搜遍4000万医学文献。AI智能推荐,让科研检索更轻松。

立即免费搜索

文件翻译

保留排版,准确专业,支持PDF/Word/PPT等文件格式,支持 12+语言互译。

免费翻译文档

深度研究

AI帮你快速写综述,25分钟生成高质量综述,智能提取关键信息,辅助科研写作。

立即免费体验