• 文献检索
  • 文档翻译
  • 深度研究
  • 学术资讯
  • Suppr Zotero 插件Zotero 插件
  • 邀请有礼
  • 套餐&价格
  • 历史记录
应用&插件
Suppr Zotero 插件Zotero 插件浏览器插件Mac 客户端Windows 客户端微信小程序
定价
高级版会员购买积分包购买API积分包
服务
文献检索文档翻译深度研究API 文档MCP 服务
关于我们
关于 Suppr公司介绍联系我们用户协议隐私条款
关注我们

Suppr 超能文献

核心技术专利:CN118964589B侵权必究
粤ICP备2023148730 号-1Suppr @ 2026

文献检索

告别复杂PubMed语法,用中文像聊天一样搜索,搜遍4000万医学文献。AI智能推荐,让科研检索更轻松。

立即免费搜索

文件翻译

保留排版,准确专业,支持PDF/Word/PPT等文件格式,支持 12+语言互译。

免费翻译文档

深度研究

AI帮你快速写综述,25分钟生成高质量综述,智能提取关键信息,辅助科研写作。

立即免费体验

胃碰撞瘤,可能起源于异位胰腺。

Gastric collision tumour with probable ectopic pancreatic origin.

作者信息

Gonzáles Juan Francisco Olivos, Arroyo-Gárate Rodrigo, Estrella Miguel Angel Leon, Cerrillo Gustavo, Medinae Stefanie Campos

机构信息

Instituto Nacional de Enfermedades Neoplásicas, Surquillo 15038, Peru.

https://orcid.org/0000-0002-0559-0295.

出版信息

Ecancermedicalscience. 2022 Jun 13;16:1410. doi: 10.3332/ecancer.2022.1410. eCollection 2022.

DOI:10.3332/ecancer.2022.1410
PMID:36072234
原文链接:https://pmc.ncbi.nlm.nih.gov/articles/PMC9377815/
Abstract

INTRODUCTION

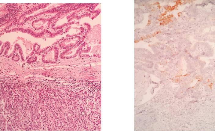
Mixed histology tumours are rarely found in the stomach. Of these, collision tumours are mainly composed of adenocarcinomas and sarcomas or lymphomas. This is the seventh case reported in the literature of an acinar cell carcinoma arising from an ectopic pancreas located in the stomach and the first described within a collision tumour.

CLINICAL CASE

We present the case of a 58-year-old female patient diagnosed with gastric cancer who, after undergoing a total gastrectomy, presented with a pathology report describing findings compatible with gastric collision tumour with components of tubular adenocarcinoma and acinar cell carcinoma of probable pancreatic ectopic aetiology.

DISCUSSION

At the beginning of the 20th century, collision tumours were rarely described. Those located in the stomach are an infrequent pathology and are rarely diagnosed preoperatively. A collision tumour is composed of two independent neoplastic tissue with tumour areas separated in two different histological patterns and, in case of metastasis, this separation must also be clearly identified. There are different theories about its carcinogenesis and the debate regarding the ideal treatment is still ongoing.

CONCLUSION

This is the first report of a malignant gastric tumour with probable heterotopic pancreatic origin that collides with gastric adenocarcinoma.

摘要

引言

混合组织学类型的肿瘤在胃中很少见。其中,碰撞瘤主要由腺癌与肉瘤或淋巴瘤组成。这是文献报道的第七例起源于胃内异位胰腺的腺泡细胞癌,也是首次在碰撞瘤中描述的此类病例。

临床病例

我们报告一例58岁女性胃癌患者,在接受全胃切除术后,病理报告显示其结果符合胃碰撞瘤,伴有管状腺癌和可能由胰腺异位病因引起的腺泡细胞癌成分。

讨论

在20世纪初,碰撞瘤很少被描述。位于胃内的碰撞瘤是一种罕见的病理类型,术前很少被诊断出来。碰撞瘤由两种独立的肿瘤组织组成,肿瘤区域以两种不同的组织学模式分隔,在发生转移的情况下,这种分隔也必须清晰可辨。关于其致癌机制有不同的理论,关于理想治疗方法的争论仍在继续。

