• 文献检索
  • 文档翻译
  • 深度研究
  • 学术资讯
  • Suppr Zotero 插件Zotero 插件
  • 邀请有礼
  • 套餐&价格
  • 历史记录
应用&插件
Suppr Zotero 插件Zotero 插件浏览器插件Mac 客户端Windows 客户端微信小程序
定价
高级版会员购买积分包购买API积分包
服务
文献检索文档翻译深度研究API 文档MCP 服务
关于我们
关于 Suppr公司介绍联系我们用户协议隐私条款
关注我们

Suppr 超能文献

核心技术专利:CN118964589B侵权必究
粤ICP备2023148730 号-1Suppr @ 2026

文献检索

告别复杂PubMed语法,用中文像聊天一样搜索,搜遍4000万医学文献。AI智能推荐,让科研检索更轻松。

立即免费搜索

文件翻译

保留排版,准确专业,支持PDF/Word/PPT等文件格式,支持 12+语言互译。

免费翻译文档

深度研究

AI帮你快速写综述,25分钟生成高质量综述,智能提取关键信息,辅助科研写作。

立即免费体验

伊立替康化疗后发生感染性休克的危险因素:一项探索性病例对照研究。

Risk Factors for Septic Shock After Irinotecan-Containing Chemotherapy: An Exploratory Case-Control Study.

机构信息

Department of Obstetrics and Gynecology, Shizuoka General Hospital, 4-27-1, Kita-Ando, Shizuoka City, Shizuoka, 420-8527, Japan.

Department of Gynecology and Obstetrics, Kyoto University Graduate School of Medicine, Kyoto, Japan.

出版信息

Drugs R D. 2022 Dec;22(4):263-269. doi: 10.1007/s40268-022-00399-y. Epub 2022 Aug 20.

DOI:10.1007/s40268-022-00399-y
PMID:35987938
原文链接:https://pmc.ncbi.nlm.nih.gov/articles/PMC9700533/
Abstract

BACKGROUND AND OBJECTIVES

Irinotecan sometimes causes lethal septic shock but the risk factors remain unclear. This retrospective case-control study explored the potential risk factors for septic shock following irinotecan treatment.

METHODS

All women who received irinotecan-containing chemotherapy for gynecologic malignancies at Shizuoka General Hospital from October 2014 to September 2020 were investigated. The clinical backgrounds and blood test results of those who developed septic shock after irinotecan-containing chemotherapy were compared with those who did not. Odds ratios (ORs) for developing septic shock after receiving irinotecan were calculated with 95% confidence intervals (CIs), using univariable logistic regression analysis.

RESULTS

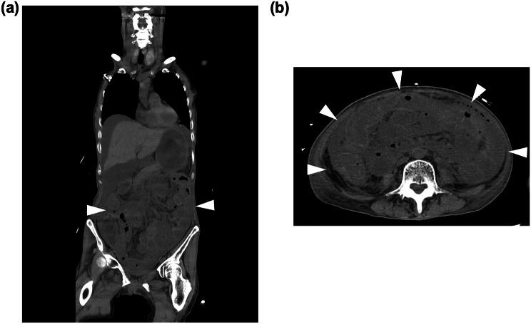
During the study period, 147 women received irinotecan-containing chemotherapy. Three women developed septic shock due to neutropenic enterocolitis after irinotecan treatment, and 144 did not. The three patients with septic shock had recurrent cervical cancer, heterozygous variants in the uridine diphosphate glucuronosyltransferase 1A1 (UGT1A1) gene (two patients had *1/*6, one had *1/*28 variants), a history of concurrent chemoradiation therapy, 50-60 Gy of pelvic irradiation, and platinum-combined chemotherapy. A history of pelvic irradiation was identified as a possible risk factor for developing septic shock after irinotecan-containing chemotherapy (OR 63.0, 95% CI 5.71-8635; p < 0.001). The OR of UGT1A1 polymorphism for septic shock was 9.09 (95% CI 0.86-1233; p = 0.070) in the complete case analysis.

CONCLUSION

Medical personnel involved in cancer therapy should consider the possible risk of septic shock developing due to neutropenic enterocolitis when administering irinotecan-containing chemotherapy in patients with a history of pelvic irradiation.

