• 文献检索
  • 文档翻译
  • 深度研究
  • 学术资讯
  • Suppr Zotero 插件Zotero 插件
  • 邀请有礼
  • 套餐&价格
  • 历史记录
应用&插件
Suppr Zotero 插件Zotero 插件浏览器插件Mac 客户端Windows 客户端微信小程序
定价
高级版会员购买积分包购买API积分包
服务
文献检索文档翻译深度研究API 文档MCP 服务
关于我们
关于 Suppr公司介绍联系我们用户协议隐私条款
关注我们

Suppr 超能文献

核心技术专利:CN118964589B侵权必究
粤ICP备2023148730 号-1Suppr @ 2026

文献检索

告别复杂PubMed语法,用中文像聊天一样搜索,搜遍4000万医学文献。AI智能推荐,让科研检索更轻松。

立即免费搜索

文件翻译

保留排版,准确专业,支持PDF/Word/PPT等文件格式,支持 12+语言互译。

免费翻译文档

深度研究

AI帮你快速写综述,25分钟生成高质量综述,智能提取关键信息,辅助科研写作。

立即免费体验

KRAS G12C突变型非小细胞肺腺癌:阿拉伯湾地区的首例文献报道

KRAS G12C-Mutant Non-Small-Cell Lung Adenocarcinoma: First Documented Report in the Arabian Gulf.

作者信息

Alsulaiman Abdullah S, Alharthi Siraj B, Albariqi Ahmed S, Mutabaqani Rasha A, Bokhari Fawzi F, Tayeb Islam M, Alharthi Dalia R, Tariq Muhammad U, Babaier Yasser H

机构信息

Molecular Diagnostic Unit, Alhada Armed Forces Hospital, Taif, SAU.

Biological Sciences, King Abdulaziz University, Jeddah, SAU.

出版信息

Cureus. 2022 Jul 21;14(7):e27090. doi: 10.7759/cureus.27090. eCollection 2022 Jul.

DOI:10.7759/cureus.27090
PMID:36004014
原文链接:https://pmc.ncbi.nlm.nih.gov/articles/PMC9391965/
Abstract

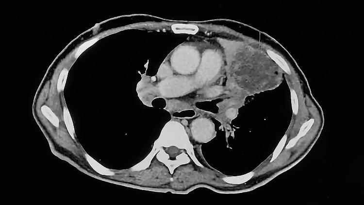
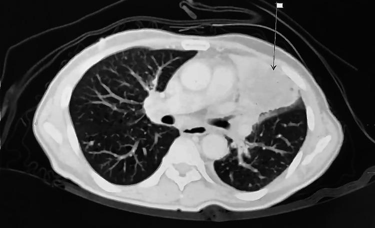
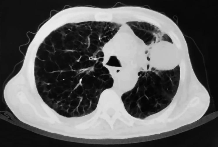
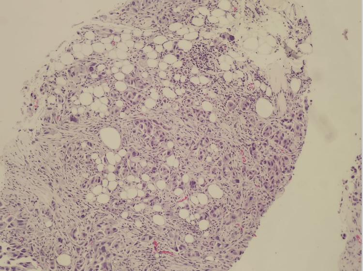
We report the first documented case series of two lung adenocarcinoma patients demonstrating Kirsten rat sarcoma viral oncogene homolog (KRAS) G12C mutations by reverse transcription-polymerase chain reaction techniques from Saudi Arabia. Both patients were males aged 64 and 76 years. The first had a heavy smoking history, while the second did not report any history of smoking. The tumor subtype was identified to be non-mucinous lung adenocarcinoma in both cases. The younger patient presented with generalized lymphadenopathy and a right-sided lung mass lesion, while the older patient exhibited stage III-A left lung adenocarcinoma that required rapid response. An initial examination of the first case showed a right-sided mediastinal shift, bilateral neck lymphadenopathy, and poorly differentiated neoplasm from a right supraclavicular core biopsy, leading to treatment with palliatives along with regular checkups. The second case was afebrile after being confirmed to be vitally stable and laboratory testing (Neutr 100). Further studies, specifically on large numbers of patients from the Arabian Gulf, are needed to confirm significant differences between the national and international populations. Additionally, future studies should investigate more differences in the differentiation of KRAS-mutant lung adenocarcinoma between patients from the Arabian Gulf and others.