结论

这是首例可能起源于异位胰腺并与胃腺癌碰撞的恶性胃肿瘤报告。

https://cdn.ncbi.nlm.nih.gov/pmc/blobs/04da/9377815/62dc1857f0dd/can-16-1410fig5.jpg
https://cdn.ncbi.nlm.nih.gov/pmc/blobs/04da/9377815/bf0c6e516231/can-16-1410fig1.jpg
https://cdn.ncbi.nlm.nih.gov/pmc/blobs/04da/9377815/3f8cea923ee7/can-16-1410fig2.jpg
https://cdn.ncbi.nlm.nih.gov/pmc/blobs/04da/9377815/970fe8660fbd/can-16-1410fig3.jpg
https://cdn.ncbi.nlm.nih.gov/pmc/blobs/04da/9377815/703de79b6cc5/can-16-1410fig4.jpg
https://cdn.ncbi.nlm.nih.gov/pmc/blobs/04da/9377815/62dc1857f0dd/can-16-1410fig5.jpg
https://cdn.ncbi.nlm.nih.gov/pmc/blobs/04da/9377815/bf0c6e516231/can-16-1410fig1.jpg
https://cdn.ncbi.nlm.nih.gov/pmc/blobs/04da/9377815/3f8cea923ee7/can-16-1410fig2.jpg
https://cdn.ncbi.nlm.nih.gov/pmc/blobs/04da/9377815/970fe8660fbd/can-16-1410fig3.jpg
https://cdn.ncbi.nlm.nih.gov/pmc/blobs/04da/9377815/703de79b6cc5/can-16-1410fig4.jpg
https://cdn.ncbi.nlm.nih.gov/pmc/blobs/04da/9377815/62dc1857f0dd/can-16-1410fig5.jpg

相似文献

1
Gastric collision tumour with probable ectopic pancreatic origin.胃碰撞瘤,可能起源于异位胰腺。
Ecancermedicalscience. 2022 Jun 13;16:1410. doi: 10.3332/ecancer.2022.1410. eCollection 2022.
2
Adenocarcinoma arising in gastric heterotopic pancreas. Case report and review of the literature.胃异位胰腺发生的腺癌。病例报告及文献复习。
Acta Chir Belg. 2014 Jan-Feb;114(1):79-81.
3
Large cell neuroendocrine - Adenocarcinona mixed tumour of colon: Collision tumour with peculiar behaviour. What do we know about these tumours?结肠大细胞神经内分泌-腺癌混合瘤:具有特殊行为的碰撞瘤。我们对这些肿瘤了解多少?
Ann Med Surg (Lond). 2015 Oct 8;4(4):399-403. doi: 10.1016/j.amsu.2015.10.004. eCollection 2015 Dec.
4
Collision epithelial and stromal tumours of the stomach: a case report.胃的碰撞性上皮和间质肿瘤:一例报告
Pathologica. 2008 Feb;100(1):18-20.
5
Metastatic mixed acinar-endocrine carcinoma of the pancreas treated with a multidisciplinary approach: a case report.多学科方法治疗胰腺转移性混合性腺泡-内分泌癌:一例报告
Surg Case Rep. 2017 Dec;3(1):51. doi: 10.1186/s40792-017-0326-y. Epub 2017 Mar 30.
6
Collision tumour of the stomach--adenocarcinoma and neuroendocrine carcinoma: case report and review of the literature.胃碰撞瘤——腺癌与神经内分泌癌:病例报告及文献复习
Pol J Pathol. 2009;60(2):94-7.
7
A rare case of adenocarcinoma of an ectopic pancreas: A case report.一例罕见的异位胰腺腺癌:病例报告
Int J Surg Case Rep. 2022 May;94:107061. doi: 10.1016/j.ijscr.2022.107061. Epub 2022 Apr 8.
8
Title: pancreatic-type mixed acinar neuroendocrine carcinoma of the stomach: a case report and review of the literature.标题:胃胰腺型混合性腺神经内分泌癌:一例病例报告及文献复习。
Diagn Pathol. 2021 Feb 2;16(1):11. doi: 10.1186/s13000-021-01070-x.
9
Synchronous concomitant pancreatic acinar cell carcin and gastric adenocarcinoma: A case report and review of literature.同步性胰腺腺泡细胞癌与胃腺癌:一例报告并文献复习
World J Clin Cases. 2021 Oct 6;9(28):8509-8517. doi: 10.12998/wjcc.v9.i28.8509.
10
Primary Pure Pancreatic -Type Acinar Cell Carcinoma of the Stomach: A Rare Entity with a Difficult Diagnosis and Review of the Literature.胃原发性单纯胰腺型腺泡细胞癌:一种罕见的具有诊断困难的实体瘤,并对文献进行回顾。
Int J Surg Pathol. 2022 Aug;30(5):528-538. doi: 10.1177/10668969211065763. Epub 2022 Jan 24.

