Suppr超能文献

一例伴有肾和肺转移的甲状腺乳头状癌。

A case of papillary thyroid carcinoma with renal and pulmonary metastases.

作者信息

Aoyama Mariko, Inui Tomohiro, Miyamoto Naoki, Sakamoto Shinichi, Inoue Seiya, Fujiwara Satoshi, Goto Masakazu, Toba Hiroaki, Takizawa Hiromitsu

机构信息

Department of Thoracic, Endocrine Surgery and Oncology, Institute of Health, Biosciences, The University of Tokushima, Tokushima, Japan.

出版信息

J Surg Case Rep. 2022 Aug 13;2022(8):rjac366. doi: 10.1093/jscr/rjac366. eCollection 2022 Aug.

Abstract

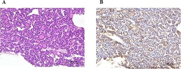
Distant metastases derived from papillary carcinoma are generally detected in the lungs and bones. However, renal metastasis is rare. We herein report a case of papillary thyroid carcinoma with renal and pulmonary metastases that had been initially diagnosed as primary renal carcinoma with pulmonary metastases. The lesions showed response to immune checkpoint inhibitors and tyrosine kinase inhibitor but not to radioactive iodine therapy.

摘要

乳头状癌的远处转移通常发生在肺和骨。然而,肾转移罕见。我们在此报告一例甲状腺乳头状癌伴肾和肺转移的病例,该病例最初被诊断为原发性肾癌伴肺转移。病变对免疫检查点抑制剂和酪氨酸激酶抑制剂有反应,但对放射性碘治疗无反应。

https://cdn.ncbi.nlm.nih.gov/pmc/blobs/c007/9375654/a98aede803a8/rjac366f1.jpg

文献检索

告别复杂PubMed语法,用中文像聊天一样搜索,搜遍4000万医学文献。AI智能推荐,让科研检索更轻松。

立即免费搜索

文件翻译

保留排版,准确专业,支持PDF/Word/PPT等文件格式,支持 12+语言互译。

免费翻译文档

深度研究

AI帮你快速写综述,25分钟生成高质量综述,智能提取关键信息,辅助科研写作。

立即免费体验