Suppr超能文献

一例伴有瘤内出血的侧脑室室管膜下瘤的神经内镜手术病例

A Case of Lateral Ventricular Subependymoma with Intratumoral Hemorrhage Neuroendoscopic Surgery.

作者信息

Fuchinoue Yutaka, Uchino Kei, Terazono Sayaka, Harada Noyuki, Kondo Kosuke, Sugo Nobuo

机构信息

Department of Neurosurgery (Omori), School of Medicine, Faculty of Medicine, Toho University, Tokyo, Japan.

出版信息

NMC Case Rep J. 2022 Jul 27;9:231-236. doi: 10.2176/jns-nmc.2021-0413. eCollection 2022.

Abstract

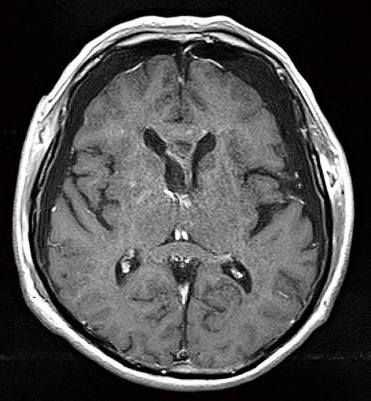
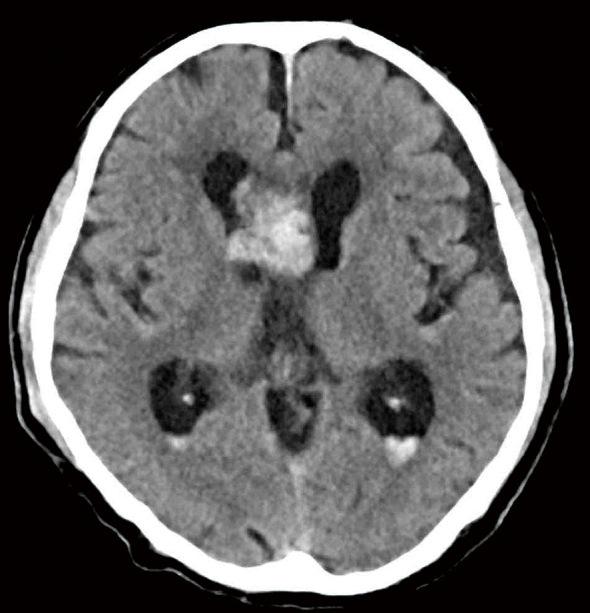
Subependymoma (SE) is a rare, usually asymptomatic, brain tumor predominantly affecting older adults and occurring in the fourth and lateral ventricles. We report a rare case of SE with intratumoral hemorrhage that could be removed by neuroendoscopy. The 81-year-old patient had been followed as an outpatient for 10 years due to an intraventricular tumor. It did not grow over the patient's lengthy follow-up. The patient was transferred to our hospital after he fainted near his home; at the time of admission, he had mild consciousness disturbance, and his Glasgow Coma Scale score was 10 points (E3V3M4). Computed tomography showed intratumoral hemorrhage and slight ventricular enlargement. Magnetic resonance (MR) imaging showed a 4 cm-sized tumor in the anterior horn of the right lateral ventricle. The lesion appeared as a mixed-intensity solid tumor and showed irregular enhancement with gadolinium. The patient underwent neuroendoscopic tumor resection on the 30 day of the patient's hospital stay. A histopathological examination revealed small tumor cells with round nuclei scattered in the glial fibrillary background. Immunostaining was positive for glial fibrillary acidic protein; these findings are consistent with an SE diagnosis. The patient in this study had hypertension and used anticoagulants, risk factors for intratumoral hemorrhage. For intraventricular tumors with bleeding-particularly in older or more physically frail patients-minimally invasive neuroendoscopic surgery should be considered an option for tumor resection.

摘要

室管膜下瘤(SE)是一种罕见的、通常无症状的脑肿瘤,主要影响老年人,多发生于第四脑室和侧脑室。我们报告一例罕见的伴有瘤内出血的室管膜下瘤,该肿瘤可通过神经内镜切除。这位81岁的患者因脑室内肿瘤已作为门诊患者随访了10年。在患者漫长的随访期间肿瘤未生长。患者在家附近晕倒后被转至我院;入院时,他有轻度意识障碍,格拉斯哥昏迷量表评分为10分(E3V3M4)。计算机断层扫描显示瘤内出血和轻度脑室扩大。磁共振成像显示右侧脑室前角有一个4厘米大小的肿瘤。该病变表现为混合密度实性肿瘤,钆增强扫描显示不规则强化。患者在住院第30天行神经内镜肿瘤切除术。组织病理学检查显示圆形核的小肿瘤细胞散在于胶质纤维背景中。免疫染色胶质纤维酸性蛋白呈阳性;这些发现符合室管膜下瘤的诊断。本研究中的患者患有高血压并使用抗凝剂,这些都是瘤内出血的危险因素。对于伴有出血的脑室内肿瘤,尤其是老年或身体较为虚弱的患者,微创神经内镜手术应被视为肿瘤切除的一种选择。

https://cdn.ncbi.nlm.nih.gov/pmc/blobs/42f4/9398465/e2a6661e4dec/2188-4226-9-0231-g001.jpg

文献检索

告别复杂PubMed语法,用中文像聊天一样搜索,搜遍4000万医学文献。AI智能推荐,让科研检索更轻松。

立即免费搜索

文件翻译

保留排版,准确专业,支持PDF/Word/PPT等文件格式,支持 12+语言互译。

免费翻译文档

深度研究

AI帮你快速写综述,25分钟生成高质量综述,智能提取关键信息,辅助科研写作。

立即免费体验