本文引用的文献

1
[Costs of intravenous vs. subcutaneous administration of trastuzumab in peruvian patients with HER2-positive breast cancer - An observational analysis of direct and indirect costs].[秘鲁HER2阳性乳腺癌患者静脉注射与皮下注射曲妥珠单抗的成本 - 直接和间接成本的观察性分析]
J Healthc Qual Res. 2022 May-Jun;37(3):147-154. doi: 10.1016/j.jhqr.2021.10.008. Epub 2021 Dec 6.
2
Neoadjuvant chemotherapy with FOLFIRINOX and preoperative chemoradiotherapy for patients with locally advanced rectal cancer (UNICANCER-PRODIGE 23): a multicentre, randomised, open-label, phase 3 trial.局部晚期直肠癌患者的 FOLFIRINOX 新辅助化疗和术前放化疗(UNICANCER-PRODIGE 23):一项多中心、随机、开放标签、III 期临床试验。
Lancet Oncol. 2021 May;22(5):702-715. doi: 10.1016/S1470-2045(21)00079-6. Epub 2021 Apr 13.
3
Catastrophic expenditure rates and barriers for treatment adherence in patients with colorectal cancer in India: The CROCODILE study protocol.印度结直肠癌患者灾难性医疗支出率及其对治疗依从性的影响:CROCODILE 研究方案。
Colorectal Dis. 2021 Aug;23(8):2161-2172. doi: 10.1111/codi.15674. Epub 2021 May 11.
4
Global Cancer Statistics 2020: GLOBOCAN Estimates of Incidence and Mortality Worldwide for 36 Cancers in 185 Countries.《全球癌症统计数据 2020:全球 185 个国家和地区 36 种癌症的发病率和死亡率估计》。
CA Cancer J Clin. 2021 May;71(3):209-249. doi: 10.3322/caac.21660. Epub 2021 Feb 4.
5
New standard in locally advanced rectal cancer.局部晚期直肠癌的新标准。
World J Clin Oncol. 2020 Dec 24;11(12):990-995. doi: 10.5306/wjco.v11.i12.990.
6
The Economic Impact of Rectal Cancer: A Population-Based Study in Italy.意大利基于人群的直肠癌经济影响研究。
Int J Environ Res Public Health. 2021 Jan 8;18(2):474. doi: 10.3390/ijerph18020474.
7
Short-course radiotherapy followed by chemotherapy before total mesorectal excision (TME) versus preoperative chemoradiotherapy, TME, and optional adjuvant chemotherapy in locally advanced rectal cancer (RAPIDO): a randomised, open-label, phase 3 trial.短程放疗联合化疗后行全直肠系膜切除术(TME)与术前放化疗、TME 及辅助化疗在局部进展期直肠癌(RAPIDO)中的应用:一项随机、开放标签、3 期临床试验。
Lancet Oncol. 2021 Jan;22(1):29-42. doi: 10.1016/S1470-2045(20)30555-6. Epub 2020 Dec 7.
8
Plan quality comparison for cervical carcinoma treated with Halcyon and Trilogy intensity-modulated radiotherapy.采用Halcyon和Trilogy调强放疗治疗宫颈癌的计划质量比较。
J Cancer. 2019 Oct 15;10(24):6135-6141. doi: 10.7150/jca.32500. eCollection 2019.
9
Neoadjuvant Modified FOLFOX6 With or Without Radiation Versus Fluorouracil Plus Radiation for Locally Advanced Rectal Cancer: Final Results of the Chinese FOWARC Trial.新辅助改良 FOLFOX6 联合或不联合放疗对比氟尿嘧啶联合放疗治疗局部进展期直肠癌:中国 FOWARC 试验的最终结果。
J Clin Oncol. 2019 Dec 1;37(34):3223-3233. doi: 10.1200/JCO.18.02309. Epub 2019 Sep 26.
10
Phase II study of capecitabine plus oxaliplatin (CapOX) as adjuvant chemotherapy for locally advanced rectal cancer (CORONA II).卡培他滨联合奥沙利铂(CapOX)作为局部晚期直肠癌辅助化疗的 II 期研究(CORONA II)。
Int J Clin Oncol. 2020 Jan;25(1):118-125. doi: 10.1007/s10147-019-01546-3. Epub 2019 Sep 21.