• 文献检索
  • 文档翻译
  • 深度研究
  • 学术资讯
  • Suppr Zotero 插件Zotero 插件
  • 邀请有礼
  • 套餐&价格
  • 历史记录
应用&插件
Suppr Zotero 插件Zotero 插件浏览器插件Mac 客户端Windows 客户端微信小程序
定价
高级版会员购买积分包购买API积分包
服务
文献检索文档翻译深度研究API 文档MCP 服务
关于我们
关于 Suppr公司介绍联系我们用户协议隐私条款
关注我们

Suppr 超能文献

核心技术专利:CN118964589B侵权必究
粤ICP备2023148730 号-1Suppr @ 2026

文献检索

告别复杂PubMed语法,用中文像聊天一样搜索,搜遍4000万医学文献。AI智能推荐,让科研检索更轻松。

立即免费搜索

文件翻译

保留排版,准确专业,支持PDF/Word/PPT等文件格式,支持 12+语言互译。

免费翻译文档

深度研究

AI帮你快速写综述,25分钟生成高质量综述,智能提取关键信息,辅助科研写作。

立即免费体验

人类西尼罗河病毒本土感染疫情(意大利皮埃蒙特阿斯蒂,2018年8月至10月)及长期后遗症随访

Autochthonous West Nile Virus Infection Outbreak in Humans (Asti, Piedmont, Italy, August-October 2018) and Long-Term Sequelae Follow-Up.

作者信息

Lupia Tommaso, Libanore Valentina, Corcione Silvia, Fornari Valentina, Rizzello Barbara, Bosio Roberta, Stroffolini Giacomo, Bigliano Paolo, Fontana Silvia, Patti Francesca, Brusa Maria Teresa, Degioanni Maria, Concialdi Erika, Navazio Anna Sara, Penna Maurizio, De Rosa Francesco Giuseppe

机构信息

Unit of Infectious Diseases, Cardinal Massaia Hospital, 14100 Asti, Italy.

Department of Medical Sciences, Infectious Diseases, University of Turin, 10124 Torino, Italy.

出版信息

Trop Med Infect Dis. 2022 Aug 16;7(8):185. doi: 10.3390/tropicalmed7080185.

DOI:10.3390/tropicalmed7080185
PMID:36006277
原文链接:https://pmc.ncbi.nlm.nih.gov/articles/PMC9412690/
Abstract

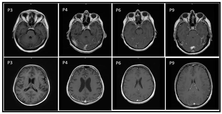
West Nile virus (WNV) infection is a reemerging zoonosis recently provoking significant outbreaks throughout Europe. During the summer of 2018, the number of WNV infections rose with a peak of new diagnoses of West Nile neuro-invasive disease (WNND). Most of the Italian cases were clustered in the Po River Valley. We present a case series of nine patients with WNV infection admitted to the Cardinal Massaia Hospital from 30 August 2018 to 1 October 2018. Demographic, immunovirological, clinical and therapeutic data are shown, and a report on clinical sequelae from the subsequent follow-up in patients with WNV and WNND. We showed the clinical, radiological and biochemical characteristics of WNV-infected patients. The risk factors and the clinical presentation of WNV in most patients in our case series were typical of that described in the literature, although, despite the high morbidity and mortality of WNND, we showed survival of 100% and long-term sequelae in only three patients. Environmental conditions may be essential in WNV outbreaks, and WNND can be clinically neurological multiform. Our long-lasting follow-up with clinical or radiological monitoring confirmed the morbidity of long-term neurological sequelae after WNND. Further studies are needed to investigate the epidemiology and physiopathology of bacterial superinfections after WNV infection.

