• 文献检索
  • 文档翻译
  • 深度研究
  • 学术资讯
  • Suppr Zotero 插件Zotero 插件
  • 邀请有礼
  • 套餐&价格
  • 历史记录
应用&插件
Suppr Zotero 插件Zotero 插件浏览器插件Mac 客户端Windows 客户端微信小程序
定价
高级版会员购买积分包购买API积分包
服务
文献检索文档翻译深度研究API 文档MCP 服务
关于我们
关于 Suppr公司介绍联系我们用户协议隐私条款
关注我们

Suppr 超能文献

核心技术专利:CN118964589B侵权必究
粤ICP备2023148730 号-1Suppr @ 2026

文献检索

告别复杂PubMed语法,用中文像聊天一样搜索,搜遍4000万医学文献。AI智能推荐,让科研检索更轻松。

立即免费搜索

文件翻译

保留排版,准确专业,支持PDF/Word/PPT等文件格式,支持 12+语言互译。

免费翻译文档

深度研究

AI帮你快速写综述,25分钟生成高质量综述,智能提取关键信息,辅助科研写作。

立即免费体验

正畸固定保持器与下前牙的不必要移动:一例报告

Orthodontic Fixed Retainer and Unwanted Movements of Lower Anterior Teeth: A Case Report.

作者信息

Sfondrini Maria Francesca, Pascadopoli Maurizio, Beccari Sergio, Beccari Giovanna, Rizzi Cinzia, Gandini Paola, Scribante Andrea

机构信息

Unit of Orthodontics and Pediatric Dentistry, Section of Dentistry, Department of Clinical, Surgical, Diagnostic and Pediatric Sciences, University of Pavia, Pavia 27100, Italy.

出版信息

Case Rep Dent. 2022 Sep 2;2022:3100360. doi: 10.1155/2022/3100360. eCollection 2022.

DOI:10.1155/2022/3100360
PMID:36090691
原文链接:https://pmc.ncbi.nlm.nih.gov/articles/PMC9463015/
Abstract

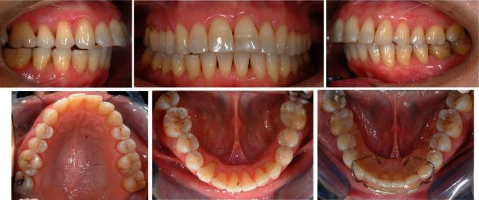
The use of fixed retainers at the end of an orthodontic treatment has become a standard practice. Nonetheless, orthodontic relapse can still occur, requiring retreatment in the most severe cases. This case report describes a patient with a mandibular canine to canine fixed retainer presenting uncontrolled torque on all lower anterior teeth, probably due to tongue thrust and/or activation of the wire. Multibracket orthodontic treatment was performed, and an orthodontic lingual sectional was used to control (reposition) the root movement of the lower right cuspid. This case highlights the need for clinicians and patients to be aware of the potential problems associated with bonded retainers. In addition, patients with an orthodontic fixed retainer need regular short-term observation by an orthodontist in order to detect any adverse movements and long-term control by a general dentist.

摘要

在正畸治疗结束时使用固定保持器已成为一种标准做法。尽管如此,正畸复发仍可能发生,在最严重的情况下需要再次治疗。本病例报告描述了一名患者,其下颌尖牙间固定保持器导致所有下前牙出现不受控制的转矩,这可能是由于舌推和/或弓丝激活所致。进行了多托槽正畸治疗,并使用正畸舌侧分段弓来控制(重新定位)右下尖牙的牙根移动。本病例强调临床医生和患者需要意识到与粘结保持器相关的潜在问题。此外,佩戴正畸固定保持器的患者需要正畸医生定期进行短期观察,以便发现任何不良移动,并由普通牙医进行长期管控。

