Suppr超能文献

超声引导下高强度聚焦超声治疗T2加权磁共振成像呈高信号的子宫肌瘤,有无GnRH类似物预处理:一项倾向评分匹配队列研究。

Ultrasound-guided HIFU for uterine fibroids of hyperintense on T2-weighted MR imaging with or without GnRH-analogue-pretreated: A propensity score matched cohort study.

作者信息

Jiang Li, Yu Jing-Wen, Yang Mei-Jie, Zhong Qiao, Chen Jin-Yun

机构信息

State Key Laboratory of Ultrasound in Medicine and Engineering, College of Biomedical Engineering, Chongqing Medical University, Chongqing, China.

College of Medical Informatics, Chongqing Medical University, Chongqing, China.

出版信息

Front Surg. 2022 Aug 4;9:975839. doi: 10.3389/fsurg.2022.975839. eCollection 2022.

Abstract

OBJECTIVE

To compare the therapeutic effect of high-intensity focused ultrasound (HIFU) ablation and HIFU pretreated with gonadotropin-releasing hormone analogue (GnRH-a) in the treatment of hyperintense uterine fibroids on T2-weighted magnetic resonance imaging (T2WI) by using propensity score matching.

MATERIALS AND METHODS

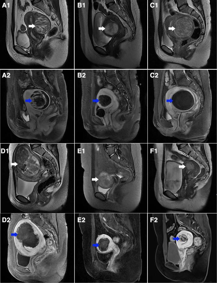
339 women with 368 hyperintense uterine fibroids on T2WI who underwent single-session HIFU ablation were enrolled, including 283 patients with 303 fibroids in the single-session HIFU (sHIFU) group and 56 patients with 65 fibroids in the HIFU pretreated with GnRH-a (Gn-HIFU) group. The signal intensity (SI) value and standard deviation (SD) value were measured based on T2WI, and the fibroids were further subdivided into heterogeneous hyperintense fibroids, slightly homogeneous hyperintense fibroids and markedly homogeneous hyperintense fibroids as 3 subgroups (HHF, sHHF and mHHF group respectively). Treatment time, sonication time, dose, non-perfused volume (NPV), NPV per sonication time, non-perfused volume ratio (NPVR), energy effect ratio (EEF) and adverse events were recorded.

RESULTS

Out of 339 patients, the median NPVR was 75.2% (interquartile range,31.5%). After propensity score matching, the matched cohort included 91 (64.5%) patients in the sHIFU group and 48 (34.5%) patients in the Gn-HIFU group. The NPVR of sHHF in the Gn-HIFU group had significantly smaller than that in the sHIFU group (60.2% versus 74.9%,  = 0.005), and the NPVR of HHF in the Gn-HIFU group was higher than those in the sHIFU group (87.4% versus 72.9%,  = 0.002).

CONCLUSIONS

Compared with HIFU alone, the therapeutic efficacy of the heterogeneous hyperintense fibroids may be enhanced by GnRH-a pretreated with HIFU, however it is important to rule out the slightly homogeneous hyperintense fibroids.

摘要

目的

采用倾向得分匹配法比较高强度聚焦超声(HIFU)消融与促性腺激素释放激素类似物(GnRH-a)预处理的HIFU治疗T2加权磁共振成像(T2WI)上的高信号子宫肌瘤的疗效。

材料与方法

纳入339例接受单次HIFU消融的T2WI上有368个高信号子宫肌瘤的女性,其中单次HIFU(sHIFU)组283例患者有303个肌瘤,GnRH-a预处理的HIFU(Gn-HIFU)组56例患者有65个肌瘤。基于T2WI测量信号强度(SI)值和标准差(SD)值,并将肌瘤进一步细分为异质性高信号肌瘤、轻度均匀性高信号肌瘤和显著均匀性高信号肌瘤作为3个亚组(分别为HHF、sHHF和mHHF组)。记录治疗时间、超声照射时间、剂量、无灌注体积(NPV)、每超声照射时间的NPV、无灌注体积比(NPVR)、能量效应比(EEF)和不良事件。

结果

339例患者中,NPVR中位数为75.2%(四分位间距,31.5%)。倾向得分匹配后,匹配队列包括sHIFU组91例(64.5%)患者和Gn-HIFU组48例(34.5%)患者。Gn-HIFU组sHHF的NPVR显著小于sHIFU组(60.2%对74.9%,P = 0.005),Gn-HIFU组HHF的NPVR高于sHIFU组(87.4%对72.9%,P = 0.002)。

结论

与单纯HIFU相比,GnRH-a预处理的HIFU可能增强异质性高信号肌瘤的治疗效果,但排除轻度均匀性高信号肌瘤很重要。

https://cdn.ncbi.nlm.nih.gov/pmc/blobs/3736/9386137/b885f00be833/fsurg-09-975839-g001.jpg

文献AI研究员

20分钟写一篇综述,助力文献阅读效率提升50倍。

立即体验

用中文搜PubMed

大模型驱动的PubMed中文搜索引擎

马上搜索

文档翻译

学术文献翻译模型,支持多种主流文档格式。

立即体验