摘要

西尼罗河病毒(WNV)感染是一种再度出现的人畜共患病,最近在整个欧洲引发了重大疫情。在2018年夏季,WNV感染病例数上升,西尼罗河神经侵袭性疾病(WNND)新诊断病例达到峰值。大多数意大利病例集中在波河流域。我们呈现了一个病例系列,包括2018年8月30日至10月1日入住红衣主教马萨亚医院的9例WNV感染患者。展示了人口统计学、免疫病毒学、临床和治疗数据,并报告了WNV和WNND患者后续随访的临床后遗症情况。我们展示了WNV感染患者的临床、放射学和生化特征。尽管WNND发病率和死亡率很高,但在我们的病例系列中,大多数患者的WNV危险因素和临床表现与文献中描述的典型情况相符,不过我们的患者100%存活,只有3例出现长期后遗症。环境条件可能在WNV疫情中至关重要,且WNND在临床上可能呈现多种神经症状。我们通过临床或放射学监测进行的长期随访证实了WNND后长期神经后遗症的发病率。需要进一步研究来调查WNV感染后细菌二重感染的流行病学和病理生理学。

https://cdn.ncbi.nlm.nih.gov/pmc/blobs/5a14/9412690/0f85d1c669b0/tropicalmed-07-00185-g001.jpg
https://cdn.ncbi.nlm.nih.gov/pmc/blobs/5a14/9412690/0f85d1c669b0/tropicalmed-07-00185-g001.jpg
https://cdn.ncbi.nlm.nih.gov/pmc/blobs/5a14/9412690/0f85d1c669b0/tropicalmed-07-00185-g001.jpg

相似文献

1
Autochthonous West Nile Virus Infection Outbreak in Humans (Asti, Piedmont, Italy, August-October 2018) and Long-Term Sequelae Follow-Up.人类西尼罗河病毒本土感染疫情(意大利皮埃蒙特阿斯蒂,2018年8月至10月)及长期后遗症随访
Trop Med Infect Dis. 2022 Aug 16;7(8):185. doi: 10.3390/tropicalmed7080185.
2
Epidemiology of West Nile Virus Infections in Humans, Italy, 2012-2020: A Summary of Available Evidences.2012 - 2020年意大利人类西尼罗河病毒感染的流行病学:现有证据总结
Trop Med Infect Dis. 2021 Apr 24;6(2):61. doi: 10.3390/tropicalmed6020061.
3
West-Nile virus encephalitis in an immunocompetent pediatric patient: successful recovery.西尼罗河病毒脑炎在免疫功能正常的儿科患者中的表现:成功康复。
Ital J Pediatr. 2018 Nov 20;44(1):140. doi: 10.1186/s13052-018-0574-x.
4
Human West Nile Virus Lineage 2 Infection: Epidemiological, Clinical, and Virological Findings.人类西尼罗河病毒 2 型感染:流行病学、临床和病毒学研究结果。
Viruses. 2020 Apr 18;12(4):458. doi: 10.3390/v12040458.
5
West Nile virus neuroinvasive disease.西尼罗河病毒神经侵袭性疾病
Ann Neurol. 2006 Sep;60(3):286-300. doi: 10.1002/ana.20959.
6
Rapid spread of a new West Nile virus lineage 1 associated with increased risk of neuroinvasive disease during a large outbreak in northern Italy, 2022: One Health analysis.2022年意大利北部大规模疫情期间,一种与神经侵袭性疾病风险增加相关的新型西尼罗河病毒1型谱系迅速传播:“同一健康”分析
J Travel Med. 2022 Nov 4;31(8). doi: 10.1093/jtm/taac125.
7
West Nile Virus Infection: A Cross-Sectional Study on Italian Medical Professionals during Summer Season 2022.西尼罗河病毒感染:2022年夏季意大利医学专业人员的横断面研究
Trop Med Infect Dis. 2022 Nov 28;7(12):404. doi: 10.3390/tropicalmed7120404.
8
Review of West Nile virus epidemiology in Italy and report of a case of West Nile virus encephalitis.意大利西尼罗河病毒流行病学综述及一例西尼罗河病毒脑炎病例报告。
J Neurovirol. 2014 Oct;20(5):437-41. doi: 10.1007/s13365-014-0276-0. Epub 2014 Aug 20.
9
First neuroinvasive human case of West Nile Disease in Southern Italy: Results of the 'One Health' approach.首例西尼罗河病毒在意大利南部的神经侵袭性人类病例:“同一健康”方法的结果。
Vet Med Sci. 2021 Nov;7(6):2463-2472. doi: 10.1002/vms3.591. Epub 2021 Sep 10.
10
West Nile virus disease in children, United States, 1999-2007.1999 - 2007年美国儿童西尼罗河病毒病
Pediatrics. 2009 Jun;123(6):e1084-9. doi: 10.1542/peds.2008-3278.