https://cdn.ncbi.nlm.nih.gov/pmc/blobs/4328/9463015/af2eb6a962e5/CRID2022-3100360.009.jpg
https://cdn.ncbi.nlm.nih.gov/pmc/blobs/4328/9463015/16e462683e9d/CRID2022-3100360.001.jpg
https://cdn.ncbi.nlm.nih.gov/pmc/blobs/4328/9463015/beb57abf3558/CRID2022-3100360.002.jpg
https://cdn.ncbi.nlm.nih.gov/pmc/blobs/4328/9463015/559ffeff5b7b/CRID2022-3100360.003.jpg
https://cdn.ncbi.nlm.nih.gov/pmc/blobs/4328/9463015/24f8ded8ba1e/CRID2022-3100360.004.jpg
https://cdn.ncbi.nlm.nih.gov/pmc/blobs/4328/9463015/8c48b27978ee/CRID2022-3100360.005.jpg
https://cdn.ncbi.nlm.nih.gov/pmc/blobs/4328/9463015/9b1091c12d31/CRID2022-3100360.006.jpg
https://cdn.ncbi.nlm.nih.gov/pmc/blobs/4328/9463015/910f86af5bef/CRID2022-3100360.007.jpg
https://cdn.ncbi.nlm.nih.gov/pmc/blobs/4328/9463015/31684f98f2f9/CRID2022-3100360.008.jpg
https://cdn.ncbi.nlm.nih.gov/pmc/blobs/4328/9463015/af2eb6a962e5/CRID2022-3100360.009.jpg
https://cdn.ncbi.nlm.nih.gov/pmc/blobs/4328/9463015/16e462683e9d/CRID2022-3100360.001.jpg
https://cdn.ncbi.nlm.nih.gov/pmc/blobs/4328/9463015/beb57abf3558/CRID2022-3100360.002.jpg
https://cdn.ncbi.nlm.nih.gov/pmc/blobs/4328/9463015/559ffeff5b7b/CRID2022-3100360.003.jpg
https://cdn.ncbi.nlm.nih.gov/pmc/blobs/4328/9463015/24f8ded8ba1e/CRID2022-3100360.004.jpg
https://cdn.ncbi.nlm.nih.gov/pmc/blobs/4328/9463015/8c48b27978ee/CRID2022-3100360.005.jpg
https://cdn.ncbi.nlm.nih.gov/pmc/blobs/4328/9463015/9b1091c12d31/CRID2022-3100360.006.jpg
https://cdn.ncbi.nlm.nih.gov/pmc/blobs/4328/9463015/910f86af5bef/CRID2022-3100360.007.jpg
https://cdn.ncbi.nlm.nih.gov/pmc/blobs/4328/9463015/31684f98f2f9/CRID2022-3100360.008.jpg
https://cdn.ncbi.nlm.nih.gov/pmc/blobs/4328/9463015/af2eb6a962e5/CRID2022-3100360.009.jpg

相似文献

1
Orthodontic Fixed Retainer and Unwanted Movements of Lower Anterior Teeth: A Case Report.正畸固定保持器与下前牙的不必要移动:一例报告
Case Rep Dent. 2022 Sep 2;2022:3100360. doi: 10.1155/2022/3100360. eCollection 2022.
2
[Canine avulsion: An extreme complication of a fixed mandibular lingual retainer].[犬牙撕脱:固定下颌舌侧保持器的一种极端并发症]
Orthod Fr. 2022 Dec 1;93(4):315-320. doi: 10.1684/orthodfr.2022.101.
3
3D-analysis of unwanted tooth movements despite bonded orthodontic retainers: a pilot study.尽管使用了粘接式正畸保持器,仍发生了不必要的牙齿移动的三维分析:一项初步研究。
BMC Oral Health. 2020 Nov 4;20(1):308. doi: 10.1186/s12903-020-01304-2.
4
Canine avulsion: An extreme complication of a fixed mandibular lingual retainer.犬齿撕脱:固定下颌舌侧保持器的一种极端并发症。
Am J Orthod Dentofacial Orthop. 2021 Sep;160(3):473-477. doi: 10.1016/j.ajodo.2021.04.013. Epub 2021 Jun 24.
5
Unexpected complications of bonded mandibular lingual retainers.粘结式下颌舌侧保持器的意外并发症
Am J Orthod Dentofacial Orthop. 2007 Dec;132(6):838-41. doi: 10.1016/j.ajodo.2007.07.011.
6
Inadvertent tooth movement with fixed lingual retainers.固定舌侧保持器导致的意外牙齿移动。
Am J Orthod Dentofacial Orthop. 2016 Feb;149(2):277-86. doi: 10.1016/j.ajodo.2015.10.015.
7
Long-term effectiveness of canine-to-canine bonded flexible spiral wire lingual retainers.犬牙 bonded 弹性螺旋丝舌侧保持器的长期效果。
Am J Orthod Dentofacial Orthop. 2011 May;139(5):614-21. doi: 10.1016/j.ajodo.2009.06.041.
8
[Orthodontic fixed retainer: fix or not fix? that is the question].[正畸固定保持器:固定还是不固定?这是个问题]
Refuat Hapeh Vehashinayim (1993). 2012 Jul;29(3):29-36, 56.
9
The bonded mandibular lingual retainer.粘结式下颌舌侧保持器。
Br J Orthod. 1986 Jul;13(3):159-63. doi: 10.1179/bjo.13.3.159.
10
Severe complication of a bonded mandibular lingual retainer.带环下颌舌侧保持器的严重并发症。
Am J Orthod Dentofacial Orthop. 2012 Sep;142(3):406-9. doi: 10.1016/j.ajodo.2012.01.019.

