Suppr超能文献

正畸龈下牙齿结构修复的替代治疗方法:正畸龈下牙齿结构修复的替代治疗方法。 注:“Forced Eruption”直译为“正畸龈下牙齿结构修复”,是一种牙科治疗手段,通过施加力量使牙龈退缩,从而暴露更多的牙体组织,以达到修复牙齿的目的。你可根据实际需求进行调整。如果你还有其他疑问,欢迎继续向我提问。

Forced Eruption: Alternative Treatment Approach to Restore Teeth with Subgingival Structure.

作者信息

Kermanshah Hamid, Najafrad Elmira, Valizadeh Sara

机构信息

Dental Research Center, Dentistry Research Institute, Tehran University of Medical Sciences, Tehran, Iran.

Restorative Dentistry Department, School of Dentistry, Tehran University of Medical Sciences, Tehran, Iran.

出版信息

Case Rep Dent. 2022 Sep 1;2022:9521915. doi: 10.1155/2022/9521915. eCollection 2022.

Abstract

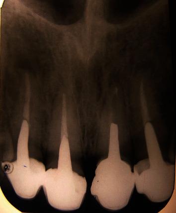
The management of teeth with deep caries, fracture, or perforation in the cervical third of the root is an integral part of dental practice. Orthodontic extrusion preserves the natural root system and may convert the tooth indicated for extraction into useful tooth with good prognosis and a low risk of failure. Orthodontic tooth eruption can be an alternative to treatment such as surgical crown lengthening, especially in esthetic areas, and provides more favorable conditions for prosthodontic coronal restorations by guaranteeing proper sealing and esthetics and preserving periodontal tissue health. The aim of this case report was to explain a multidisciplinary approach that successfully preserve and treat the teeth with subgingival carious lesion. This innovative method is cost-effective and can be easily done with the equipment available in any office.

摘要

对患有深龋、牙根折断或牙根颈部三分之一处穿孔的牙齿进行处理是牙科实践的一个重要组成部分。正畸牵引保留了天然的牙根系统,并且可以将原本需要拔除的牙齿转变为预后良好且失败风险低的可用牙齿。正畸牙齿萌出可以替代诸如外科冠延长术等治疗方法,特别是在美学区域,并且通过确保适当的封闭和美观以及保持牙周组织健康,为修复冠修复提供了更有利的条件。本病例报告的目的是阐述一种成功保留和治疗伴有龈下龋损牙齿的多学科方法。这种创新方法具有成本效益,并且使用任何诊所都具备的设备即可轻松完成。

https://cdn.ncbi.nlm.nih.gov/pmc/blobs/7a7f/9458407/e77fbace269c/CRID2022-9521915.001.jpg

文献检索

告别复杂PubMed语法,用中文像聊天一样搜索,搜遍4000万医学文献。AI智能推荐,让科研检索更轻松。

立即免费搜索

文件翻译

保留排版,准确专业,支持PDF/Word/PPT等文件格式,支持 12+语言互译。

免费翻译文档

深度研究

AI帮你快速写综述,25分钟生成高质量综述,智能提取关键信息,辅助科研写作。

立即免费体验