Suppr超能文献

希腊人群中1400例患者恒牙阻生的发生率及局部病因学因素

Frequency and Local Etiological Factors of Impaction of Permanent Teeth among 1400 Patients in a Greek Population.

作者信息

Siotou Kalliopi, Kouskouki Maria-Panagiota, Christopoulou Isidora, Tsolakis Apostolos I, Tsolakis Ioannis A

机构信息

Department of Orthodontics, School of Dentistry, National and Kapodistrian University of Athens, 11527 Athens, Greece.

Department of Metabolic Bone Diseases, Medical School, National and Kapodistrian University of Athens, 11527 Athens, Greece.

出版信息

Dent J (Basel). 2022 Aug 11;10(8):150. doi: 10.3390/dj10080150.

Abstract

BACKGROUND

The purpose of this study is to analyze the frequency of impaction of permanent teeth, beyond the third molars, and to highlight the factors causing this condition.

METHODS

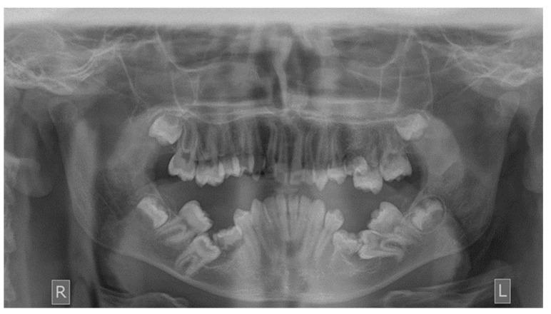
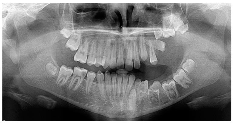
Panoramic radiographs of 1400 patients that sought orthodontic treatment in private practice were retrieved and examined. All teeth that had not been erupted at the time of the examination while their root formation was completed were considered impacted.

RESULTS

In total, 212 out of 1400 patients had at least one impacted tooth (15.14%). The highest incidence of tooth impaction was in the canines of the maxilla, followed by the central incisors of the maxilla, the second molars of the mandible and the second premolars of the mandible. The most common etiological factors responsible for the impaction were the ectopic eruption pathway, loss of space in the arch, the ankylosis of the deciduous teeth and the presence of supernumerary teeth.

CONCLUSIONS

Tooth impaction is frequently seen in everyday orthodontic practice. The upper canines are the teeth most frequently associated with impaction and failure of eruption. It is important to diagnose cases of impaction early on and identify the etiological factors in order to achieve immediate and effective treatment per patient.

摘要

背景

本研究旨在分析除第三磨牙外恒牙阻生的发生率,并突出导致这种情况的因素。

方法

检索并检查了1400名在私人诊所寻求正畸治疗的患者的全景X线片。所有在检查时牙根形成已完成但尚未萌出的牙齿均被视为阻生牙。

结果

在1400名患者中,共有212名患者至少有一颗阻生牙(15.14%)。牙齿阻生的最高发生率在上颌尖牙,其次是上颌中切牙、下颌第二磨牙和下颌第二前磨牙。导致阻生的最常见病因是异位萌出道、牙弓间隙丧失、乳牙粘连和多生牙的存在。

结论

牙齿阻生在日常正畸实践中很常见。上颌尖牙是最常与阻生和萌出失败相关的牙齿。早期诊断阻生病例并确定病因对于为每位患者实现即时有效的治疗很重要。

https://cdn.ncbi.nlm.nih.gov/pmc/blobs/72ea/9406841/116a07037859/dentistry-10-00150-g001.jpg

文献检索

告别复杂PubMed语法,用中文像聊天一样搜索,搜遍4000万医学文献。AI智能推荐,让科研检索更轻松。

立即免费搜索

文件翻译

保留排版,准确专业,支持PDF/Word/PPT等文件格式,支持 12+语言互译。

免费翻译文档

深度研究

AI帮你快速写综述,25分钟生成高质量综述,智能提取关键信息,辅助科研写作。

立即免费体验