摘要

我们报告了沙特阿拉伯首例通过逆转录-聚合酶链反应技术证实存在 Kirsten 大鼠肉瘤病毒癌基因同源物(KRAS)G12C 突变的两例肺腺癌患者的病例系列。两名患者均为男性,年龄分别为 64 岁和 76 岁。第一名患者有重度吸烟史,而第二名患者未报告任何吸烟史。两例患者的肿瘤亚型均被确定为非黏液性肺腺癌。较年轻的患者表现为全身淋巴结肿大和右侧肺部肿块病变,而较年长的患者表现为 III - A 期左肺腺癌,需要快速治疗。对第一例病例的初步检查显示右侧纵隔移位、双侧颈部淋巴结肿大,以及右锁骨上核心活检的低分化肿瘤,导致采用姑息治疗并定期检查。第二例病例在确认生命体征稳定且实验室检查(中性粒细胞 100)后无发热症状。需要进一步开展研究,特别是针对大量来自阿拉伯湾地区的患者,以确认本国人群与国际人群之间的显著差异。此外,未来的研究应调查阿拉伯湾地区患者与其他患者之间 KRAS 突变型肺腺癌分化方面的更多差异。

https://cdn.ncbi.nlm.nih.gov/pmc/blobs/f7d6/9391965/a70ff0efe3dc/cureus-0014-00000027090-i06.jpg
https://cdn.ncbi.nlm.nih.gov/pmc/blobs/f7d6/9391965/a64e02ae4f5a/cureus-0014-00000027090-i01.jpg
https://cdn.ncbi.nlm.nih.gov/pmc/blobs/f7d6/9391965/83c88b24593f/cureus-0014-00000027090-i02.jpg
https://cdn.ncbi.nlm.nih.gov/pmc/blobs/f7d6/9391965/8dab3a53db56/cureus-0014-00000027090-i03.jpg
https://cdn.ncbi.nlm.nih.gov/pmc/blobs/f7d6/9391965/0e6528f86284/cureus-0014-00000027090-i04.jpg
https://cdn.ncbi.nlm.nih.gov/pmc/blobs/f7d6/9391965/848cac19d65a/cureus-0014-00000027090-i05.jpg
https://cdn.ncbi.nlm.nih.gov/pmc/blobs/f7d6/9391965/a70ff0efe3dc/cureus-0014-00000027090-i06.jpg
https://cdn.ncbi.nlm.nih.gov/pmc/blobs/f7d6/9391965/a64e02ae4f5a/cureus-0014-00000027090-i01.jpg
https://cdn.ncbi.nlm.nih.gov/pmc/blobs/f7d6/9391965/83c88b24593f/cureus-0014-00000027090-i02.jpg
https://cdn.ncbi.nlm.nih.gov/pmc/blobs/f7d6/9391965/8dab3a53db56/cureus-0014-00000027090-i03.jpg
https://cdn.ncbi.nlm.nih.gov/pmc/blobs/f7d6/9391965/0e6528f86284/cureus-0014-00000027090-i04.jpg
https://cdn.ncbi.nlm.nih.gov/pmc/blobs/f7d6/9391965/848cac19d65a/cureus-0014-00000027090-i05.jpg
https://cdn.ncbi.nlm.nih.gov/pmc/blobs/f7d6/9391965/a70ff0efe3dc/cureus-0014-00000027090-i06.jpg

相似文献

1
KRAS G12C-Mutant Non-Small-Cell Lung Adenocarcinoma: First Documented Report in the Arabian Gulf.KRAS G12C突变型非小细胞肺腺癌:阿拉伯湾地区的首例文献报道
Cureus. 2022 Jul 21;14(7):e27090. doi: 10.7759/cureus.27090. eCollection 2022 Jul.
2
Concomitant occurrence of EGFR (epidermal growth factor receptor) and KRAS (V-Ki-ras2 Kirsten rat sarcoma viral oncogene homolog) mutations in an ALK (anaplastic lymphoma kinase)-positive lung adenocarcinoma patient with acquired resistance to crizotinib: a case report.一名对克唑替尼产生获得性耐药的ALK(间变性淋巴瘤激酶)阳性肺腺癌患者同时发生EGFR(表皮生长因子受体)和KRAS(V-Ki-ras2 Kirsten大鼠肉瘤病毒癌基因同源物)突变:病例报告
BMC Res Notes. 2013 Nov 26;6:489. doi: 10.1186/1756-0500-6-489.
3
KRAS G12C-Mutant Non-Small Cell Lung Cancer: Biology, Developmental Therapeutics, and Molecular Testing.KRAS G12C 突变型非小细胞肺癌:生物学、研发治疗策略和分子检测。
J Mol Diagn. 2021 May;23(5):507-520. doi: 10.1016/j.jmoldx.2021.02.002. Epub 2021 Feb 20.
4
The prognostic value of Kirsten rat sarcoma viral oncogene homolog mutations in resected lung adenocarcinoma differs according to clinical features.KRAS 基因突变在肺腺癌中的预后价值因其临床特征而异。
J Thorac Cardiovasc Surg. 2022 Jan;163(1):e73-e85. doi: 10.1016/j.jtcvs.2020.05.097. Epub 2020 Jun 21.
5
Loss of wild type KRAS in KRAS lung adenocarcinoma is associated with cancer mortality and confers sensitivity to FASN inhibitors.KRAS 肺腺癌中野生型 KRAS 的丢失与癌症死亡率相关,并赋予对 FASN 抑制剂的敏感性。
Lung Cancer. 2021 Mar;153:73-80. doi: 10.1016/j.lungcan.2020.12.032. Epub 2021 Jan 2.
6
KRAS G12C mutations in Asia: a landscape analysis of 11,951 Chinese tumor samples.亚洲的KRAS G12C突变:对11951份中国肿瘤样本的全景分析
Transl Lung Cancer Res. 2020 Oct;9(5):1759-1769. doi: 10.21037/tlcr-20-455.
7
Molecular profile of KRAS G12C-mutant colorectal and non-small-cell lung cancer.KRAS G12C 突变型结直肠癌和非小细胞肺癌的分子特征。
BMC Cancer. 2021 Feb 25;21(1):193. doi: 10.1186/s12885-021-07884-8.
8
KRAS-G12C mutation is associated with poor outcome in surgically resected lung adenocarcinoma.KRAS-G12C 突变与手术切除的肺腺癌不良预后相关。
J Thorac Oncol. 2014 Oct;9(10):1513-22. doi: 10.1097/JTO.0000000000000305.
9
Performance evaluation of a fully closed real-time PCR platform for the detection of KRAS p.G12C mutations in liquid biopsy of patients with non-small cell lung cancer.一种全封闭实时 PCR 平台用于检测非小细胞肺癌患者液体活检中 KRAS p.G12C 突变的性能评估。
J Clin Pathol. 2022 May;75(5):350-353. doi: 10.1136/jclinpath-2021-207416. Epub 2021 Mar 1.
10
Epidermal growth factor receptor and KRAS mutations in lung adenocarcinoma: a retrospective study of the Lebanese population.肺腺癌中表皮生长因子受体和KRAS突变:黎巴嫩人群的回顾性研究
Oncol Rep. 2014 Nov;32(5):2223-9. doi: 10.3892/or.2014.3406. Epub 2014 Aug 14.