引用本文的文献

1
Assessment of the unwanted tooth movement associated with an extended maxillary fixed retainer (3D analysis).评估与上颌固定式保持器延长相关的非预期牙齿移动(三维分析)。
BMC Oral Health. 2024 Aug 6;24(1):899. doi: 10.1186/s12903-024-04622-x.
2
Effects of Froggy Mouth Appliance in Pediatric Patients with Atypical Swallowing: A Prospective Study.蛙嘴矫治器对非典型吞咽小儿患者的影响:一项前瞻性研究。
Dent J (Basel). 2024 Apr 4;12(4):96. doi: 10.3390/dj12040096.

本文引用的文献

1
Canine avulsion: An extreme complication of a fixed mandibular lingual retainer.犬齿撕脱:固定下颌舌侧保持器的一种极端并发症。
Am J Orthod Dentofacial Orthop. 2021 Sep;160(3):473-477. doi: 10.1016/j.ajodo.2021.04.013. Epub 2021 Jun 24.
2
Bonded orthodontic retention: a practical guide. bonded orthodontic retention:一种实用指南。
Br Dent J. 2021 Jun;230(11):709-716. doi: 10.1038/s41415-021-2936-9. Epub 2021 Jun 11.
3
Fixed retention: pitfalls and complications.固定修复体的保留:陷阱和并发症。
Br Dent J. 2021 Jun;230(11):703-708. doi: 10.1038/s41415-021-2892-4. Epub 2021 Jun 11.
4
Universal Adhesive for Fixed Retainer Bonding: In Vitro Evaluation and Randomized Clinical Trial.用于固定保持器粘结的通用粘合剂:体外评估与随机临床试验
Materials (Basel). 2021 Mar 10;14(6):1341. doi: 10.3390/ma14061341.
5
Digital Lab Appliances: The Time Has Come.数字实验室设备:时机已至。
J Clin Orthod. 2020 Sep;54(9):562-569.
6
3D-analysis of unwanted tooth movements despite bonded orthodontic retainers: a pilot study.尽管使用了粘接式正畸保持器,仍发生了不必要的牙齿移动的三维分析:一项初步研究。
BMC Oral Health. 2020 Nov 4;20(1):308. doi: 10.1186/s12903-020-01304-2.
7
Treatment of a twice-relapsed anterior open bite using temporary anchorage devices, myofunctional therapy, and fixed passive self-ligating appliances.采用临时锚固装置、肌功能疗法和固定被动自锁矫治器治疗两次复发的前牙开颌。
Am J Orthod Dentofacial Orthop. 2020 Jun;157(6):832-842. doi: 10.1016/j.ajodo.2019.03.031.
8
Fear of the Relapse: Effect of Composite Type on Adhesion Efficacy of Upper and Lower Orthodontic Fixed Retainers: In Vitro Investigation and Randomized Clinical Trial.对复发的恐惧:复合材料类型对上、下正畸固定保持器黏附效果的影响:体外研究与随机临床试验
Polymers (Basel). 2020 Apr 21;12(4):963. doi: 10.3390/polym12040963.
9
The effects of fixed orthodontic retainers on periodontal health: A systematic review.固定正畸保持器对牙周健康的影响:系统评价。
Am J Orthod Dentofacial Orthop. 2020 Feb;157(2):156-164.e17. doi: 10.1016/j.ajodo.2019.10.010.
10
Survival of maxillary and mandibular bonded retainers 10 to 15 years after orthodontic treatment: a retrospective observational study.正畸治疗后 10 至 15 年上颌和下颌带环保持器的存留情况:一项回顾性观察研究。
Prog Orthod. 2019 Jul 22;20(1):28. doi: 10.1186/s40510-019-0279-8.