Suppr超能文献

放射科医生对胸部CT报告中偶然发现的冠状动脉和心脏钙化的看法。

Radiologist opinions regarding reporting incidental coronary and cardiac calcification on thoracic CT.

作者信息

Williams Michelle C, Weir-McCall Jonathan, Moss Alastair J, Schmitt Matthias, Stirrup James, Holloway Ben, Gopalan Deepa, Deshpande Aparna, Hughes Gareth Morgan, Agrawal Bobby, Nicol Edward, Roditi Giles, Shambrook James, Bull Russell

机构信息

BHF Centre for Cardiovascular Science and Edinburgh Imaging, University of Edinburgh, Edinburgh, UK.

University of Cambridge School of Clinical Medicine, Cambridge, UK.

出版信息

BJR Open. 2022 Mar 11;4(1):20210057. doi: 10.1259/bjro.20210057. eCollection 2022.

Abstract

OBJECTIVES

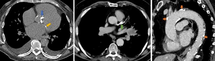
Coronary and cardiac calcification are frequent incidental findings on non-gated thoracic computed tomography (CT). However, radiologist opinions and practices regarding the reporting of incidental calcification are poorly understood.

METHODS

UK radiologists were invited to complete this online survey, organised by the British Society of Cardiovascular Imaging (BSCI). Questions included anonymous information on subspecialty, level of training and reporting practices for incidental coronary artery, aortic valve, mitral and thoracic aorta calcification.

RESULTS

The survey was completed by 200 respondents: 10% trainees and 90% consultants. Calcification was not reported by 11% for the coronary arteries, 22% for the aortic valve, 35% for the mitral valve and 37% for the thoracic aorta. Those who did not subspecialise in cardiac imaging were less likely to report coronary artery calcification ( = 0.005), aortic valve calcification ( = 0.001) or mitral valve calcification ( = 0.008), but there was no difference in the reporting of thoracic aorta calcification. Those who did not subspecialise in cardiac imaging were also less likely to provide management recommendations for coronary artery calcification ( < 0.001) or recommend echocardiography for aortic valve calcification ( < 0.001), but there was no difference for mitral valve or thoracic aorta recommendations.

CONCLUSION

Incidental coronary artery, valvular and aorta calcification are frequently not reported on thoracic CT and there are differences in reporting practices based on subspeciality.

ADVANCES IN KNOWLEDGE

On routine thoracic CT, 11% of radiologists do not report coronary artery calcification. Radiologist reporting practices vary depending on subspeciality but not level of training.

摘要

目的

冠状动脉和心脏钙化是在非门控胸部计算机断层扫描(CT)中常见的偶然发现。然而,放射科医生对于偶然发现的钙化报告的观点和做法却鲜为人知。

方法

邀请英国放射科医生完成由英国心血管影像学会(BSCI)组织的这项在线调查。问题包括关于亚专业、培训水平以及偶然发现的冠状动脉、主动脉瓣、二尖瓣和胸主动脉钙化的报告做法的匿名信息。

结果

200名受访者完成了调查:10%为实习医生,90%为顾问医生。11%的人未报告冠状动脉钙化,22%未报告主动脉瓣钙化,35%未报告二尖瓣钙化,37%未报告胸主动脉钙化。那些没有专门从事心脏成像亚专业的人报告冠状动脉钙化(P = 0.005)、主动脉瓣钙化(P = 0.001)或二尖瓣钙化(P = 0.008)的可能性较小,但在胸主动脉钙化报告方面没有差异。那些没有专门从事心脏成像亚专业的人也不太可能为冠状动脉钙化提供管理建议(P < 0.001)或为主动脉瓣钙化推荐超声心动图检查(P < 0.001),但在二尖瓣或胸主动脉的建议方面没有差异。

结论

胸部CT上偶然发现的冠状动脉、瓣膜和主动脉钙化常常未被报告,并且报告做法因亚专业不同而存在差异。

知识进展

在常规胸部CT检查中,11%的放射科医生未报告冠状动脉钙化。放射科医生的报告做法因亚专业而异,但与培训水平无关。

https://cdn.ncbi.nlm.nih.gov/pmc/blobs/f79a/9459857/1bc2eb23d609/bjro.20210057.g001.jpg

文献AI研究员

20分钟写一篇综述,助力文献阅读效率提升50倍。

立即体验

用中文搜PubMed

大模型驱动的PubMed中文搜索引擎

马上搜索

文档翻译

学术文献翻译模型,支持多种主流文档格式。

立即体验