Suppr超能文献

一只犬在发生肾上腺皮质功能减退症之前出现疑似非外伤性肾上腺出血。

Presumptive nontraumatic adrenal hemorrhage preceding hypoadrenocorticism in a dog.

机构信息

Time Animal Medical Center, Daejeon, South Korea.

College of Veterinary Medicine and the Research Institute for Veterinary Science, Seoul National University, Seoul, South Korea.

出版信息

J Vet Intern Med. 2022 Nov;36(6):2160-2164. doi: 10.1111/jvim.16531. Epub 2022 Sep 10.

Abstract

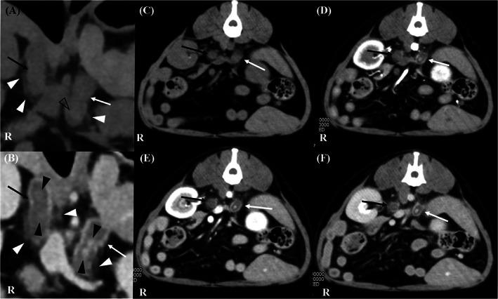
Nontraumatic adrenal hemorrhage (NTAH) has been associated with stress-induced catecholamines release in underlying conditions such as sepsis and recent surgery in humans. It can lead to primary hypoadrenocorticism (HOAC) when both adrenal glands are involved, with nonspecific clinical signs and laboratory findings that can lead to a missed diagnosis. Bilateral thickening of the adrenal glands with periadrenal fat stranding was identified in a 10-year-old male Maltese dog after abdominal surgery. The dog showed clinical signs and biochemical changes consistent with HOAC, but treatment for presumed critical illness-related corticosteroid insufficiency was initiated. Clinical signs relapsed with a 3-week dose reduction of hydrocortisone, and a reduction in adrenal size was observed on follow-up ultrasound examination. Hormonal testing confirmed HOAC in the dog. To the best of our knowledge, HOAC caused by spontaneous NTAH has not been reported in the veterinary literature. This report describes a dog that developed HOAC with presumed adrenal atrophy after suspected spontaneous bilateral NTAH.

摘要

非创伤性肾上腺出血(NTAH)与人类潜在疾病中的应激诱导儿茶酚胺释放有关,如败血症和近期手术。当双侧肾上腺均受累时,可导致原发性肾上腺皮质功能减退症(HOAC),其无特异性的临床症状和实验室发现可能导致漏诊。一只 10 岁雄性马耳他犬在腹部手术后,发现双侧肾上腺增厚伴肾上腺周围脂肪条索状。该犬表现出与 HOAC 一致的临床症状和生化变化,但开始治疗疑似与危重病相关的皮质激素不足。在氢化可的松剂量减少 3 周后,临床症状复发,随后在超声检查中观察到肾上腺缩小。激素检测证实该犬存在 HOAC。据我们所知,兽医文献中尚未报道过自发性 NTAH 引起的 HOAC。本报告描述了一例疑似自发性双侧 NTAH 后发生 HOAC 并伴有肾上腺萎缩的犬。

https://cdn.ncbi.nlm.nih.gov/pmc/blobs/b8c5/9708452/1440cf377582/JVIM-36-2160-g002.jpg

文献检索

告别复杂PubMed语法,用中文像聊天一样搜索,搜遍4000万医学文献。AI智能推荐,让科研检索更轻松。

立即免费搜索

文件翻译

保留排版,准确专业,支持PDF/Word/PPT等文件格式,支持 12+语言互译。

免费翻译文档

深度研究

AI帮你快速写综述,25分钟生成高质量综述,智能提取关键信息,辅助科研写作。

立即免费体验