引用本文的文献

1
First Human Usutu Virus Reported in Asti (Piedmont, Italy, August 2022) and Early Follow-Up.首例乌苏图病毒在阿斯蒂被发现(意大利皮埃蒙特,2022年8月)及早期随访情况
Trop Med Infect Dis. 2022 Dec 17;7(12):443. doi: 10.3390/tropicalmed7120443.

本文引用的文献

1
Epidemiology of human West Nile virus infections in the European Union and European Union enlargement countries, 2010 to 2018.2010年至2018年欧盟及欧盟扩大候选国人类西尼罗河病毒感染的流行病学情况
Euro Surveill. 2021 May;26(19). doi: 10.2807/1560-7917.ES.2021.26.19.2001095.
2
Epidemiology of West Nile Virus Infections in Humans, Italy, 2012-2020: A Summary of Available Evidences.2012 - 2020年意大利人类西尼罗河病毒感染的流行病学:现有证据总结
Trop Med Infect Dis. 2021 Apr 24;6(2):61. doi: 10.3390/tropicalmed6020061.
3
Ocular Manifestations of West Nile Virus.
西尼罗河病毒的眼部表现
Vaccines (Basel). 2020 Nov 2;8(4):641. doi: 10.3390/vaccines8040641.
4
Recent rapid changes in the spatio-temporal distribution of West Nile Neuro-invasive Disease in Italy.意大利西尼罗河神经侵入性疾病时空分布的近期快速变化。
Zoonoses Public Health. 2020 Feb;67(1):54-61. doi: 10.1111/zph.12654. Epub 2019 Oct 14.
5
West Nile Virus infection in Northern Italy: Case-crossover study on the short-term effect of climatic parameters.意大利北部的西尼罗河病毒感染:气象参数短期影响的病例交叉研究。
Environ Res. 2018 Nov;167:544-549. doi: 10.1016/j.envres.2018.08.016. Epub 2018 Aug 18.
6
Epidemiologic and clinical parameters of West Nile virus infections in humans: a scoping review.人类西尼罗河病毒感染的流行病学和临床参数:一项范围综述
BMC Infect Dis. 2017 Sep 6;17(1):609. doi: 10.1186/s12879-017-2637-9.
7
Long-term sequelae of West Nile virus-related illness: a systematic review.西尼罗河病毒相关疾病的长期后遗症:系统评价。
Lancet Infect Dis. 2015 Aug;15(8):951-9. doi: 10.1016/S1473-3099(15)00134-6. Epub 2015 Jul 7.
8
The global ecology and epidemiology of West Nile virus.西尼罗河病毒的全球生态学与流行病学
Biomed Res Int. 2015;2015:376230. doi: 10.1155/2015/376230. Epub 2015 Mar 19.
9
West Nile virus in the transfusion setting with a special focus on Italian preventive measures adopted in 2008-2012 and their impact on blood safety.输血环境中的西尼罗河病毒,特别关注2008 - 2012年意大利采取的预防措施及其对血液安全的影响。
Blood Transfus. 2013 Oct;11(4):563-74. doi: 10.2450/2013.0077-13. Epub 2013 Oct 23.
10
West Nile virus: review of the literature.西尼罗河病毒:文献综述。
JAMA. 2013 Jul 17;310(3):308-15. doi: 10.1001/jama.2013.8042.