Hiraoka Emiko, Masumoto Norio, Furukawa Takaoki, Kuraoka Norimasa, Nagamine Ichiro, Kido Aya, Sentani Kazuhiro, Ootagaki Sunao
Department of Surgery, Hiroshima Kyoritsu Hospital, 2-20-20 Nakasu Asaminami-Ku, Hiroshima, Hiroshima, 731-0121, Japan.
Department of Breast Surgery, Hiroshima University Hospital, 1-2-3 Kasumi, Minami-Ku, Hiroshima, Hiroshima, 734-8551, Japan.
Surg Case Rep. 2022 Sep 13;8(1):167. doi: 10.1186/s40792-022-01524-4.
Concurrent breast cancer and malignant lymphoma is a rare phenomenon. This report describes malignant lymphoma that was incidentally diagnosed from a sentinel lymph node biopsy (SLNB) during breast cancer surgery.
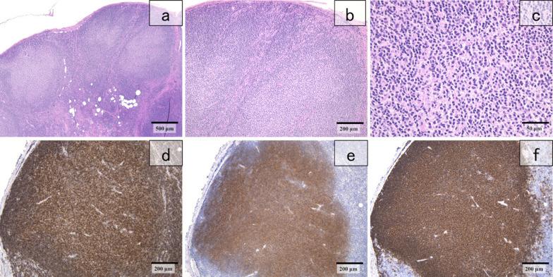
A 73-year-old woman with a history of ovarian cancer and diabetes presented with right focal asymmetric density on a mammogram acquired during routine breast cancer screening. Ultrasonography (US) and magnetic resonance imaging (MRI) showed a 13.5-mm tumor in the upper lateral region of the right breast. A US-guided Mammotome biopsy revealed invasive ductal carcinoma of the right breast. Preoperative assessments including positron emission tomography-computerized tomography, found no evidence of axillary lymphadenopathy or distant metastasis. Because the breast cancer was stage I, the patient underwent a right mastectomy and a sentinel lymph node biopsy (SLNB) at our hospital. Pathological assessment of the biopsy revealed follicular lymphoma (FL), but no metastatic breast cancer. The patient was referred to hematology to stage the FL. Bone marrow findings were negative and stage I FL was diagnosed. After the mastectomy, she was monitored and given adjuvant therapy with an aromatase inhibitor.
Follicular lymphoma was incidentally diagnosed from an SLNB obtained to determine the dissemination of early-stage breast cancer. Collaboration with hematologists is important to determine optimal treatment plans for such patients regardless of the rarity of such events.
同时发生乳腺癌和恶性淋巴瘤是一种罕见现象。本报告描述了在乳腺癌手术期间通过前哨淋巴结活检(SLNB)偶然诊断出的恶性淋巴瘤。
一名73岁女性,有卵巢癌和糖尿病病史,在常规乳腺癌筛查的乳房X光检查中发现右侧局灶性不对称密度影。超声(US)和磁共振成像(MRI)显示右乳房上外侧区域有一个13.5毫米的肿瘤。超声引导下麦默通活检显示为右乳腺浸润性导管癌。包括正电子发射断层扫描 - 计算机断层扫描在内的术前评估未发现腋窝淋巴结肿大或远处转移的证据。由于乳腺癌处于I期,该患者在我院接受了右乳房切除术和前哨淋巴结活检(SLNB)。活检的病理评估显示为滤泡性淋巴瘤(FL),但无转移性乳腺癌。患者被转诊至血液科对FL进行分期。骨髓检查结果为阴性,诊断为I期FL。乳房切除术后,对她进行了监测,并给予芳香化酶抑制剂辅助治疗。
滤泡性淋巴瘤是在为确定早期乳腺癌扩散而进行的前哨淋巴结活检中偶然诊断出来的。无论此类事件多么罕见,与血液科医生合作对于确定此类患者的最佳治疗方案都很重要。