Suppr超能文献

异基因 HSCT 后血清变化的纵向蛋白质组学研究揭示了与 aGvHD 相关代谢并发症的潜在标志物。

Longitudinal proteomics study of serum changes after allogeneic HSCT reveals potential markers of metabolic complications related to aGvHD.

机构信息

School of Life Science and Technology, Tokyo Institute of Technology, 2-12-1 Ookayama, Meguro-ku, Tokyo, 152-8550, Japan.

Department of Hematology/Oncology, The Institute of Medical Science, The University of Tokyo, 4-6-1 Shirokanedai, Minato City, Tokyo, 108-8639, Japan.

出版信息

Sci Rep. 2022 Aug 17;12(1):14002. doi: 10.1038/s41598-022-18221-9.

Abstract

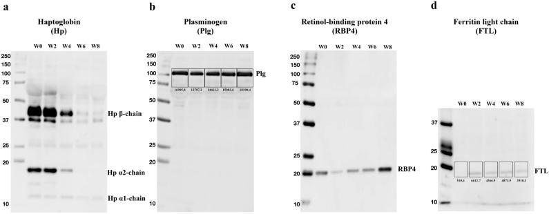
Even though hematopoietic stem cell transplantation (HSCT) allows successful treatment for many malignant and non-malignant disorders, its curative potential remains limited by severe side effects, including infections and other transplant-related complications such as graft-versus-host disease (GvHD). This study examined changes in serum proteome via high-performance two-dimensional gel electrophoresis (2-DE) during HSCT to search for diagnostic biomarkers for post-HSCT complications. Longitudinal proteomic analysis revealed proteins related to metabolic complications and hemolytic anemia. Retinol-binding protein 4 (RBP4), a reliable marker of insulin resistance, was identified, and is possibly associated with the onset mechanism of acute graft-versus-host disease (aGvHD) and/or skin GvHD. Although the cause of insulin resistance is not fully understood, it is thought to be associated with adipocytes inflammation induced by RBP4, iron overload and hemolytic anemia after HSCT, as observed in this study. The present study has demonstrated that insulin resistance and metabolic complications could be immediate complications after transplantation and are associated with aGvHD. The biomarkers revealed in this study are promising tools to be used for improving the early diagnosis of HSCT-associated complications, especially aGvHD, possibly even before clinical manifestations.

摘要

尽管造血干细胞移植(HSCT)可以成功治疗许多恶性和非恶性疾病,但由于严重的副作用,包括感染和其他与移植相关的并发症,如移植物抗宿主病(GvHD),其治疗潜力仍然有限。本研究通过高效二维凝胶电泳(2-DE)检查 HSCT 期间血清蛋白质组的变化,以寻找用于诊断移植后并发症的生物标志物。纵向蛋白质组学分析显示与代谢并发症和溶血性贫血相关的蛋白质。鉴定出视黄醇结合蛋白 4(RBP4),它是胰岛素抵抗的可靠标志物,可能与急性移植物抗宿主病(aGvHD)和/或皮肤 GvHD 的发病机制有关。尽管胰岛素抵抗的确切原因尚不完全清楚,但据认为与 RBP4 诱导的脂肪细胞炎症、HSCT 后铁过载和溶血性贫血有关,正如本研究观察到的那样。本研究表明,胰岛素抵抗和代谢并发症可能是移植后的即刻并发症,并与 aGvHD 相关。本研究中揭示的生物标志物是改善与 HSCT 相关并发症(尤其是 aGvHD)早期诊断的有前途的工具,甚至可能在临床表现之前。

https://cdn.ncbi.nlm.nih.gov/pmc/blobs/48ec/9385631/c296d5fca448/41598_2022_18221_Fig1_HTML.jpg

文献检索

告别复杂PubMed语法,用中文像聊天一样搜索,搜遍4000万医学文献。AI智能推荐,让科研检索更轻松。

立即免费搜索

文件翻译

保留排版,准确专业,支持PDF/Word/PPT等文件格式,支持 12+语言互译。

免费翻译文档

深度研究

AI帮你快速写综述,25分钟生成高质量综述,智能提取关键信息,辅助科研写作。

立即免费体验