本文引用的文献

1
Landscape of , Associated Genomic Alterations, and Interrelation With Immuno-Oncology Biomarkers in -Mutated Cancers.非小细胞肺癌中 的全景、相关基因组改变,及其与免疫肿瘤生物标志物的相互关系。
JCO Precis Oncol. 2022 Mar;6:e2100245. doi: 10.1200/PO.21.00245.
2
Prevalence of Epidermal Growth Factor Receptor Exon 20 Insertion Mutations in Non-small-Cell Lung Cancer in Europe: A Pragmatic Literature Review and Meta-analysis.欧洲非小细胞肺癌中表皮生长因子受体外显子 20 插入突变的流行情况:实用文献回顾和荟萃分析。
Target Oncol. 2022 Mar;17(2):153-166. doi: 10.1007/s11523-022-00868-z. Epub 2022 Feb 28.
3
Oncogenic KRAS blockade therapy: renewed enthusiasm and persistent challenges.
致癌性 KRAS 阻断治疗:重燃热情与持续挑战。
Mol Cancer. 2021 Oct 4;20(1):128. doi: 10.1186/s12943-021-01422-7.
4
KRAS G12C Mutations in NSCLC: From Target to Resistance.非小细胞肺癌中的KRAS G12C突变:从靶点到耐药
Cancers (Basel). 2021 May 21;13(11):2541. doi: 10.3390/cancers13112541.
5
The improbable targeted therapy: KRAS as an emerging target in non-small cell lung cancer (NSCLC).不太可能的靶向治疗:KRAS 作为非小细胞肺癌(NSCLC)的新兴靶点。
Cell Rep Med. 2021 Jan 19;2(1):100186. doi: 10.1016/j.xcrm.2020.100186.
6
KRAS Inhibition with Sotorasib in Advanced Solid Tumors.索托拉西布治疗晚期实体瘤的 KRAS 抑制作用。
N Engl J Med. 2020 Sep 24;383(13):1207-1217. doi: 10.1056/NEJMoa1917239. Epub 2020 Sep 20.
7
Differences in molecular epidemiology of lung cancer among ethnicities (Asian Caucasian).不同种族(亚洲人与白种人)肺癌分子流行病学的差异。
J Thorac Dis. 2020 Jul;12(7):3776-3784. doi: 10.21037/jtd.2019.08.61.
8
KRAS mutation as a prognostic factor and predictive factor in advanced/metastatic non-small cell lung cancer: A systematic literature review and meta-analysis.KRAS 突变作为晚期/转移性非小细胞肺癌的预后因素和预测因素:系统文献回顾和荟萃分析。
Cancer Treat Res Commun. 2020;24:100200. doi: 10.1016/j.ctarc.2020.100200. Epub 2020 Jul 25.
9
Global lung cancer mortality trends and lifestyle modifications: preliminary analysis.全球肺癌死亡率趋势与生活方式改变:初步分析。
Chin Med J (Engl). 2020 Jul 5;133(13):1526-1532. doi: 10.1097/CM9.0000000000000918.
10
The Role and Function of Ras-association domain family in Cancer: A Review.Ras 关联结构域家族在癌症中的作用与功能:综述
Genes Dis. 2019 Jul 27;6(4):378-384. doi: 10.1016/j.gendis.2019.07.008. eCollection 2019 Dec.