摘要

背景与目的

伊立替康有时会引起致命性感染性休克,但风险因素尚不清楚。本回顾性病例对照研究旨在探讨伊立替康治疗后发生感染性休克的潜在危险因素。

方法

本研究纳入 2014 年 10 月至 2020 年 9 月在静冈综合医院接受含伊立替康化疗的妇科恶性肿瘤患者。比较发生伊立替康化疗后感染性休克患者与未发生感染性休克患者的临床背景和血液检查结果。采用单变量逻辑回归分析计算发生伊立替康化疗后感染性休克的比值比(OR)及其 95%置信区间(CI)。

结果

研究期间,147 例患者接受了含伊立替康的化疗。3 例患者在伊立替康治疗后因中性粒细胞减少性肠炎并发感染性休克,144 例患者未发生感染性休克。3 例感染性休克患者均为复发性宫颈癌,均携带 UGT1A1 基因杂合变异(2 例为*1/6,1 例为1/*28 变异),有同期放化疗史、50-60 Gy 盆腔放疗和铂类联合化疗史。盆腔放疗史被认为是含伊立替康化疗后发生感染性休克的可能危险因素(OR 63.0,95%CI 5.71-8635;p<0.001)。在完全病例分析中,UGT1A1 多态性与感染性休克的 OR 为 9.09(95%CI 0.86-1233;p=0.070)。

结论

在对有盆腔放疗史的患者进行含伊立替康化疗时,医务人员应考虑因中性粒细胞减少性肠炎导致感染性休克的可能风险。

https://cdn.ncbi.nlm.nih.gov/pmc/blobs/b84c/9700533/0b72c00d54d6/40268_2022_399_Fig2_HTML.jpg
https://cdn.ncbi.nlm.nih.gov/pmc/blobs/b84c/9700533/f0f541d7c959/40268_2022_399_Fig1_HTML.jpg
https://cdn.ncbi.nlm.nih.gov/pmc/blobs/b84c/9700533/0b72c00d54d6/40268_2022_399_Fig2_HTML.jpg
https://cdn.ncbi.nlm.nih.gov/pmc/blobs/b84c/9700533/f0f541d7c959/40268_2022_399_Fig1_HTML.jpg
https://cdn.ncbi.nlm.nih.gov/pmc/blobs/b84c/9700533/0b72c00d54d6/40268_2022_399_Fig2_HTML.jpg

相似文献

1
Risk Factors for Septic Shock After Irinotecan-Containing Chemotherapy: An Exploratory Case-Control Study.伊立替康化疗后发生感染性休克的危险因素:一项探索性病例对照研究。
Drugs R D. 2022 Dec;22(4):263-269. doi: 10.1007/s40268-022-00399-y. Epub 2022 Aug 20.
2
UGT1A1 polymorphism has a prognostic effect in patients with stage IB or II uterine cervical cancer and one or no metastatic pelvic nodes receiving irinotecan chemotherapy: a retrospective study.UGT1A1 多态性对接受伊立替康化疗的 Ib 期或 II 期宫颈癌且仅有一个或无盆腔转移淋巴结的患者具有预后作用:一项回顾性研究。
BMC Cancer. 2020 Aug 5;20(1):729. doi: 10.1186/s12885-020-07225-1.
3
Correlation between UGT1A1 gene polymorphism and irinotecan chemotherapy in metastatic colorectal cancer: a study from Guangxi Zhuang.UGT1A1 基因多态性与转移性结直肠癌伊立替康化疗的相关性:来自广西壮族自治区的研究。
BMC Gastroenterol. 2020 Apr 7;20(1):96. doi: 10.1186/s12876-020-01227-w.
4
Study on the Optimal Dose of Irinotecan for Patients with Heterozygous Uridine Diphosphate-Glucuronosyltransferase 1A1 (UGT1A1).伊立替康在尿苷二磷酸葡萄糖醛酸转移酶 1A1(UGT1A1)杂合子患者中的最佳剂量研究。
Biol Pharm Bull. 2019;42(11):1839-1845. doi: 10.1248/bpb.b19-00357.
5
Clinical significance of UDP-glucuronosyltransferase 1A1*6 for toxicities of combination chemotherapy with irinotecan and cisplatin in gynecologic cancers: a prospective multi-institutional study.尿苷二磷酸葡萄糖醛酸基转移酶1A1*6对妇科癌症中伊立替康和顺铂联合化疗毒性的临床意义:一项前瞻性多机构研究。
Oncology. 2009;76(5):315-21. doi: 10.1159/000209335. Epub 2009 Mar 20.
6
Uridine diphosphate glucuronosyl transferase 1A1 promoter polymorphism predicts the risk of gastrointestinal toxicity and fatigue induced by irinotecan-based chemotherapy.尿苷二磷酸葡萄糖醛酸基转移酶1A1启动子多态性可预测基于伊立替康的化疗所致胃肠道毒性和疲劳的风险。
Cancer. 2006 Mar 1;106(5):1007-16. doi: 10.1002/cncr.21722.
7
Efficacy of combination chemotherapy using irinotecan and nedaplatin for patients with recurrent and refractory endometrial carcinomas: preliminary analysis and literature review.伊立替康联合奈达铂治疗复发性和难治性子宫内膜癌的疗效:初步分析及文献复习。
Cancer Chemother Pharmacol. 2018 Jan;81(1):111-117. doi: 10.1007/s00280-017-3454-y. Epub 2017 Nov 9.
8
Regorafenib Plus FOLFIRI With Irinotecan Dose Escalated According to Uridine Diphosphate Glucuronosyltransferase 1A1 Genotyping in Patients With Metastatic Colorectal Cancer.在转移性结直肠癌患者中,根据尿苷二磷酸葡萄糖醛酸基转移酶1A1基因分型对伊立替康剂量进行递增的瑞戈非尼联合FOLFIRI方案
Oncol Res. 2017 May 24;25(5):673-679. doi: 10.3727/97818823455816X14786040691928. Epub 2016 Nov 17.
9
Determination of the UGT1A1 polymorphism as guidance for irinotecan dose escalation in metastatic colorectal cancer treated with first-line bevacizumab and FOLFIRI (PURE FIST).确定UGT1A1基因多态性,以指导一线使用贝伐单抗和FOLFIRI方案治疗的转移性结直肠癌患者伊立替康剂量递增(PURE FIST研究)。
Eur J Cancer. 2020 Oct;138:19-29. doi: 10.1016/j.ejca.2020.05.031. Epub 2020 Aug 20.
10
UGT1A1 gene variations and irinotecan treatment in patients with metastatic colorectal cancer.转移性结直肠癌患者的UGT1A1基因变异与伊立替康治疗
Br J Cancer. 2004 Aug 16;91(4):678-82. doi: 10.1038/sj.bjc.6602042.

