Suppr超能文献

腕关节一站式 CT 关节造影,无需患者重新摆位,采用无机架锥形束 CT。

One-stop-shop CT arthrography of the wrist without subject repositioning by means of gantry-free cone-beam CT.

机构信息

Department of Diagnostic and Interventional Radiology, University Hospital Würzburg, Oberdürrbacher Straße 6, 97080, Würzburg, Germany.

Department of Orthopedic Trauma, Hand, Plastic and Reconstructive Surgery, University Hospital Würzburg, Oberdürrbacher Straße 6, 97080, Würzburg, Germany.

出版信息

Sci Rep. 2022 Aug 24;12(1):14422. doi: 10.1038/s41598-022-18395-2.

Abstract

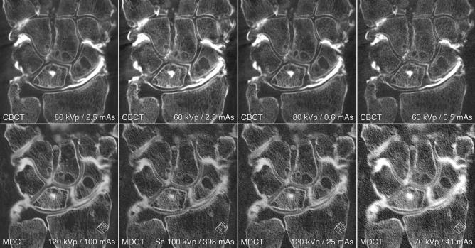
Modern cone-beam CT systems are capable of ultra-high-resolution 3D imaging in addition to conventional radiography and fluoroscopy. The combination of various imaging functions in a multi-use setup is particularly appealing for musculoskeletal interventions, such as CBCT arthrography (CBCTA). With this study, we aimed to investigate the feasibility of CBCTA of the wrist in a "one-stop-shop" approach with a gantry-free twin robotic scanner that does not require repositioning of subjects. Additionally, the image quality of CBCTA was compared to subsequent arthrograms on a high-end multidetector CT (MDCTA). Fourteen cadaveric wrists received CBCTA with four acquisition protocols. Specimens were then transferred to the CT suite for additional MDCTA. Dose indices ranged between 14.3 mGy (120 kVp/100 effective mAs; full-dose) and 1.0 mGy (70 kVp/41 effective mAs; ultra-low-dose) for MDCTA and between 17.4 mGy (80 kVp/2.5 mAs per pulse; full-dose) and 1.2 mGy (60 kVp/0.5 mAs per pulse; ultra-low-dose) for CBCTA. Subjective image quality assessment for bone, cartilage and ligamentous tissue was performed by seven radiologists. The interrater reliability was assessed by calculation of the intraclass correlation coefficient (ICC) based on a two-way random effects model. Overall image quality of most CBCTA was deemed suitable for diagnostic use in contrast to a considerable amount of non-diagnostic MDCTA examinations (38.8%). The depiction of bone, cartilage and ligaments in MDCTA with any form of dose reduction was inferior to any CBCTA scan with at least 0.6 mAs per pulse (all p < 0.001). Full-dose MDCTA and low-dose CBCTA were of equal quality for bone tissue visualization (p = 0.326), whereas CBCTA allowed for better depiction of ligaments and cartilage (both p < 0.001), despite merely one third of radiation exposure (MDCTA-14.3 mGy vs. CBCTA-4.5 mGy). Moderate to good interrater reliability was ascertained for the assessment all tissues (ICC 0.689-0.756). Overall median examination time for CBCTA was 5.4 min (4.8-7.2 min). This work demonstrates that substantial dose reduction can be achieved in CT arthrography of the wrist while maintaining diagnostic image quality by employing the cone-beam CT mode of a twin robotic X-ray system. The ability of the multi-use X-ray system to switch between fluoroscopy mode and 3D imaging allows for "one-stop-shop" CBCTA in minimal examination time without the need for repositioning.

摘要

现代锥形束 CT 系统除了常规射线照相和透视外,还能够进行超高分辨率的 3D 成像。在多用途设置中组合各种成像功能对于肌肉骨骼介入特别有吸引力,例如锥形束 CT 关节造影术(CBCTA)。通过这项研究,我们旨在研究一种无架式双机器人扫描仪的 CBCTA 的可行性,该扫描仪不需要重新定位受试者即可进行腕关节的“一站式”成像。此外,还比较了 CBCTA 的图像质量与后续在高端多排 CT(MDCTA)上的关节造影术。14 个尸体手腕接受了四种采集方案的 CBCTA。然后将标本转移到 CT 套件中以进行额外的 MDCTA。剂量指数范围为 MDCTA 的 14.3 mGy(120 kVp/100 有效 mAs;全剂量)和 1.0 mGy(70 kVp/41 有效 mAs;超低剂量)以及 CBCTA 的 17.4 mGy(80 kVp/2.5 mAs 每脉冲;全剂量)和 1.2 mGy(60 kVp/0.5 mAs 每脉冲;超低剂量)。七位放射科医生对骨骼、软骨和韧带组织的主观图像质量进行了评估。通过计算基于双向随机效应模型的组内相关系数(ICC)来评估组内可靠性。与相当数量的非诊断性 MDCTA 检查(38.8%)相比,大多数 CBCTA 的总体图像质量被认为适合诊断使用。任何形式的剂量减少的 MDCTA 中骨骼、软骨和韧带的显示均不如任何至少有 0.6 mAs 每脉冲的 CBCTA 扫描(均 p < 0.001)。全剂量 MDCTA 和低剂量 CBCTA 对骨骼组织可视化的质量相同(p = 0.326),而 CBCTA 允许更好地显示韧带和软骨(均 p < 0.001),尽管仅为 MDCTA 的三分之一辐射暴露(MDCTA-14.3 mGy 与 CBCTA-4.5 mGy)。对于所有组织的评估,均获得了中等至良好的组内可靠性(ICC 0.689-0.756)。CBCTA 的总体中位数检查时间为 5.4 分钟(4.8-7.2 分钟)。这项工作表明,通过使用双机器人 X 射线系统的锥形束 CT 模式,可以在腕关节 CT 关节造影术中实现大量剂量减少,同时保持诊断图像质量。多用途 X 射线系统在透视模式和 3D 成像之间切换的能力允许在最短的检查时间内进行“一站式”CBCTA,而无需重新定位。

https://cdn.ncbi.nlm.nih.gov/pmc/blobs/4b0b/9402709/c338b7c0a027/41598_2022_18395_Fig1_HTML.jpg

文献AI研究员

20分钟写一篇综述,助力文献阅读效率提升50倍。

立即体验

用中文搜PubMed

大模型驱动的PubMed中文搜索引擎

马上搜索

文档翻译

学术文献翻译模型,支持多种主流文档格式。

立即体验