本文引用的文献

1
Pre-therapeutic UGT1A1 genotyping to reduce the risk of irinotecan-induced severe toxicity: Ready for prime time.进行治疗前 UGT1A1 基因分型,以降低伊立替康引起的严重毒性风险:是时候了。
Eur J Cancer. 2020 Dec;141:9-20. doi: 10.1016/j.ejca.2020.09.007. Epub 2020 Oct 23.
2
Irinotecan: 25 years of cancer treatment.伊立替康:25 年的癌症治疗历程。
Pharmacol Res. 2019 Oct;148:104398. doi: 10.1016/j.phrs.2019.104398. Epub 2019 Aug 12.
3
Correlation between pelvic bone marrow radiation dose and acute hematological toxicity in cervical cancer patients treated with concurrent chemoradiation.
同步放化疗治疗宫颈癌患者盆腔骨髓辐射剂量与急性血液学毒性的相关性
Cancer Manag Res. 2019 Jul 8;11:6285-6297. doi: 10.2147/CMAR.S195989. eCollection 2019.
4
Cervical cancer.宫颈癌。
Lancet. 2019 Jan 12;393(10167):169-182. doi: 10.1016/S0140-6736(18)32470-X.
5
Effect of Hangeshashin-To (Japanese Herbal Medicine Tj-14) on Tolerability of Irinotecan: Propensity Score and Instrumental Variable Analyses.汉方柴胡汤(日本草药TJ-14)对伊立替康耐受性的影响:倾向评分和工具变量分析
J Clin Med. 2018 Aug 28;7(9):246. doi: 10.3390/jcm7090246.
6
UGT1A1*6 and UGT1A1*28 polymorphisms are correlated with irinotecan-induced toxicity: A meta-analysis.UGT1A1*6和UGT1A1*28基因多态性与伊立替康所致毒性的相关性:一项荟萃分析。
Asia Pac J Clin Oncol. 2018 Oct;14(5):e479-e489. doi: 10.1111/ajco.13028. Epub 2018 Jun 22.
7
Attenuated FOLFIRINOX in the salvage treatment of gemcitabine-refractory advanced pancreatic cancer: a phase II study.吉西他滨耐药的晚期胰腺癌挽救性治疗中 FOLFIRINOX 的减量化:一项 II 期研究。
Cancer Commun (Lond). 2018 Jun 4;38(1):32. doi: 10.1186/s40880-018-0304-1.
8
Relevance of CYP3A4*20, UGT1A1*37 and UGT1A1*28 variants in irinotecan-induced severe toxicity.CYP3A4*20、UGT1A1*37 和 UGT1A1*28 变异与伊立替康引起的严重毒性的相关性。
Br J Clin Pharmacol. 2018 Jun;84(6):1389-1392. doi: 10.1111/bcp.13574. Epub 2018 Apr 16.
9
UGT1A1*6 polymorphisms are correlated with irinotecan-induced neutropenia: a systematic review and meta-analysis.UGT1A1*6基因多态性与伊立替康所致中性粒细胞减少症的相关性:一项系统评价和荟萃分析
Cancer Chemother Pharmacol. 2017 Jul;80(1):135-149. doi: 10.1007/s00280-017-3344-3. Epub 2017 Jun 5.
10
UGT1A1 polymorphisms in cancer: impact on irinotecan treatment.癌症中的UGT1A1基因多态性:对伊立替康治疗的影响。
Pharmgenomics Pers Med. 2017 Feb 28;10:61-68. doi: 10.2147/PGPM.S108656. eCollection 2017.